Skip to main content

Carbonic Anhydrase IX/CA9 Antibody (rCA9/9937)

Novus Biologicals, part of Bio-Techne | Catalog # NBP3-49005

Recombinant Monoclonal Antibody
Novus Biologicals, part of Bio-Techne
Catalog #
Availability
Size / Price
Qty
Loading...
NBP3-49005-100ug
NBP3-49005-20ug

Key Product Details

Species Reactivity

Human

Applications

Immunohistochemistry, Western Blot

Label

Unconjugated

Antibody Source

Recombinant Monoclonal Mouse IgG2b Kappa Clone # rCA9/9937 expressed in CHO

Concentration

Please see the vial label for concentration. If unlisted please contact technical services.

Product Specifications

Immunogen

Extracellular N-terminal proteoglycan-like region. Epitope is between aa80-100. (Uniprot: Q16790)

Localization

Cell membrane, Cell projection, Microvillus membrane, Nucleolus, Nucleus

Specificity

This antibody may be useful in the investigations of carcinomas of proximal nephrogenic differentiation especially those showing tubular differentiation.

Clonality

Monoclonal

Host

Mouse

Isotype

IgG2b Kappa

Theoretical MW

55 kDa.
Disclaimer note: The observed molecular weight of the protein may vary from the listed predicted molecular weight due to post translational modifications, post translation cleavages, relative charges, and other experimental factors.

Description

Prepared in 10mM PBS with 0.05% BSA & 0.05% azide. Also available WITHOUT BSA & azide at 1.0mg/ml.

Antibody with azide - store at 2 to 8 C. Antibody without azide - store at -20 to -80 C. Antibody is stable for 24 months. Non-hazardous. No MSDS required.

Scientific Data Images for Carbonic Anhydrase IX/CA9 Antibody (rCA9/9937)

Carbonic Anhydrase IX/CA9 Antibody (rCA9/9937)

Western Blot: Carbonic Anhydrase IX/CA9 Antibody (rCA9/9937) [NBP3-49005] -

Western Blot Analysis of Human Stomach tissue cell lysate using Carbonic Anhydrase IX/CA9 Antibody (rCA9/9937).
Carbonic Anhydrase IX/CA9 Antibody (rCA9/9937)

