Skip to main content

Calsequestrin 1 Antibody - Azide and BSA Free

Novus Biologicals, part of Bio-Techne | Catalog # NBP3-00194

Novus Biologicals, part of Bio-Techne

Key Product Details

Species Reactivity

Human

Applications

Immunohistochemistry, Immunohistochemistry-Paraffin, ELISA, Immunocytochemistry/ Immunofluorescence

Label

Unconjugated

Antibody Source

Polyclonal Rabbit IgG

Format

Azide and BSA Free

Concentration

Please see the vial label for concentration. If unlisted please contact technical services.

Product Specifications

Immunogen

Produced in rabbits immunized with purified, recombinant Human Calsequestrin 1 (Accession#: P31415; Gln35-Asp396)

Clonality

Polyclonal

Host

Rabbit

Isotype

IgG

Description

This antibody can be stored at 2C to 8C for one month without detectable loss of activity. Antibody products are stable for twelve months from date of receipt when stored at -20C to -80C. Avoid repeated freeze-thaw cycles.

Scientific Data Images for Calsequestrin 1 Antibody - Azide and BSA Free

Calsequestrin 1 Antibody - Azide and BSA Free

Immunocytochemistry/ Immunofluorescence: Calsequestrin 1 Antibody [NBP3-00194] -

Immunocytochemistry/ Immunofluorescence: Calsequestrin 1 Antibody [NBP3-00194] - Immunofluorescence staining of Calsequestrin 1 in HeLa cells. Cells were fixed with 4% PFA, permeabilzed with 0.1% Triton X-100 in PBS,blocked with 10% serum, and incubated with NBP3-00194 (dilution ratio 1:200) at 4 overnight. Then cells were stained with the Alexa Fluor488-conjugated Goat Anti-rabbit IgG secondary antibody (green) and counterstained with DAPI (blue).Positive staining was localized to Cytoplasm.
Calsequestrin 1 Antibody - Azide and BSA Free

Immunohistochemistry-Paraffin: Calsequestrin 1 Antibody [NBP3-00194] -

Immunohistochemistry-Paraffin: Calsequestrin 1 Antibody [NBP3-00194] - Immunochemical staining of Calsequestrin 1 in human skeletal muscle with NBP3-00194 at 1:300 dilution, formalin-fixed paraffin embedded sections.
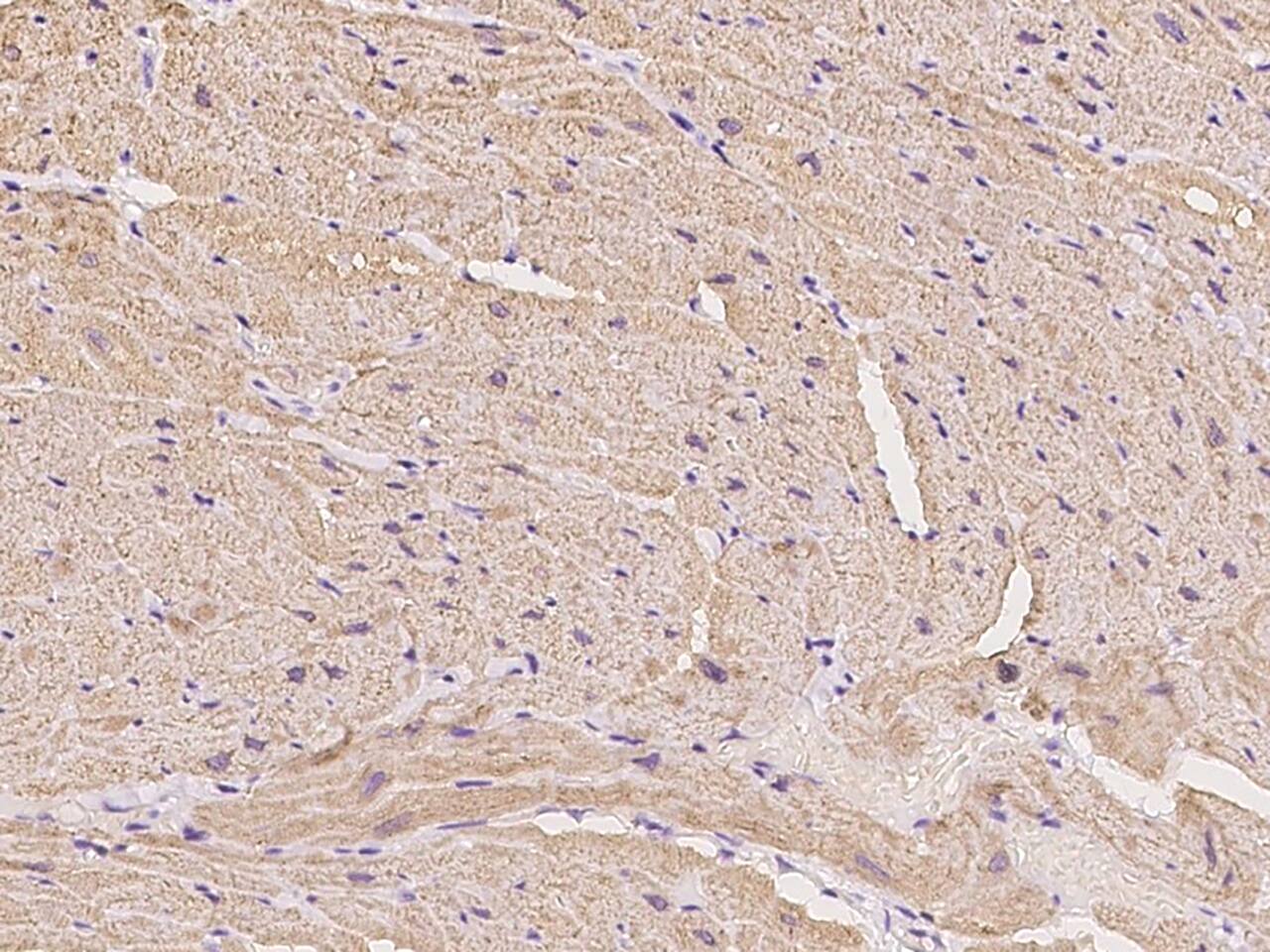
Calsequestrin 1 Antibody - Azide and BSA Free

