Cadherin-17 Antibody (rCDH17/8512) - BSA Free
Novus Biologicals, part of Bio-Techne | Catalog # NBP3-20888
Recombinant Monoclonal Antibody
Conjugate
Catalog #
Key Product Details
Species Reactivity
Human
Applications
Immunohistochemistry-Paraffin
Label
Unconjugated
Antibody Source
Recombinant Monoclonal Mouse IgG1 kappa Clone # rCDH17/8512
Format
BSA Free
Concentration
1 mg/ml
Product Specifications
Immunogen
Recombinant fragment (around aa 242-418) of human Cadherin-17 protein (CDH17) (exact sequence is proprietary)
Localization
Cell Surface. Cytoplasm.
Clonality
Monoclonal
Host
Mouse
Isotype
IgG1 kappa
Description
Positive Controls: HepG2 or HT29 cells. Stomach, Small Intestine, Colon or liver
Antibody with azide - store at 2 to 8C. Antibody without azide - store at -20 to -80C. Non-hazardous. No MSDS required.
Antibody with azide - store at 2 to 8C. Antibody without azide - store at -20 to -80C. Non-hazardous. No MSDS required.
Scientific Data Images for Cadherin-17 Antibody (rCDH17/8512) - BSA Free
Cadherin-17 Antibody (rCDH17/8512)
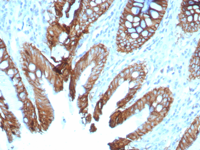
Formalin-fixed, paraffin-embedded human colon stained with Cadherin-17 antibody (rCDH17/8512). HIER: Tris/EDTA, pH9.0, 45min. Secondary: HRP-polymer, 30min. DAB, 5min.Western Blot: Cadherin-17 Antibody (rCDH17/8512) - BSA Free [NBP3-20888] -
Western Blot Analysis of human small intestine tissue lysate using Cadherin-17 Antibody (rCDH17/8512) - BSA Free.Applications for Cadherin-17 Antibody (rCDH17/8512) - BSA Free
Application
Recommended Usage
Immunohistochemistry-Paraffin
1-2 ug/ml
Application Notes
Immunohistochemistry (Formalin-fixed): 1-2ug/ml for 30 minutes. at RT. Staining of formalin-fixed tissues requires heating tissue sections in 10mM Tris with 1mM EDTA, pH 9.0, for 45 min at 95C followed by cooling at RT for 20 minutes.
Optimal dilution for a specific application should be determined.
Optimal dilution for a specific application should be determined.
Formulation, Preparation, and Storage
Purification
Protein A purified
Formulation
10mM PBS
Format
BSA Free
Preservative
0.05% Sodium Azide
Concentration
1 mg/ml
Shipping
The product is shipped with polar packs. Upon receipt, store it immediately at the temperature recommended below.
Stability & Storage
Store at -20 to -70C. Avoid freeze-thaw cycles.
Background: Cadherin-17
Alternate Names
Cadherin17, CDH17
Gene Symbol
CDH17
Additional Cadherin-17 Products
Product Documents for Cadherin-17 Antibody (rCDH17/8512) - BSA Free
Product Specific Notices for Cadherin-17 Antibody (rCDH17/8512) - BSA Free
This product is for research use only and is not approved for use in humans or in clinical diagnosis. Primary Antibodies are guaranteed for 1 year from date of receipt.
Loading...
Loading...
Loading...
Loading...