Skip to main content

CABC1 Antibody - BSA Free

Novus Biologicals, part of Bio-Techne | Catalog # NBP2-15659

Novus Biologicals, part of Bio-Techne
Catalog #
Availability
Size / Price
Qty
Loading...
NBP2-15659

Key Product Details

Species Reactivity

Validated:

Human, Mouse

Predicted:

Bovine (96%), Rat (93%), Rhesus Macaque (99%). Backed by our 100% Guarantee.

Applications

Immunohistochemistry, Immunohistochemistry-Paraffin, Western Blot, Immunocytochemistry/ Immunofluorescence

Label

Unconjugated

Antibody Source

Polyclonal Rabbit IgG

Format

BSA Free

Concentration

Concentrations vary lot to lot. See vial label for concentration. If unlisted please contact technical services.

Product Specifications

Immunogen

Recombinant protein encompassing a sequence within the center region of human CABC1. The exact sequence is proprietary.

Localization

Mitochondrion

Clonality

Polyclonal

Host

Rabbit

Isotype

IgG

Theoretical MW

72 kDa.
Disclaimer note: The observed molecular weight of the protein may vary from the listed predicted molecular weight due to post translational modifications, post translation cleavages, relative charges, and other experimental factors.

Description

Novus Biologicals Rabbit CABC1 Antibody - BSA Free (NBP2-15659) is a polyclonal antibody validated for use in IHC, WB and ICC/IF. All Novus Biologicals antibodies are covered by our 100% guarantee.

Scientific Data Images for CABC1 Antibody - BSA Free

Western Blot: CABC1 Antibody [NBP2-15659]

Western Blot: CABC1 Antibody [NBP2-15659]

Western Blot: CABC1 Antibody [NBP2-15659] - Sample (50 ug of whole cell lysate) A: Mouse Heart, 7. 5% SDS PAGE gel, diluted at 1:1000.
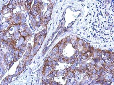
Immunohistochemistry-Paraffin: CABC1 Antibody [NBP2-15659]

Immunohistochemistry-Paraffin: CABC1 Antibody [NBP2-15659]

Immunohistochemistry-Paraffin: CABC1 Antibody [NBP2-15659] - Analysis of paraffin-embedded BREAST CA, using antibody at 1:500 dilution.
Western Blot: CABC1 Antibody [NBP2-15659]

Western Blot: CABC1 Antibody [NBP2-15659]

Western Blot: CABC1 Antibody [NBP2-15659] - Sample (30 ug of whole cell lysate) A: IMR32 7. 5% SDS PAGE gel, diluted at 1:1000.

Applications for CABC1 Antibody - BSA Free

Application
Recommended Usage

Immunocytochemistry/ Immunofluorescence

1:100-1:1000

Immunohistochemistry

1:100-1:1000

Immunohistochemistry-Paraffin

1:100-1:1000

Western Blot

1:500-1:3000

Formulation, Preparation, and Storage

Purification

Antigen Affinity-purified

Formulation

0.1M Tris, 0.1M Glycine, 20% Glycerol

Format

BSA Free

Preservative

0.01% Thimerosal

Concentration

Concentrations vary lot to lot. See vial label for concentration. If unlisted please contact technical services.

Shipping

The product is shipped with polar packs. Upon receipt, store it immediately at the temperature recommended below.

Stability & Storage

Aliquot and store at -20C or -80C. Avoid freeze-thaw cycles.

Background: CABC1

This gene encodes a mitochondrial protein similar to yeast ABC1, which functions in an electron-transferring membrane protein complex in the respiratory chain. It is not related to the family of ABC transporter proteins. Expression of this gene is induced by the tumor suppressor p53 and in response to DNA damage, and inhibiting its expression partially suppresses p53-induced apoptosis. Alternatively spliced transcript variants have been found; however, their full-length nature has not been determined. [provided by RefSeq]

Alternate Names

aarF domain containing kinase 3, chaperone, ABC1 activity of bc1 complex homolog, chaperone, ABC1 activity of bc1 complex homolog (S. pombe), chaperone, ABC1 activity of bc1 complex like (S. pombe), chaperone-ABC1 (activity of bc1 complex, S.pombe)-like, Chaperone-ABC1-like, coenzyme Q8 homolog, EC 2.7.11, EC 2.7.11.-, MGC4849, mitochondrial, SCAR9

Gene Symbol

COQ8A

UniProt

Additional CABC1 Products

Product Documents for CABC1 Antibody - BSA Free

Certificate of Analysis

To download a Certificate of Analysis, please enter a lot number in the search box below.

Product Specific Notices for CABC1 Antibody - BSA Free

This product is for research use only and is not approved for use in humans or in clinical diagnosis. Primary Antibodies are guaranteed for 1 year from date of receipt.

Loading...
Loading...
Loading...
Loading...

⚠ WARNING: This product can expose you to chemicals including mercury, which is known to the State of California to cause reproductive toxicity with developmental effects.  For more information go to www.P65Warnings.ca.gov.