Skip to main content

Calbindin D-28K Antibody (CL15059) - Azide and BSA Free

Novus Biologicals, part of Bio-Techne | Catalog # NBP3-44160

Novus Biologicals, part of Bio-Techne

Key Product Details

Validated by

Orthogonal Validation

Species Reactivity

Human, Mouse, Rat

Applications

Immunohistochemistry-Paraffin, Western Blot

Label

Unconjugated

Antibody Source

Monoclonal Mouse IgG1 Clone # CL15059

Format

Azide and BSA Free

Concentration

LYOPH mg/ml

Product Specifications

Immunogen

This antibody was generated using a recombinant protein sequence of P05937, with the exact immunogen sequence remaining proprietary.

Clonality

Monoclonal

Host

Mouse

Isotype

IgG1

Description

Novus Biologicals Mouse Calbindin D-28K Antibody (CL15059) - Azide and BSA Free (NBP3-43647) is a monoclonal antibody validated for use in IHC and WB. All Novus Biologicals antibodies are covered by our 100% guarantee.

Scientific Data Images for Calbindin D-28K Antibody (CL15059) - Azide and BSA Free

Calbindin D-28K Antibody (CL15059) - Azide and BSA Free Immunohistochemistry-Paraffin: Calbindin D-28K Antibody [NBP3-44160]

Immunohistochemistry-Paraffin: Calbindin D-28K Antibody [NBP3-44160]

Analysis in human kidney and prostate tissues using NBP3-44160 antibody. Corresponding Calbindin D-28K RNA-seq data are presented for the same tissues.
Calbindin D-28K Antibody (CL15059) - Azide and BSA Free Immunohistochemistry-Paraffin: Calbindin D-28K Antibody [NBP3-44160]

Immunohistochemistry-Paraffin: Calbindin D-28K Antibody [NBP3-44160]

Staining of human cerebellum shows strong cytoplasmic positivity in Purkinje cells.
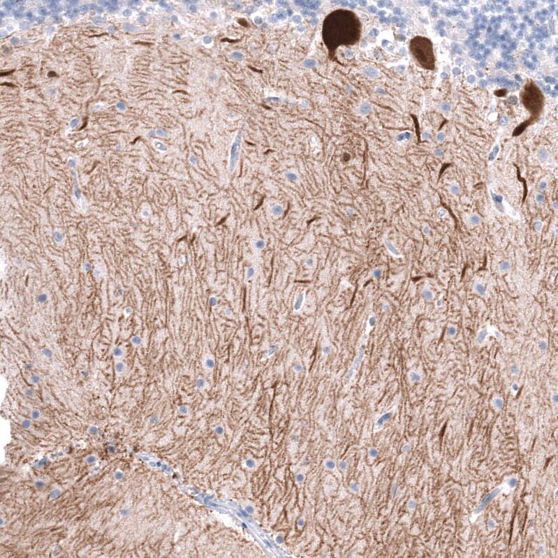
Calbindin D-28K Antibody (CL15059) - Azide and BSA Free Immunohistochemistry-Paraffin: Calbindin D-28K Antibody [NBP3-44160]

Immunohistochemistry-Paraffin: Calbindin D-28K Antibody [NBP3-44160]

Staining of human kidney shows strong cytoplasmic-membranous positivity in cells in tubules.

Applications for Calbindin D-28K Antibody (CL15059) - Azide and BSA Free

Application
Recommended Usage

Immunohistochemistry-Paraffin

1:5000 - 1:10000

Western Blot

1 ug/ml
Application Notes
For IHC-Paraffin, HIER pH 6 retrieval is recommended.

Formulation, Preparation, and Storage

Purification

Protein A purified

Reconstitution

Centrifuge the vial of lyophilized antibody at 12,000 x g for 20 seconds. Reconstitute by adding sterile, distilled water to achieve a final antibody concentration of 1mg/ml.

Formulation

Lyophilized from a 0.2 um filtered solution in PBS with Trehalose

Format

Azide and BSA Free

Preservative

No Preservative

Concentration

LYOPH mg/ml

Shipping

The product is shipped at ambient temperature. Upon receipt, store it immediately at the temperature recommended below.

Stability & Storage

Store at 4C short term. Aliquot and store at -20C long term. Avoid freeze-thaw cycles.

Background: Calbindin D-28K

Calbindin D28k is a member of a large family of intracellular calcium-binding proteins, containing EF-hand calcium binding motifs, and related to calmodulin and troponin-C. The biological roles of Calbindin D28k include calcium regulation and calcium-dependent signalling in neurons and during development. Decreases in Calbindin D28k abundance, or loss of Calbindin D28k immunoreactivity, is found in models of neurological disorders such as epilepsy, and in neurodegenerative diseases. Calbindin antibody is often used as a marker for cerebellum Purkinje cells.

Alternate Names

CAB27, CALB, calbindin, calbindin 1, (28kD), calbindin 1, 28kDa, Calbindin D28, D-28K, RTVL-H protein, Vitamin D-dependent calcium-binding protein, avian-type

Gene Symbol

CALB1

Additional Calbindin D-28K Products

Product Documents for Calbindin D-28K Antibody (CL15059) - Azide and BSA Free

Certificate of Analysis

To download a Certificate of Analysis, please enter a lot number in the search box below.

Product Specific Notices for Calbindin D-28K Antibody (CL15059) - Azide and BSA Free

This product is for research use only and is not approved for use in humans or in clinical diagnosis. Primary Antibodies are guaranteed for 1 year from date of receipt.

Loading...
Loading...
Loading...
Loading...
Loading...
Loading...