Skip to main content

Carbonic Anhydrase IX/CA9 Antibody (RM486)

Novus Biologicals, part of Bio-Techne | Catalog # NBP3-23472

Recombinant Monoclonal Antibody
Novus Biologicals, part of Bio-Techne
Catalog #
Availability
Size / Price
Qty
Loading...
NBP3-23472

Key Product Details

Species Reactivity

Human

Applications

Immunohistochemistry, Western Blot

Label

Unconjugated

Antibody Source

Recombinant Monoclonal Rabbit IgG Clone # RM486 expressed in HEK293

Concentration

Please see the vial label for concentration. If unlisted please contact technical services.

Product Specifications

Immunogen

A peptide corresponding to the C-terminus of human Carbonic Anhydrase IX/CA9 (Uniprot#: Q16790)

Clonality

Monoclonal

Host

Rabbit

Isotype

IgG

Description

Novus Biologicals Rabbit Carbonic Anhydrase IX/CA9 Antibody (RM486) (NBP3-23472) is a recombinant monoclonal antibody validated for use in IHC and WB. All Novus Biologicals antibodies are covered by our 100% guarantee.

Scientific Data Images for Carbonic Anhydrase IX/CA9 Antibody (RM486)

Carbonic Anhydrase IX/CA9 Antibody (RM486)

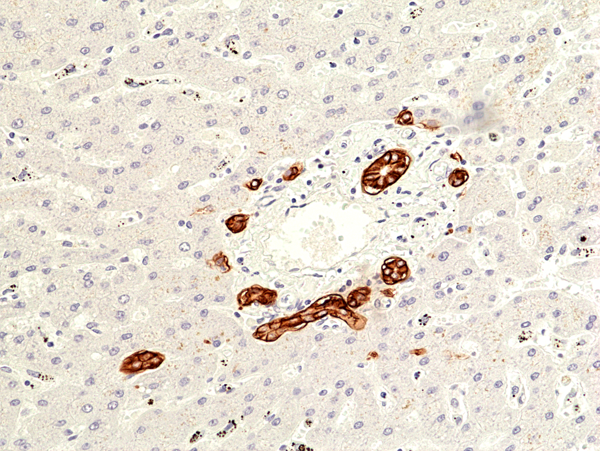
Immunohistochemistry-Paraffin: Carbonic Anhydrase IX/CA9 Antibody (RM486) [NBP3-23472] -

Immunohistochemistry-Paraffin: Carbonic Anhydrase IX/CA9 Antibody (RM486) [NBP3-23472] - Immunohistochemical staining of formalin fixed and paraffin embedded human liver tissue sections using Clone RM486) at 1:100 dilution.
Carbonic Anhydrase IX/CA9 Antibody (RM486)

Western Blot: Carbonic Anhydrase IX/CA9 Antibody (RM486) [NBP3-23472] -

Western Blot: Carbonic Anhydrase IX/CA9 Antibody (RM486) [NBP3-23472] - Western Blot of SW620 cell lysate using Clone RM486) at 1:2500 dilution.
Carbonic Anhydrase IX/CA9 Antibody (RM486)

Immunohistochemistry-Paraffin: Carbonic Anhydrase IX/CA9 Antibody (RM486) [NBP3-23472] -

Immunohistochemistry-Paraffin: Carbonic Anhydrase IX/CA9 Antibody (RM486) [NBP3-23472] - Immunohistochemical staining of formalin fixed and paraffin embedded human stomach tissue sections using RM486 at 1:100 dilution.

Applications for Carbonic Anhydrase IX/CA9 Antibody (RM486)

Application
Recommended Usage

Immunohistochemistry

1:100 -1:200

Western Blot

1:1000 - 1:2500

Formulation, Preparation, and Storage

Purification

Protein A purified

Formulation

50% Glycerol/PBS, 1% BSA

Preservative

0.09% Sodium Azide

Concentration

Please see the vial label for concentration. If unlisted please contact technical services.

Shipping

The product is shipped with polar packs. Upon receipt, store it immediately at the temperature recommended below.

Stability & Storage

Store at -20C. Avoid freeze-thaw cycles.