Western Blot: Carbonic Anhydrase IX/CA9 Antibody (rCA9/9937) [NBP3-49005] -

Western Blot Analysis of HeLa cell lysate using Carbonic Anhydrase IX/CA9 Antibody (rCA9/9937).
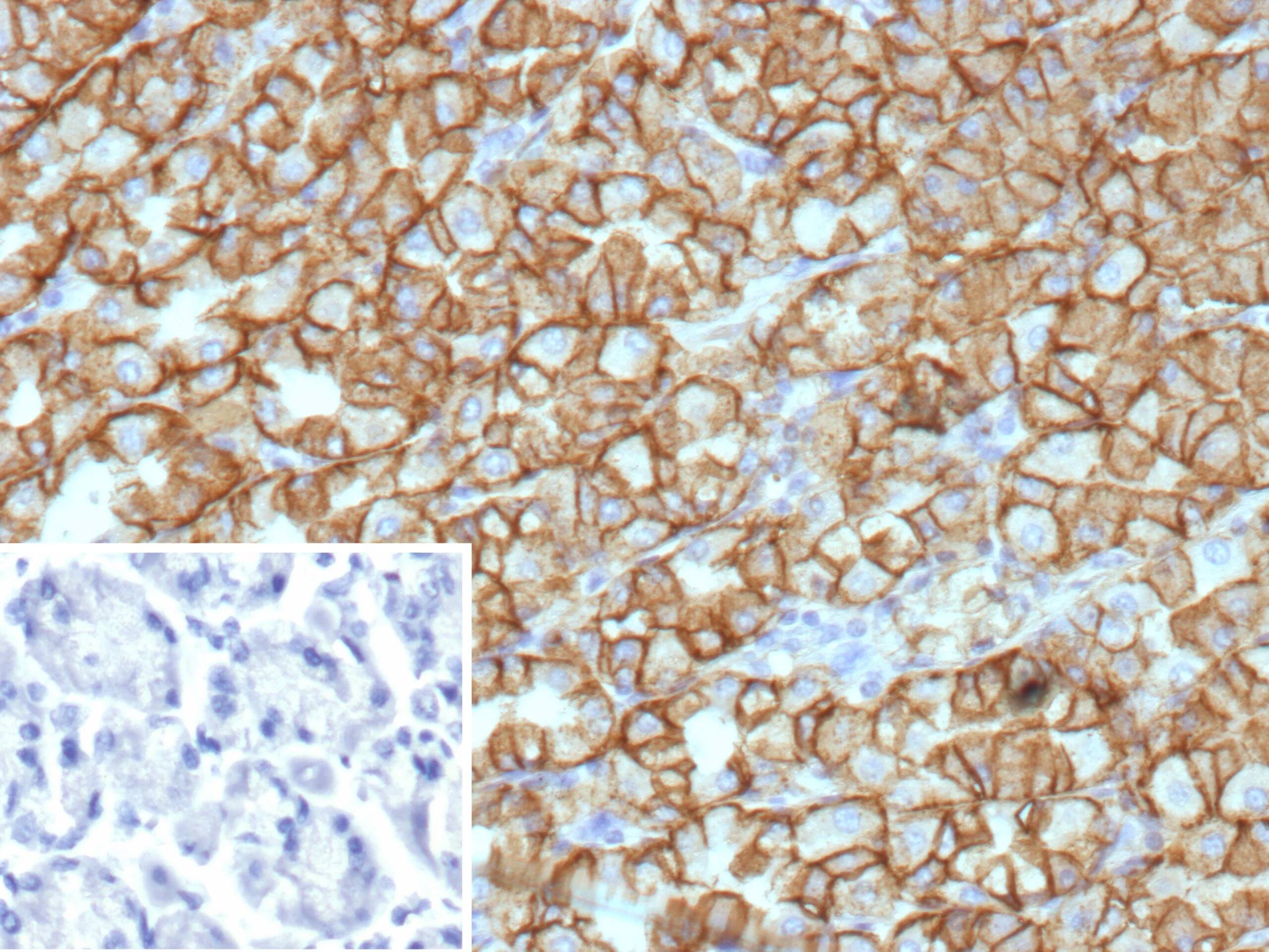
Carbonic Anhydrase IX/CA9 Antibody (rCA9/9937)

Immunohistochemistry-Paraffin: Carbonic Anhydrase IX/CA9 Antibody (rCA9/9937) [NBP3-49005] -

Formalin-fixed, paraffin-embedded human stomach stained with Carbonic Anhydrase IX/CA9 Antibody (rCA9/9937). Inset: PBS instead of primary antibody; secondary only negative control.

Applications for Carbonic Anhydrase IX/CA9 Antibody (rCA9/9937)

Application
Recommended Usage

Immunohistochemistry

Optimal dilutions of this antibody should be experimentally determined.

Western Blot

Optimal dilutions of this antibody should be experimentally determined.

Formulation, Preparation, and Storage

Purification

Protein A or G purified

Formulation

10 mM PBS with 0.05% BSA

Preservative

0.05% Sodium Azide

Concentration

Please see the vial label for concentration. If unlisted please contact technical services.

Shipping

The product is shipped with polar packs. Upon receipt, store it immediately at the temperature recommended below.

Stability & Storage

Store at 4C.

Background: Carbonic Anhydrase IX/CA9

Carbonic anhydrase alpha, isozyme IX, belongs to a family of zinc-containing metalloproteins which hydrate carbon dioxide to generate bicarbonate ions and protons (1). This main catalytic function allows carbonic anhydrase IX to participate in cellular pH regulation. The large family of carbonic anhydrase metalloproteins includes three major classes which have been identified based on sequence and structure analysis. The alpha class is a monomer found in mammals. The beta class may occur as a dimer, tetramer, hexamer or octamer and is found in plants, algae, and bacteria. Lastly, the gamma class is a trimer found in bacteria and represents the most ancient carbonic anhydrase. These three classes of carbonic anhydrase enzymes lack sequence or structural similarities, but all share a conserved active site zinc atom (1).

