Skip to main content

Carbonic Anhydrase XII/CA12 Antibody (OTI2C6) - Azide and BSA Free

Novus Biologicals, part of Bio-Techne | Catalog # NBP2-70329

Novus Biologicals, part of Bio-Techne

Key Product Details

Species Reactivity

Human

Applications

Immunohistochemistry, Immunohistochemistry-Paraffin, Western Blot

Label

Unconjugated

Antibody Source

Monoclonal Mouse IgG1 Clone # OTI2C6

Format

Azide and BSA Free

Concentration

LYOPH mg/ml

Product Specifications

Immunogen

Full length human recombinant protein of human CA12(NP_001209) produced in HEK293T cell.

Clonality

Monoclonal

Host

Mouse

Isotype

IgG1

Theoretical MW

36.8 kDa.
Disclaimer note: The observed molecular weight of the protein may vary from the listed predicted molecular weight due to post translational modifications, post translation cleavages, relative charges, and other experimental factors.

Description

Novus Biologicals Mouse Carbonic Anhydrase XII/CA12 Antibody (OTI2C6) - Azide and BSA Free (NBP2-46042) is a monoclonal antibody validated for use in IHC and WB. All Novus Biologicals antibodies are covered by our 100% guarantee.

Scientific Data Images for Carbonic Anhydrase XII/CA12 Antibody (OTI2C6) - Azide and BSA Free

Western Blot: Carbonic Anhydrase XII/CA12 Antibody (OTI2C6)Azide and BSA Free [NBP2-70329]

Western Blot: Carbonic Anhydrase XII/CA12 Antibody (OTI2C6)Azide and BSA Free [NBP2-70329]

Western Blot: Carbonic Anhydrase XII/CA12 Antibody (OTI2C6) - Azide and BSA Free [NBP2-70329] - Analysis of HEK293T cells were transfected with the pCMV6-ENTRY control (Left lane) or pCMV6-ENTRY CA12.
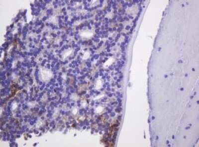
Immunohistochemistry: Carbonic Anhydrase XII/CA12 Antibody (OTI2C6) - Azide and BSA Free [NBP2-70329]

Immunohistochemistry: Carbonic Anhydrase XII/CA12 Antibody (OTI2C6) - Azide and BSA Free [NBP2-70329]

Immunohistochemistry: Carbonic Anhydrase XII/CA12 Antibody (OTI2C6) - Azide and BSA Free [NBP2-70329] - Analysis of Human Kidney tissue. (Heat-induced epitope retrieval by 10mM citric buffer, pH6.0, 120C for 3min)
Western Blot: Carbonic Anhydrase XII/CA12 Antibody (OTI2C6)Azide and BSA Free [NBP2-70329]

Western Blot: Carbonic Anhydrase XII/CA12 Antibody (OTI2C6)Azide and BSA Free [NBP2-70329]

Western Blot: Carbonic Anhydrase XII/CA12 Antibody (OTI2C6) - Azide and BSA Free [NBP2-70329] - Analysis of extracts (35ug) from 9 different cell lines. (HepG2: human; HeLa: human; SVT2: mouse; A549: human; COS7: monkey; Jurkat: human; MDCK: canine; PC12: rat; MCF7: human).

Applications for Carbonic Anhydrase XII/CA12 Antibody (OTI2C6) - Azide and BSA Free

Application
Recommended Usage

Immunohistochemistry

1:150

Immunohistochemistry-Paraffin

Validated for IHC-P from a verifed customer review.

Western Blot

1:500

Formulation, Preparation, and Storage

Purification

Immunogen affinity purified

Reconstitution

we recommend adding 100uL distilled water to a final antibody concentration of about 1 mg/mL. To use this carrier-free antibody for conjugation experiment, we strongly recommend performing another round of desalting process.

Formulation

Lyophilized from PBS (pH 7.3) with 8% Trehalose

Format

Azide and BSA Free

Preservative

No Preservative

Concentration

LYOPH mg/ml

Shipping

The product is shipped with polar packs. Upon receipt, store it immediately at the temperature recommended below.

Stability & Storage

Store at -20C. Avoid freeze-thaw cycles.

Background: Carbonic Anhydrase XII/CA12

Carbonic anhydrases (CAs) are a large family of zinc metalloenzymes that catalyze the reversible hydration of carbon dioxide. They participate in a variety of biological processes, including respiration, calcification, acid-base balance, bone resorption, and the formation of aqueous humor, cerebrospinal fluid, saliva, and gastric acid. This gene product is a type I membrane protein that is highly expressed in normal tissues, such as kidney, colon and pancreas, and has been found to be overexpressed in 10% of clear cell renal carcinomas. Two transcript variants encoding different isoforms have been identified for this gene.

Alternate Names

CA12

Gene Symbol

CA12

Additional Carbonic Anhydrase XII/CA12 Products

Product Documents for Carbonic Anhydrase XII/CA12 Antibody (OTI2C6) - Azide and BSA Free

Certificate of Analysis

To download a Certificate of Analysis, please enter a lot number in the search box below.

Product Specific Notices for Carbonic Anhydrase XII/CA12 Antibody (OTI2C6) - Azide and BSA Free

This product is for research use only and is not approved for use in humans or in clinical diagnosis. Primary Antibodies are guaranteed for 1 year from date of receipt.

Loading...
Loading...
Loading...
Loading...
Loading...