Skip to main content

Caveolin-3 Antibody (4G5W2)

Novus Biologicals, part of Bio-Techne | Catalog # NBP3-16503

Recombinant Monoclonal Antibody
Novus Biologicals, part of Bio-Techne
Catalog #
Availability
Size / Price
Qty
Loading...
NBP3-16503-20ul
NBP3-16503-100ul

Key Product Details

Species Reactivity

Human, Mouse, Rat

Applications

Immunohistochemistry, Immunohistochemistry-Paraffin, Western Blot

Label

Unconjugated

Antibody Source

Recombinant Monoclonal Rabbit IgG Clone # 4G5W2 expressed in HEK293

Concentration

Please see the vial label for concentration. If unlisted please contact technical services.

Product Specifications

Immunogen

Recombinant fusion protein containing a sequence corresponding to amino acids 1-151 of human Caveolin-3 (P56539). MMAEEHTDLEAQIVKDIHCKEIDLVNRDPKNINEDIVKVDFEDVIAEPVGTYSFDGVWKVSYTTFTVSKYWCYRLLSTLLGVPLALLWGFLFACISFCHIWAVVPCIKSYLIEIQCISHIYSLCIRTFCNPLFAALGQVCSSIKVVLRKEV

Clonality

Monoclonal

Host

Rabbit

Isotype

IgG

Description

Novus Biologicals Rabbit Caveolin-3 Antibody (4G5W2) (NBP3-16503) is a recombinant monoclonal antibody validated for use in IHC and WB. Anti-Caveolin-3 Antibody: Cited in 1 publication. All Novus Biologicals antibodies are covered by our 100% guarantee.

Scientific Data Images for Caveolin-3 Antibody (4G5W2)

Western Blot: Caveolin-3 Antibody (4G5W2) [NBP3-16503]

Western Blot: Caveolin-3 Antibody (4G5W2) [NBP3-16503]

Western Blot: Caveolin-3 Antibody (4G5W2) [NBP3-16503] - Western blot analysis of extracts of various cell lines, using Caveolin-3Rabbit mAb (NBP3-16503) at 1:1000 dilution. Secondary antibody: HRP Goat Anti-Rabbit IgG (H+L) at 1:10000 dilution. Lysates/proteins: 25ug per lane. Blocking buffer: 3% nonfat dry milk in TBST. Detection: ECL Basic Kit. Exposure time: 10s.
Immunohistochemistry-Paraffin: Caveolin-3 Antibody (4G5W2) [NBP3-16503]

Immunohistochemistry-Paraffin: Caveolin-3 Antibody (4G5W2) [NBP3-16503]

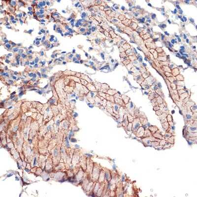
Immunohistochemistry-Paraffin: Caveolin-3 Antibody (4G5W2) [NBP3-16503] - Immunohistochemistry of paraffin-embedded mouse lung using Caveolin-3Rabbit mAb (NBP3-16503) at dilution of 1:100 (40x lens).Perform microwave antigen retrieval with 10 mM Tris/EDTA buffer pH 9.0 before commencing with IHC staining protocol.
Immunohistochemistry-Paraffin: Caveolin-3 Antibody (4G5W2) [NBP3-16503]

Immunohistochemistry-Paraffin: Caveolin-3 Antibody (4G5W2) [NBP3-16503]

Immunohistochemistry-Paraffin: Caveolin-3 Antibody (4G5W2) [NBP3-16503] - Immunohistochemistry of paraffin-embedded rat heart using Caveolin-3Rabbit mAb (NBP3-16503) at dilution of 1:100 (40x lens).Perform microwave antigen retrieval with 10 mM Tris/EDTA buffer pH 9.0 before commencing with IHC staining protocol.

Applications for Caveolin-3 Antibody (4G5W2)

Application
Recommended Usage

Immunohistochemistry

1:50 - 1:200

Western Blot

1:500 - 1:1000

Formulation, Preparation, and Storage

Purification

Affinity purified

Formulation

PBS (pH 7.3), 50% glycerol, 0.05% BSA

Preservative

0.02% Sodium Azide

Concentration

Please see the vial label for concentration. If unlisted please contact technical services.

Shipping

The product is shipped with polar packs. Upon receipt, store it immediately at the temperature recommended below.

Stability & Storage

Store at -20C. Avoid freeze-thaw cycles.

Background: Caveolin-3

Caveolin 3 encodes a caveolin family member, which functions as a component of the caveolae plasma membranes found in most cell types. Caveolin proteins are proposed to be scaffolding proteins for organizing and concentrating certain caveolin-interacting molecules. Mutations identified in this gene lead to interference with protein oligomerization or intra-cellular routing, disrupting caveolae formation and resulting in Limb-Girdle muscular dystrophy type-1C (LGMD-1C), hyperCKemia or rippling muscle disease (RMD). Alternative splicing has been identified for this locus, with inclusion or exclusion of a differentially spliced intron. In addition, transcripts utilize multiple polyA sites and contain two potential translation initiation sites.

Alternate Names

CAV3, Caveolin3, LGMD1C, LQT9, M-caveolin

Gene Symbol

CAV3

Additional Caveolin-3 Products

Product Documents for Caveolin-3 Antibody (4G5W2)

Certificate of Analysis

To download a Certificate of Analysis, please enter a lot number in the search box below.

Product Specific Notices for Caveolin-3 Antibody (4G5W2)

This product is for research use only and is not approved for use in humans or in clinical diagnosis. Primary Antibodies are guaranteed for 1 year from date of receipt.

Loading...
Loading...
Loading...
Loading...