Skip to main content

CARKL Antibody (OTI3D7) - Azide and BSA Free

Novus Biologicals, part of Bio-Techne | Catalog # NBP2-71771

Novus Biologicals, part of Bio-Techne

Key Product Details

Species Reactivity

Human, Mouse, Rat

Applications

Immunohistochemistry, Immunohistochemistry-Paraffin, Western Blot, Immunocytochemistry/ Immunofluorescence

Label

Unconjugated

Antibody Source

Monoclonal Mouse IgG1 Clone # OTI3D7

Format

Azide and BSA Free

Concentration

LYOPH mg/ml

Product Specifications

Immunogen

Full length human recombinant protein of human SHPK(NP_037408) produced in HEK293T cell.

Reactivity Notes

Please note that this antibody is reactive to Mouse and derived from the same host, Mouse. Mouse-On-Mouse blocking reagent may be needed for IHC and ICC experiments to reduce high background signal. You can find these reagents under catalog numbers PK-2200-NB and MP-2400-NB. Please contact Technical Support if you have any questions.

Clonality

Monoclonal

Host

Mouse

Isotype

IgG1

Theoretical MW

51.3 kDa.
Disclaimer note: The observed molecular weight of the protein may vary from the listed predicted molecular weight due to post translational modifications, post translation cleavages, relative charges, and other experimental factors.

Description

Novus Biologicals Mouse CARKL Antibody (OTI3D7) - Azide and BSA Free (NBP2-00986) is a monoclonal antibody validated for use in IHC, WB and ICC/IF. All Novus Biologicals antibodies are covered by our 100% guarantee.

Scientific Data Images for CARKL Antibody (OTI3D7) - Azide and BSA Free

Western Blot: CARKL Antibody (OTI3D7)Azide and BSA Free [NBP2-71771]

Western Blot: CARKL Antibody (OTI3D7)Azide and BSA Free [NBP2-71771]

Western Blot: CARKL Antibody (OTI3D7) - Azide and BSA Free [NBP2-71771] - HEK293T cells were transfected with the pCMV6-ENTRY control (Left lane) or pCMV6-ENTRY CARKL (Right lane) cDNA for 48 hrs and lysed. Equivalent amounts of cell lysates (5 ug per lane) were separated by SDS-PAGE and immunoblotted with anti-CARKL.
Immunocytochemistry/ Immunofluorescence: CARKL Antibody (OTI3D7) - Azide and BSA Free [NBP2-71771]

Immunocytochemistry/ Immunofluorescence: CARKL Antibody (OTI3D7) - Azide and BSA Free [NBP2-71771]

Immunocytochemistry/Immunofluorescence: CARKL Antibody (OTI3D7) - Azide and BSA Free [NBP2-71771] - Staining of COS7 cells transiently transfected by pCMV6-ENTRY CARKL.
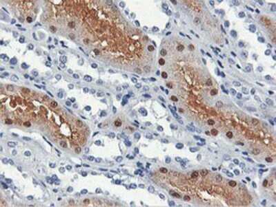
Immunohistochemistry: CARKL Antibody (OTI3D7) - Azide and BSA Free [NBP2-71771]

Immunohistochemistry: CARKL Antibody (OTI3D7) - Azide and BSA Free [NBP2-71771]

Immunohistochemistry: CARKL Antibody (OTI3D7) - Azide and BSA Free [NBP2-71771] - Staining of paraffin-embedded Human Kidney tissue using anti-CARKL mouse monoclonal antibody.

Applications for CARKL Antibody (OTI3D7) - Azide and BSA Free

Application
Recommended Usage

Immunocytochemistry/ Immunofluorescence

1:100

Immunohistochemistry

1:150

Western Blot

1:500

Formulation, Preparation, and Storage

Purification

Immunogen affinity purified

Reconstitution

we recommend adding 100uL distilled water to a final antibody concentration of about 1 mg/mL. To use this carrier-free antibody for conjugation experiment, we strongly recommend performing another round of desalting process.

Formulation

Lyophilized from PBS (pH 7.3) with 8% Trehalose

Format

Azide and BSA Free

Preservative

No Preservative

Concentration

LYOPH mg/ml

Shipping

The product is shipped with polar packs. Upon receipt, store it immediately at the temperature recommended below.

Stability & Storage

Store at -20C. Avoid freeze-thaw cycles.

Background: CARKL

CARKL is encoded by this gene has weak homology to several carbohydrate kinases, a class of proteins involved in the phosphorylation of sugars as they enter a cell, inhibiting return across the cell membrane. Sequence variation between this novel gene and known carbohydrate kinases suggests the possibility of a different substrate, cofactor or changes in kinetic properties distinguishing it from other carbohydrate kinases. The gene resides in a region commonly deleted in cystinosis patients, suggesting a role as a modifier for the cystinosis phenotype. The genomic region is also rich in Alu repetitive sequences, frequently involved in chromosomal rearrangements. [provided by RefSeq]

Alternate Names

carbohydrate kinase-like, Carbohydrate kinase-like protein, CARKLEC 2.7.1.14, sedoheptulokinase, SHKFLJ32478

Gene Symbol

SHPK

Additional CARKL Products

Product Documents for CARKL Antibody (OTI3D7) - Azide and BSA Free

Certificate of Analysis

To download a Certificate of Analysis, please enter a lot number in the search box below.

Product Specific Notices for CARKL Antibody (OTI3D7) - Azide and BSA Free

This product is for research use only and is not approved for use in humans or in clinical diagnosis. Primary Antibodies are guaranteed for 1 year from date of receipt.

Loading...
Loading...
Loading...
Loading...
Loading...