Skip to main content

Caveolin-3 Antibody - Azide and BSA Free

Novus Biologicals, part of Bio-Techne | Catalog # NBP2-98712

Catalog #
Availability
Size / Price
Qty
Loading...
NBP2-98712-100ul
NBP2-98712-50ul
Conjugate
Catalog #

Key Product Details

Species Reactivity

Human, Mouse, Rat

Applications

Immunohistochemistry, Immunohistochemistry-Paraffin

Label

Unconjugated

Antibody Source

Polyclonal Rabbit IgG

Format

Azide and BSA Free

Concentration

Please see the vial label for concentration. If unlisted please contact technical services.

Product Specifications

Immunogen

Produced in rabbits immunized with A synthetic peptide corresponding to the N-terminus of the Human Caveolin-3.

Clonality

Polyclonal

Host

Rabbit

Isotype

IgG

Description

This antibody can be stored at 2C to 8C for one month without detectable loss of activity. Antibody products are stable for twelve months from date of receipt when stored at -20C to -80C. Avoid repeated freeze-thaw cycles.

Scientific Data Images for Caveolin-3 Antibody - Azide and BSA Free

Immunohistochemistry-Paraffin: Caveolin-3 Antibody [NBP2-98712]

Immunohistochemistry-Paraffin: Caveolin-3 Antibody [NBP2-98712]

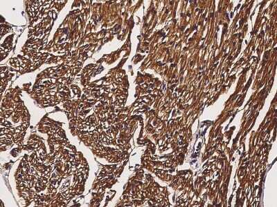
Immunohistochemistry-Paraffin: Caveolin-3 Antibody [NBP2-98712] - Immunochemical staining Caveolin-3 in rat heart with rabbit polyclonal antibody at 1:2000 dilution, formalin-fixed paraffin embedded sections.
Immunohistochemistry-Paraffin: Caveolin-3 Antibody [NBP2-98712]

Immunohistochemistry-Paraffin: Caveolin-3 Antibody [NBP2-98712]

Immunohistochemistry-Paraffin: Caveolin-3 Antibody [NBP2-98712] - Immunochemical staining Caveolin-3 in human heart with rabbit polyclonal antibody (1:2000, formalin-fixed paraffin embedded sections)
Immunohistochemistry-Paraffin: Caveolin-3 Antibody [NBP2-98712]

Immunohistochemistry-Paraffin: Caveolin-3 Antibody [NBP2-98712]

Immunohistochemistry-Paraffin: Caveolin-3 Antibody [NBP2-98712] - Immunochemical staining Caveolin-3 in human skeletal muscle with rabbit polyclonal antibody (1:2000, formalin-fixed paraffin embedded sections).

Applications for Caveolin-3 Antibody - Azide and BSA Free

Application
Recommended Usage

Immunohistochemistry-Paraffin

1:1000-1:5000

Formulation, Preparation, and Storage

Purification

Antigen and protein A Affinity-purified

Formulation

0.2 um filtered solution in PBS

Format

Azide and BSA Free

Preservative

No Preservative

Concentration

Please see the vial label for concentration. If unlisted please contact technical services.

Shipping

The product is shipped with polar packs. Upon receipt, store it immediately at the temperature recommended below.

Stability & Storage

Store at 4C short term. Aliquot and store at -20C long term. Avoid freeze-thaw cycles.

Background: Caveolin-3

Caveolin 3 encodes a caveolin family member, which functions as a component of the caveolae plasma membranes found in most cell types. Caveolin proteins are proposed to be scaffolding proteins for organizing and concentrating certain caveolin-interacting molecules. Mutations identified in this gene lead to interference with protein oligomerization or intra-cellular routing, disrupting caveolae formation and resulting in Limb-Girdle muscular dystrophy type-1C (LGMD-1C), hyperCKemia or rippling muscle disease (RMD). Alternative splicing has been identified for this locus, with inclusion or exclusion of a differentially spliced intron. In addition, transcripts utilize multiple polyA sites and contain two potential translation initiation sites.

Alternate Names

CAV3, Caveolin3, LGMD1C, LQT9, M-caveolin

Gene Symbol

CAV3

Additional Caveolin-3 Products

Product Documents for Caveolin-3 Antibody - Azide and BSA Free

Certificate of Analysis

To download a Certificate of Analysis, please enter a lot number in the search box below.

Product Specific Notices for Caveolin-3 Antibody - Azide and BSA Free

This product is for research use only and is not approved for use in humans or in clinical diagnosis. Primary Antibodies are guaranteed for 1 year from date of receipt.

Loading...
Loading...
Loading...
Loading...