Skip to main content

C9orf72 Antibody (GT1553-RB) - Azide and BSA Free

Novus Biologicals, part of Bio-Techne | Catalog # NBP3-13658

Recombinant Monoclonal Antibody
Novus Biologicals, part of Bio-Techne
Catalog #
Availability
Size / Price
Qty
Loading...
NBP3-13658

Key Product Details

Validated by

Knockout/Knockdown

Species Reactivity

Human, Mouse, Rat

Applications

Immunocytochemistry/ Immunofluorescence, Immunohistochemistry, Immunohistochemistry-Paraffin, Western Blot

Label

Unconjugated

Antibody Source

Monoclonal Rabbit IgG Clone # GT1553-RB

Format

Azide and BSA Free

Concentration

Concentrations vary lot to lot. See vial label for concentration. If unlisted please contact technical services.

Product Specifications

Immunogen

Recombinant protein encompassing a sequence within the N-terminus region of human C9orf72. The exact sequence is proprietary.

Clonality

Monoclonal

Host

Rabbit

Isotype

IgG

Theoretical MW

54 kDa.
Disclaimer note: The observed molecular weight of the protein may vary from the listed predicted molecular weight due to post translational modifications, post translation cleavages, relative charges, and other experimental factors.

Description

Centrifuge briefly prior to opening.

Scientific Data Images for C9orf72 Antibody (GT1553-RB) - Azide and BSA Free

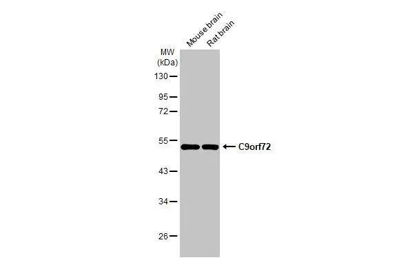
Western Blot: C9orf72 Antibody (GT1553-RB) [NBP3-13658]

Western Blot: C9orf72 Antibody (GT1553-RB) [NBP3-13658]

Western Blot: C9orf72 Antibody (GT1553-RB) [NBP3-13658] - Various whole cell extracts (30 ug) were separated by 10% SDS-PAGE, and the membrane was blotted with C9orf72 antibody [GT1553-RB] (NBP3-13658) diluted at 1:500. The HRP-conjugated anti-rabbit IgG antibody (NBP2-19301) was used to detect the primary antibody.
C9orf72 Antibody (GT1553-RB)

Western Blot: C9orf72 Antibody (GT1553-RB) [NBP3-13658] -

Western Blot: C9orf72 Antibody (GT1553-RB) [NBP3-13658] - Non-transfected (–) and transfected (+) 293T whole cell extracts (30 ug) were separated by 10% SDS-PAGE, and the membrane was blotted with C9orf72 antibody [1553-RB] diluted at 1:5000. The HRP-conjugated anti-rabbit IgG antibody (NBP2-19301 was used to detect the primary antibody.
C9orf72 Antibody (GT1553-RB)

ICC/IF-C9orf72 Antibody (GT1553-RB) [NBP3-13658] -

C9orf72 Antibody (1553-RB) [NBP3-13658] - DIV10 rat E18 primary hippocampal neuron cells were fixed in 4% paraformaldehyde at RT for 15 min.Green: C9orf72 stained by C9orf72 antibody [1553-RB] diluted at 1:250.Red: Tau, a cytoskeleton marker, stained by Tau antibody [287] diluted at 1:500.Blue: Fluoroshield with DAPI.

Applications for C9orf72 Antibody (GT1553-RB) - Azide and BSA Free

Application
Recommended Usage

Immunocytochemistry/ Immunofluorescence

Assay dependent

Immunohistochemistry

Assay dependent

Immunohistochemistry-Paraffin

Assay dependent

Western Blot

1:500-1:3000

Formulation, Preparation, and Storage

Purification

Protein A purified

Formulation

PBS

Format

Azide and BSA Free

Preservative

No Preservative

Concentration

Concentrations vary lot to lot. See vial label for concentration. If unlisted please contact technical services.

Shipping

The product is shipped with polar packs. Upon receipt, store it immediately at the temperature recommended below.

Stability & Storage

Store at 4C short term. Aliquot and store at -20C long term. Avoid freeze-thaw cycles.

Background: C9orf72

Long Name

Chromosome 9 Open Reading Frame 72

Alternate Names

DENNL72, FTDALS1

Gene Symbol

C9orf72

Additional C9orf72 Products

Product Documents for C9orf72 Antibody (GT1553-RB) - Azide and BSA Free

Certificate of Analysis

To download a Certificate of Analysis, please enter a lot number in the search box below.

Product Specific Notices for C9orf72 Antibody (GT1553-RB) - Azide and BSA Free

This product is for research use only and is not approved for use in humans or in clinical diagnosis. Primary Antibodies are guaranteed for 1 year from date of receipt.

Loading...
Loading...
Loading...
Loading...