Skip to main content

Caldesmon/CALD1 Antibody (CALD1/1424R)

Novus Biologicals, part of Bio-Techne | Catalog # NBP2-53225

Recombinant Monoclonal Antibody
Novus Biologicals, part of Bio-Techne
Catalog #
Availability
Size / Price
Qty
Loading...
NBP2-53225-100ug
NBP2-53225-20ug

Key Product Details

Species Reactivity

Human, Rat

Applications

Immunohistochemistry, Immunohistochemistry-Paraffin, Western Blot

Label

Unconjugated

Antibody Source

Recombinant Monoclonal Rabbit IgG Clone # CALD1/1424R

Concentration

0.2 mg/ml

Product Specifications

Immunogen

Recombinant human full-length Caldesmon/CALD1 protein (Uniprot: Q05682 )

Reactivity Notes

Human and Rat. Others not known.

Localization

Cytoplasmic

Specificity

Recognizes a protein of 150kDa, which is identified as the high molecular weight variant of Caldesmon. Two closely related variants of human caldesmon have been identified which are different in their electrophoretic mobility and cellular distribution. The h-caldesmon variant (120 150kDa) is predominantly expressed in smooth muscle whereas l-caldesmon (70 80kDa) is found in non- muscle tissue and cells. Neither of the two variants has been detected in skeletal muscle. This monoclonal antibody recognizes only the 150kDa variant (h-caldesmon) in Western blots of human aortic media extracts and is unreactive with fibroblast extracts from cultivated human foreskin. Caldesmon is a developmentally regulated protein involved in smooth muscle and non-muscle contraction.

Marker

Smooth Muscle Marker

Clonality

Monoclonal

Host

Rabbit

Isotype

IgG

Theoretical MW

150 kDa.
Disclaimer note: The observed molecular weight of the protein may vary from the listed predicted molecular weight due to post translational modifications, post translation cleavages, relative charges, and other experimental factors.

Description

200ug/ml of antibody purified by Protein A or G. Prepared in 10 mM PBS with 0.05% BSA & 0.05% azide. Also available WITHOUT BSA & azide at 1.0 mg/ml. (NBP2-54311)

Antibody with azide - store at 2 to 8C. Antibody without azide - store at -20 to -80 C.

Scientific Data Images for Caldesmon/CALD1 Antibody (CALD1/1424R)

Western Blot: Caldesmon/CALD1 Antibody (CALD1/1424R) [NBP2-53225]

Western Blot: Caldesmon/CALD1 Antibody (CALD1/1424R) [NBP2-53225]

Western Blot: Caldesmon/CALD1 Antibody (CALD1/1424R) [NBP2-53225] - Western Blot Analysis of human ovary tissue lysate using Caldesmon/CALD1 antibody (CALD1/1424R).
Immunohistochemistry-Paraffin: Caldesmon/CALD1 Antibody (CALD1/1424R) [NBP2-53225]

Immunohistochemistry-Paraffin: Caldesmon/CALD1 Antibody (CALD1/1424R) [NBP2-53225]

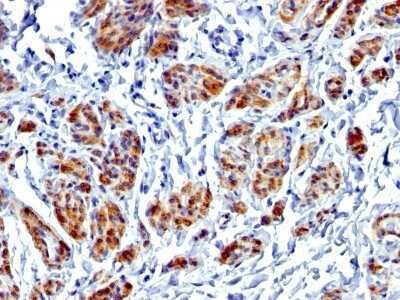
Immunohistochemistry-Paraffin: Caldesmon/CALD1 Antibody (CALD1/1424R) [NBP2-53225] - Rat Uterus stained with Caldesmon Rabbit Monoclonal Antibody
Immunohistochemistry-Paraffin: Caldesmon/CALD1 Antibody (CALD1/1424R) [NBP2-53225]

Immunohistochemistry-Paraffin: Caldesmon/CALD1 Antibody (CALD1/1424R) [NBP2-53225]

Immunohistochemistry-Paraffin: Caldesmon/CALD1 Antibody (CALD1/1424R) [NBP2-53225] - Uterus stained with Caldesmon Rabbit Monoclonal Antibody

Applications for Caldesmon/CALD1 Antibody (CALD1/1424R)

Application
Recommended Usage

Immunohistochemistry

1-2 ug/ml

Immunohistochemistry-Paraffin

1 - 2 ug/ml

Western Blot

1-2 ug/ml
Application Notes
Immunohistology (Formalin-fixed): 1-2ug/ml for 30 minutes at RT. Staining of formalin-fixed tissues requires boiling tissue sections in 1mM EDTA, pH 7.5-8.5, for 10-20 min followed by cooling at RT for 20 minutes.
Optimal dilution for a specific application should be determined.

Formulation, Preparation, and Storage

Purification

Protein A or G purified

Formulation

10 mM PBS with 0.05% BSA

Preservative

0.05% Sodium Azide

Concentration

0.2 mg/ml

Shipping

The product is shipped with polar packs. Upon receipt, store it immediately at the temperature recommended below.

Stability & Storage

Store at 4C.

Background: Caldesmon/CALD1

Caldesmon is a smooth muscle and nonmuscle regulatory protein that interacts with actin, myosin, tropomyosin, and calmodulin (1,2). Smooth muscle caldesmon is an elongated molecule with a calmodulin, tropomyosin, and actin-binding region at the C-terminus and a myosin-binding domain at the N-terminus (3). Caldesmon stimulates actin binding of tropomyosin which increases the stabilization of actin filament structure. In muscle tissues, caldesmon inhibits the actomyosin ATPase by binding to F-actin. This inhibition is reduced by calcium-calmodulin and is promoted by tropomyosin (4).

Alternate Names

CALD1, CDM, HCAD, LCAD, NAG22

Gene Symbol

CALD1

UniProt

Additional Caldesmon/CALD1 Products

Product Documents for Caldesmon/CALD1 Antibody (CALD1/1424R)

Certificate of Analysis

To download a Certificate of Analysis, please enter a lot number in the search box below.

Product Specific Notices for Caldesmon/CALD1 Antibody (CALD1/1424R)

This product is for research use only and is not approved for use in humans or in clinical diagnosis. Primary Antibodies are guaranteed for 1 year from date of receipt.

Loading...
Loading...
Loading...
Loading...