Skip to main content

Calretinin Antibody (rCALB2/7123)

Novus Biologicals, part of Bio-Techne | Catalog # NBP3-20348

Recombinant Monoclonal Antibody
Novus Biologicals, part of Bio-Techne
Catalog #
Availability
Size / Price
Qty
Loading...
NBP3-20348-100ug
NBP3-20348-20ug

Key Product Details

Species Reactivity

Human

Applications

Immunohistochemistry-Paraffin

Label

Unconjugated

Antibody Source

Recombinant Monoclonal Mouse IgG1 kappa Clone # rCALB2/7123

Concentration

0.2 mg/ml

Product Specifications

Immunogen

Recombinant human Calretinin protein fragment (around aa23-242) (exact sequence is proprietary)

Localization

Cytoplasm. Nucleus.

Clonality

Monoclonal

Host

Mouse

Isotype

IgG1 kappa

Description

Positive Controls: Human brain, testis or mesothelioma tissue.

Antibody with azide - store at 2 to 8C. Antibody without azide - store at -20 to -80C. Non-hazardous. No MSDS required.

Scientific Data Images for Calretinin Antibody (rCALB2/7123)

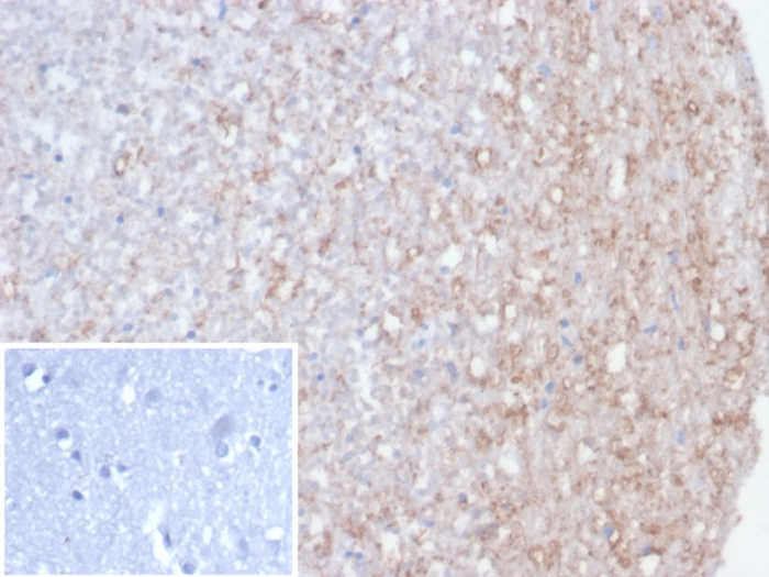
Calretinin Antibody (rCALB2/7123)

Calretinin Antibody (rCALB2/7123)

Formalin-fixed, paraffin-embedded human brain stained with Calretinin antibody (rCALB2/7123). Inset: PBS instead of primary, secondary negative control.
Calretinin Antibody (rCALB2/7123) Western Blot: Calretinin Antibody (rCALB2/7123) [NBP3-20348] -

Western Blot: Calretinin Antibody (rCALB2/7123) [NBP3-20348] -

Western Blot Analysis of Human Brain tissue lysate using Calretinin Antibody (rCALB2/7123).

Applications for Calretinin Antibody (rCALB2/7123)

Application
Recommended Usage

Immunohistochemistry-Paraffin

1-2 ug/ml
Application Notes
Immunohistochemistry (Formalin-fixed): 1-2ug/ml for 30 minutes. at RT. Staining of formalin-fixed tissues requires heating tissue sections in 10mM Tris with 1mM EDTA, pH 9.0, for 45 min at 95C followed by cooling at RT for 20 minutes.

Optimal dilution for a specific application should be determined.

Formulation, Preparation, and Storage

Purification

Protein A purified

Formulation

10mM PBS with 0.05% BSA

Preservative

0.05% Sodium Azide

Concentration

0.2 mg/ml

Shipping

The product is shipped with polar packs. Upon receipt, store it immediately at the temperature recommended below.

Stability & Storage

Store at 4C. Do not freeze.

Background: Calretinin

Calretinin (CAB29, calbindin 2) is a calcium binding protein that belongs to calbindin family. It is mainly found in neuronal tissue, high expressed in auditory neurons. It has been implicated in as a calcium buffer, calcium sensor, and as a regulator of apoptosis (1). Calretinin is considered as a specific marker of mesothelllal cells; it is the only marker that has the utility in distinguishing between sarcomatoid mesotheliomas and sarcomatoid renal cell carcinomas (2). It is widely used in the panel of makers for distinguishing mesothlioma from adenocarcinoma. Along with calretinin, the panel includes E-cadherin, CEA, and cytokeratin 5/6 (3).

Alternate Names

CAB29, CAL2, CALB2

Gene Symbol

CALB2

Additional Calretinin Products

Product Documents for Calretinin Antibody (rCALB2/7123)

Certificate of Analysis

To download a Certificate of Analysis, please enter a lot number in the search box below.

Product Specific Notices for Calretinin Antibody (rCALB2/7123)

This product is for research use only and is not approved for use in humans or in clinical diagnosis. Primary Antibodies are guaranteed for 1 year from date of receipt.

Loading...
Loading...
Loading...
Loading...