Background: Carbonic Anhydrase IX/CA9

Carbonic anhydrase alpha, isozyme IX, belongs to a family of zinc-containing metalloproteins which hydrate carbon dioxide to generate bicarbonate ions and protons (1). This main catalytic function allows carbonic anhydrase IX to participate in cellular pH regulation. The large family of carbonic anhydrase metalloproteins includes three major classes which have been identified based on sequence and structure analysis. The alpha class is a monomer found in mammals. The beta class may occur as a dimer, tetramer, hexamer or octamer and is found in plants, algae, and bacteria. Lastly, the gamma class is a trimer found in bacteria and represents the most ancient carbonic anhydrase. These three classes of carbonic anhydrase enzymes lack sequence or structural similarities, but all share a conserved active site zinc atom (1).

Carbonic anhydrase IX (theoretical molecular weight 50kDa) belongs to the monomeric alpha class and is a single pass-transmembrane protein with two extracellular domains which serve catalytic and cell adhesion functions (2, 3). By cooperating with sodium bicarbonate cotransporters (NBC), lactate and proton exporting monocarboxylic acid transporters (MCT), and a sodium/hydrogen exchanger (NHE), carbonic anhydrase IX is involved in pH regulation across the cell membrane. This functional property protects cancer cells from intracellular acidification and partly explains the role of carbonic anhydrase IX in cancer cell survival and proliferation. In contrast, the pH regulating activity of carbonic anhydrase IX induces extracellular acidification, which has been implicated in epithelial to mesenchymal transition (EMT) and promoting cancer invasion. Carbonic anhydrase IX is frequently overexpressed in cancer cells (e.g., colorectal-, breast-, lung-carcinoma and brain tumors), an effect promoted by hypoxia within the tumor microenvironment (4). An exception are tumors carrying pVHL inactivating mutations, such as clear cell renal cell carcinoma (ccRCC), where HIF-alpha is stabilized due to dysfunctional proteasomal targeting and can induce HRE (Hypoxia Response Element) containing genes even under physiological normoxia (5). Carbonic anhydrase IX may be detected by immunostaining in tumors, which is found in association with necrotic tissue and metastatic cells. Because the expression of carbonic anhydrase IX correlates with both tumor grade and stage, analysis of its expression in tumors serves as a prognostic factor (4, 6).

References

1. Tripp, B. C., Smith, K., & Ferry, J. G. (2001). Carbonic Anhydrase: New Insights for an Ancient Enzyme. Journal of Biological Chemistry. https://doi.org/10.1074/jbc.R100045200

2. Nishimori, I., & Onishi, S. (2001). Carbonic anhydrase isozymes in the human pancreas. Digestive and Liver Disease. https://doi.org/10.1016/s1590-8658(01)80138-9

3. Zavadova, Z., & Zavada, J. (2005). Carbonic anhydrase IX (CA IX) mediates tumor cell interactions with microenvironment. Oncology Reports. https://doi.org/10.3892/or.13.5.977

4. Pastorekova, S., & Gillies, R. J. (2019). The role of carbonic anhydrase IX in cancer development: links to hypoxia, acidosis, and beyond. Cancer and Metastasis Reviews. https://doi.org/10.1007/s10555-019-09799-0

5. Haase, V. (2009). The VHL Tumor Suppressor: Master Regulator of HIF. Current Pharmaceutical Design. https://doi.org/10.2174/138161209789649394

6. Young, J. R., Coy, H., Kim, H. J., Douek, M., Sisk, A., Pantuck, A. J., & Raman, S. S. (2018). Association of the gross appearance of intratumoral vascularity at MDCT with the carbonic anhydrase IX score in clear cell renal cell carcinoma. American Journal of Roentgenology. https://doi.org/10.2214/AJR.18.19725

Alternate Names

CA9, G250, MN, RCC

Gene Symbol

CA9

Additional Carbonic Anhydrase IX/CA9 Products

Product Documents for Carbonic Anhydrase IX/CA9 Antibody (RM486)

Certificate of Analysis

To download a Certificate of Analysis, please enter a lot number in the search box below.

Product Specific Notices for Carbonic Anhydrase IX/CA9 Antibody (RM486)

[Public Notes]

This product is for research use only and is not approved for use in humans or in clinical diagnosis. Primary Antibodies are guaranteed for 1 year from date of receipt.

Loading...
Loading...
Loading...
Loading...