Skip to main content

CapG Antibody - BSA Free

Novus Biologicals, part of Bio-Techne | Catalog # NBP1-90215

Novus Biologicals, part of Bio-Techne
Catalog #
Availability
Size / Price
Qty
Loading...
NBP1-90215

Key Product Details

Validated by

Orthogonal Validation, Independent Antibodies

Species Reactivity

Human, Mouse, Rat

Applications

Immunohistochemistry, Immunohistochemistry-Paraffin, Western Blot

Label

Unconjugated

Antibody Source

Polyclonal Rabbit IgG

Format

BSA Free

Concentration

Concentrations vary lot to lot. See vial label for concentration. If unlisted please contact technical services.

Product Specifications

Immunogen

This antibody was developed against Recombinant Protein corresponding to amino acids: SSPFALELLISDDCFVLDNGLCGKIYIWKGRKANEKERQAALQVAEGFISRMQYAPNTQVEILPQGRESPIFKQF

Clonality

Polyclonal

Host

Rabbit

Isotype

IgG

Theoretical MW

38 kDa.
Disclaimer note: The observed molecular weight of the protein may vary from the listed predicted molecular weight due to post translational modifications, post translation cleavages, relative charges, and other experimental factors.

Description

Novus Biologicals Rabbit CapG Antibody - BSA Free (NBP1-90215) is a polyclonal antibody validated for use in IHC and WB. All Novus Biologicals antibodies are covered by our 100% guarantee.

Scientific Data Images for CapG Antibody - BSA Free

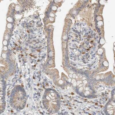
Immunohistochemistry-Paraffin: CapG Antibody [NBP1-90215]

Immunohistochemistry-Paraffin: CapG Antibody [NBP1-90215]

Immunohistochemistry-Paraffin: CapG Antibody [NBP1-90215] - Staining of human kidney, placenta, skeletal muscle and small intestine using Anti-CD2AP antibody (A) NBP1-90215 shows similar protein distribution across tissues to independent antibody NBP1-90214 (B).
Immunohistochemistry-Paraffin: CapG Antibody [NBP1-90215]

Immunohistochemistry-Paraffin: CapG Antibody [NBP1-90215]

Immunohistochemistry-Paraffin: CapG Antibody [NBP1-90215] - Analysis in human lung and liver tissues. Corresponding CAPG RNA-seq data are presented for the same tissues.
Immunohistochemistry-Paraffin: CapG Antibody [NBP1-90215]

Immunohistochemistry-Paraffin: CapG Antibody [NBP1-90215]

Immunohistochemistry-Paraffin: CapG Antibody [NBP1-90215] - Staining of human lung shows moderate to strong cytoplasmic positivity in macrophages.

Applications for CapG Antibody - BSA Free

Application
Recommended Usage

Immunohistochemistry

1:1000 - 1:2500

Immunohistochemistry-Paraffin

1:1000 - 1:2500

Western Blot

0.04-0.4 ug/ml
Application Notes
For IHC-Paraffin, HIER pH 6 retrieval is recommended.

Formulation, Preparation, and Storage

Purification

Affinity purified

Formulation

PBS (pH 7.2) and 40% Glycerol

Format

BSA Free

Preservative

0.02% Sodium Azide

Concentration

Concentrations vary lot to lot. See vial label for concentration. If unlisted please contact technical services.

Shipping

The product is shipped with polar packs. Upon receipt, store it immediately at the temperature recommended below.

Stability & Storage

Store at 4C short term. Aliquot and store at -20C long term. Avoid freeze-thaw cycles.

Background: CapG

Actin Regulatory Protein encodes a member of the gelsolin/villin family of actin-regulatory proteins. The encoded protein reversibly blocks the barbed ends of F-actin filaments in a Ca2+ and phosphoinositide-regulated manner, but does not sever preformed actin filaments. By capping the barbed ends of actin filaments, the encoded protein contributes to the control of actin-based motility in non-muscle cells. Alternatively spliced transcript variants have been observed, but have not been fully described.

Long Name

Capping Protein, Gelsolin-like

Alternate Names

AFCP

Entrez Gene IDs

822 (Human)

Gene Symbol

CAPG

UniProt

Additional CapG Products

Product Documents for CapG Antibody - BSA Free

Certificate of Analysis

To download a Certificate of Analysis, please enter a lot number in the search box below.

Product Specific Notices for CapG Antibody - BSA Free

This product is for research use only and is not approved for use in humans or in clinical diagnosis. Primary Antibodies are guaranteed for 1 year from date of receipt.

Loading...
Loading...
Loading...
Loading...