Skip to main content

Calbindin D-28K Antibody - BSA Free

Novus Biologicals, part of Bio-Techne | Catalog # NBP2-38798

Novus Biologicals, part of Bio-Techne
Catalog #
Availability
Size / Price
Qty
Loading...
NBP2-38798
NBP2-38798-25ul

Key Product Details

Validated by

Orthogonal Validation, Independent Antibodies

Species Reactivity

Validated:

Human

Predicted:

Mouse (100%), Rat (100%). Backed by our 100% Guarantee.

Applications

Immunohistochemistry, Immunohistochemistry-Paraffin, Western Blot

Label

Unconjugated

Antibody Source

Polyclonal Rabbit IgG

Format

BSA Free

Concentration

Concentrations vary lot to lot. See vial label for concentration. If unlisted please contact technical services.

Product Specifications

Immunogen

This antibody was developed against a recombinant protein corresponding to amino acids: IETEELKNFLKDLLEKANKTVDDTKLAEYTDLMLKLFDSNNDGKLELT

Clonality

Polyclonal

Host

Rabbit

Isotype

IgG

Description

Novus Biologicals Rabbit Calbindin D-28K Antibody - BSA Free (NBP2-38798) is a polyclonal antibody validated for use in IHC and WB. All Novus Biologicals antibodies are covered by our 100% guarantee.

Scientific Data Images for Calbindin D-28K Antibody - BSA Free

Immunohistochemistry-Paraffin: Calbindin D-28K Antibody [NBP2-38798]

Immunohistochemistry-Paraffin: Calbindin D-28K Antibody [NBP2-38798]

Immunohistochemistry-Paraffin: Calbindin D-28K Antibody [NBP2-38798] - Staining in human kidney and lymph node tissues using anti-CALB1 antibody. Corresponding CALB1 RNA-seq data are presented for the same tissues.
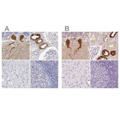
Immunohistochemistry-Paraffin: Calbindin D-28K Antibody [NBP2-38798]

Immunohistochemistry-Paraffin: Calbindin D-28K Antibody [NBP2-38798]

Immunohistochemistry-Paraffin: Calbindin D-28K Antibody [NBP2-38798] - Staining of human cerebellum, kidney, liver and lymph node using Anti-CALB1 antibody NBP2-38798 (A) shows similar protein distribution across tissues to independent antibody NBP1-86664 (B).
Western Blot: Calbindin D-28K Antibody [NBP2-38798]

Western Blot: Calbindin D-28K Antibody [NBP2-38798]

Western Blot: Calbindin D-28K Antibody [NBP2-38798] - Lane 1: Marker [kDa] 250, 130, 95, 72, 55, 36, 28, 17, 10. Lane 2: Human cell line RT-4. Lane 3: Human cell line U-251MG

Applications for Calbindin D-28K Antibody - BSA Free

Application
Recommended Usage

Immunohistochemistry

1:1000 - 1:2500

Immunohistochemistry-Paraffin

1:1000 - 1:2500

Western Blot

0.04-0.4 ug/ml
Application Notes
For IHC-Paraffin, HIER pH 6 retrieval is recommended.

Formulation, Preparation, and Storage

Purification

Immunogen affinity purified

Formulation

PBS (pH 7.2) and 40% Glycerol

Format

BSA Free

Preservative

0.02% Sodium Azide

Concentration

Concentrations vary lot to lot. See vial label for concentration. If unlisted please contact technical services.

Shipping

The product is shipped with polar packs. Upon receipt, store it immediately at the temperature recommended below.

Stability & Storage

Store at 4C short term. Aliquot and store at -20C long term. Avoid freeze-thaw cycles.

Background: Calbindin D-28K

Calbindin D28k is a member of a large family of intracellular calcium-binding proteins, containing EF-hand calcium binding motifs, and related to calmodulin and troponin-C. The biological roles of Calbindin D28k include calcium regulation and calcium-dependent signalling in neurons and during development. Decreases in Calbindin D28k abundance, or loss of Calbindin D28k immunoreactivity, is found in models of neurological disorders such as epilepsy, and in neurodegenerative diseases. Calbindin antibody is often used as a marker for cerebellum Purkinje cells.

Alternate Names

CAB27, CALB, calbindin, calbindin 1, (28kD), calbindin 1, 28kDa, Calbindin D28, D-28K, RTVL-H protein, Vitamin D-dependent calcium-binding protein, avian-type

Gene Symbol

CALB1

UniProt

Additional Calbindin D-28K Products

Product Documents for Calbindin D-28K Antibody - BSA Free

Certificate of Analysis

To download a Certificate of Analysis, please enter a lot number in the search box below.

Product Specific Notices for Calbindin D-28K Antibody - BSA Free

This product is for research use only and is not approved for use in humans or in clinical diagnosis. Primary Antibodies are guaranteed for 1 year from date of receipt.

Loading...
Loading...
Loading...
Loading...
Loading...