Carbonic anhydrase IX (theoretical molecular weight 50kDa) belongs to the monomeric alpha class and is a single pass-transmembrane protein with two extracellular domains which serve catalytic and cell adhesion functions (2, 3). By cooperating with sodium bicarbonate cotransporters (NBC), lactate and proton exporting monocarboxylic acid transporters (MCT), and a sodium/hydrogen exchanger (NHE), carbonic anhydrase IX is involved in pH regulation across the cell membrane. This functional property protects cancer cells from intracellular acidification and partly explains the role of carbonic anhydrase IX in cancer cell survival and proliferation. In contrast, the pH regulating activity of carbonic anhydrase IX induces extracellular acidification, which has been implicated in epithelial to mesenchymal transition (EMT) and promoting cancer invasion. Carbonic anhydrase IX is frequently overexpressed in cancer cells (e.g., colorectal-, breast-, lung-carcinoma and brain tumors), an effect promoted by hypoxia within the tumor microenvironment (4). An exception are tumors carrying pVHL inactivating mutations, such as clear cell renal cell carcinoma (ccRCC), where HIF-alpha is stabilized due to dysfunctional proteasomal targeting and can induce HRE (Hypoxia Response Element) containing genes even under physiological normoxia (5). Carbonic anhydrase IX may be detected by immunostaining in tumors, which is found in association with necrotic tissue and metastatic cells. Because the expression of carbonic anhydrase IX correlates with both tumor grade and stage, analysis of its expression in tumors serves as a prognostic factor (4, 6).

References

1. Tripp, B. C., Smith, K., & Ferry, J. G. (2001). Carbonic Anhydrase: New Insights for an Ancient Enzyme. Journal of Biological Chemistry. https://doi.org/10.1074/jbc.R100045200

2. Nishimori, I., & Onishi, S. (2001). Carbonic anhydrase isozymes in the human pancreas. Digestive and Liver Disease. https://doi.org/10.1016/s1590-8658(01)80138-9

3. Zavadova, Z., & Zavada, J. (2005). Carbonic anhydrase IX (CA IX) mediates tumor cell interactions with microenvironment. Oncology Reports. https://doi.org/10.3892/or.13.5.977

4. Pastorekova, S., & Gillies, R. J. (2019). The role of carbonic anhydrase IX in cancer development: links to hypoxia, acidosis, and beyond. Cancer and Metastasis Reviews. https://doi.org/10.1007/s10555-019-09799-0

5. Haase, V. (2009). The VHL Tumor Suppressor: Master Regulator of HIF. Current Pharmaceutical Design. https://doi.org/10.2174/138161209789649394

6. Young, J. R., Coy, H., Kim, H. J., Douek, M., Sisk, A., Pantuck, A. J., & Raman, S. S. (2018). Association of the gross appearance of intratumoral vascularity at MDCT with the carbonic anhydrase IX score in clear cell renal cell carcinoma. American Journal of Roentgenology. https://doi.org/10.2214/AJR.18.19725

Alternate Names

CA9, G250, MN, RCC

Gene Symbol

CA9

Additional Carbonic Anhydrase IX/CA9 Products

Product Documents for Carbonic Anhydrase IX/CA9 Antibody (rCA9/9937)

Certificate of Analysis

To download a Certificate of Analysis, please enter a lot number in the search box below.

Product Specific Notices for Carbonic Anhydrase IX/CA9 Antibody (rCA9/9937)

This product is for research use only and is not approved for use in humans or in clinical diagnosis. Primary Antibodies are guaranteed for 1 year from date of receipt.

Loading...
Loading...
Loading...
Loading...