Skip to main content

Caspase-2 Antibody (SR1824) - BSA Free

Novus Biologicals, part of Bio-Techne | Catalog # NBP3-21672

Recombinant Monoclonal Antibody
Novus Biologicals, part of Bio-Techne
Catalog #
Availability
Size / Price
Qty
Loading...
NBP3-21672-100ul
NBP3-21672-50ul

Key Product Details

Species Reactivity

Human, Mouse, Rat

Applications

Immunohistochemistry, Western Blot, Flow Cytometry, Immunocytochemistry/ Immunofluorescence

Label

Unconjugated

Antibody Source

Recombinant Monoclonal Rabbit IgG Clone # SR1824 expressed in HEK293

Format

BSA Free

Concentration

Please see the vial label for concentration. If unlisted please contact technical services.

Product Specifications

Immunogen

A synthesized peptide derived from human Caspase-2 (Uniprot #: P42575)

Specificity

Detects endogenous levels of total Caspase-2

Clonality

Monoclonal

Host

Rabbit

Isotype

IgG

Description

Novus Biologicals Rabbit Caspase-2 Antibody (SR1824) - BSA Free (NBP3-21672) is a recombinant monoclonal antibody validated for use in IHC, WB, Flow and ICC/IF. All Novus Biologicals antibodies are covered by our 100% guarantee.

Scientific Data Images for Caspase-2 Antibody (SR1824) - BSA Free

Western Blot: Caspase-2 Antibody (SR1824) [NBP3-21672] -

Western Blot: Caspase-2 Antibody (SR1824) [NBP3-21672] - Western blot analysis using NBP3-21672 in Jurkat cell lysate.

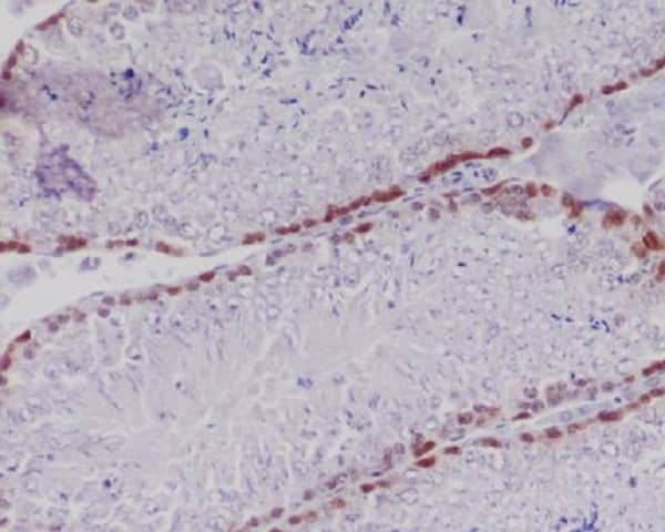
Immunohistochemistry: Caspase-2 Antibody (SR1824) [NBP3-21672] -

Immunohistochemistry: Caspase-2 Antibody (SR1824) [NBP3-21672] - Immunohistochemical analysis of paraffin-embedded mouse testis, using NBP3-21672.
Caspase-2 Antibody (SR1824) - BSA Free

Immunocytochemistry/Immunofluorescence: Caspase-2 Antibody (SR1824) [NBP3-21672] -

Immunocytochemistry/Immunofluorescence: Caspase-2 Antibody (SR1824) [NBP3-21672] - Immunofluorescent analysis of Hela cells, using NBP3-21672.

Applications for Caspase-2 Antibody (SR1824) - BSA Free

Application
Recommended Usage

Immunocytochemistry/ Immunofluorescence

1:50-1:200

Immunohistochemistry

1:50-1:200

Western Blot

1:500-2000

Formulation, Preparation, and Storage

Purification

Affinity purified

Formulation

PBS, pH 7.4, 150mM NaCl, 50% glycerol.

Format

BSA Free

Preservative

0.02% Sodium Azide

Concentration

Please see the vial label for concentration. If unlisted please contact technical services.

Shipping

The product is shipped with polar packs. Upon receipt, store it immediately at the temperature recommended below.

Stability & Storage

Store at 4C short term. Aliquot and store at -20C long term. Avoid freeze-thaw cycles.

Background: Caspase-2

Caspase-2, also known as NEDD2 and ICH-1, is a 30‑32 kDa member of the peptidase C14A/IL‑1 beta‑converting family of enzymes. It is widely expressed and is an integral component of the apoptotic cascade. Caspase-2 is a disulfide-linked homodimer, with activation occurring following oligomerization within the context of activating platforms such as DISC (death-inducing signaling complex) or the PIDDosome. Initially, Pro-Caspase-2 is cleaved into a p34 subunit and a p14 subunit which are further processed to generate the prodomain, plus the mature p18 and p12 subunits. Notably, each p18-p12 heterodimer demonstrates proteolytic activity and localizes to either the nucleus or cytoplasm.

 

Alternate Names

CASP2, Caspase2, ICH-1, NEDD2

Gene Symbol

CASP2

Additional Caspase-2 Products

Product Documents for Caspase-2 Antibody (SR1824) - BSA Free

Certificate of Analysis

To download a Certificate of Analysis, please enter a lot number in the search box below.

Product Specific Notices for Caspase-2 Antibody (SR1824) - BSA Free

This product is for research use only and is not approved for use in humans or in clinical diagnosis. Primary Antibodies are guaranteed for 1 year from date of receipt.

Loading...
Loading...
Loading...
Loading...
Loading...