Immunohistochemistry-Paraffin: Calsequestrin 1 Antibody [NBP3-00194] -

Immunohistochemistry-Paraffin: Calsequestrin 1 Antibody [NBP3-00194] - Immunochemical staining of Calsequestrin 1 in cynomolgus heart with NBP3-00194 at 1:300 dilution, formalin-fixed paraffin embedded sections.

Applications for Calsequestrin 1 Antibody - Azide and BSA Free

Application
Recommended Usage

ELISA

1:5000-1:10000

Immunocytochemistry/ Immunofluorescence

1:100-1:500

Immunohistochemistry-Paraffin

1:200-1:1000

Formulation, Preparation, and Storage

Purification

Antigen and protein A Affinity-purified

Formulation

0.2 um filtered solution in PBS

Format

Azide and BSA Free

Preservative

No Preservative

Concentration

Please see the vial label for concentration. If unlisted please contact technical services.

Shipping

The product is shipped with polar packs. Upon receipt, store it immediately at the temperature recommended below.

Stability & Storage

Store at 4C short term. Aliquot and store at -20C long term. Avoid freeze-thaw cycles.

Background: Calsequestrin 1

The sarcoplasmic reticulum (SR) is, in part, responsible for maintaining the level of intracellular calcium in cardiac and skeletal muscle by storing and releasing calcium. Several intralumenal SR calcium binding proteins have been identified, the most prominent of these is calsequestrin. Calsequstrin is a calcium binding protein known to sequester calcium accumulated in the sarcoplasmic reticulum of muscle cells during relaxation and is found discretely localized to the junctional and corbular (terminal cisternae) SR. Calsequestrin functions to localize calcium near the junctional face of the terminal cisternae from which calcium can be released into the cytosol via the ryanodine receptor. This protein is highly acidic and has a large capacity and moderate to low affinity for calcium.

Alternate Names

calmitin, calmitine, calsequestrin 1 (fast-twitch, skeletal muscle), Calsequestrin, skeletal muscle isoform, calsequestrin-1, CASQ, PDIB1

Gene Symbol

CASQ1

Additional Calsequestrin 1 Products

Product Documents for Calsequestrin 1 Antibody - Azide and BSA Free

Certificate of Analysis

To download a Certificate of Analysis, please enter a lot number in the search box below.

Product Specific Notices for Calsequestrin 1 Antibody - Azide and BSA Free

This product is for research use only and is not approved for use in humans or in clinical diagnosis. Primary Antibodies are guaranteed for 1 year from date of receipt.

Loading...
Loading...
Loading...
Loading...