Skip to main content

C-Peptide Antibody (HL1158) - Azide and BSA Free

Novus Biologicals, part of Bio-Techne | Catalog # NBP3-25420

Recombinant Monoclonal Antibody
Novus Biologicals, part of Bio-Techne
Catalog #
Availability
Size / Price
Qty
Loading...
NBP3-25420

Key Product Details

Species Reactivity

Validated:

Human, Mouse, Rat

Predicted:

Chimpanzee (100%). Backed by our 100% Guarantee.

Applications

Immunohistochemistry, Immunohistochemistry-Paraffin, ELISA

Label

Unconjugated

Antibody Source

Recombinant Monoclonal Rabbit IgG Clone # HL1158 expressed in HEK293

Format

Azide and BSA Free

Concentration

Concentrations vary lot to lot. See vial label for concentration. If unlisted please contact technical services.

Product Specifications

Immunogen

Synthetic peptide corresponding to human C-Peptide.

Clonality

Monoclonal

Host

Rabbit

Isotype

IgG

Description

Novus Biologicals Rabbit C-Peptide Antibody (HL1158) - Azide and BSA Free (NBP3-25420) is a recombinant monoclonal antibody validated for use in IHC and ELISA. All Novus Biologicals antibodies are covered by our 100% guarantee.

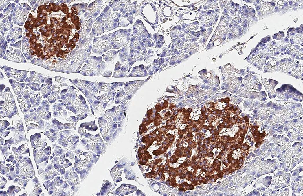
Scientific Data Images for C-Peptide Antibody (HL1158) - Azide and BSA Free

C-Peptide Antibody (HL1158) - Azide and BSA Free

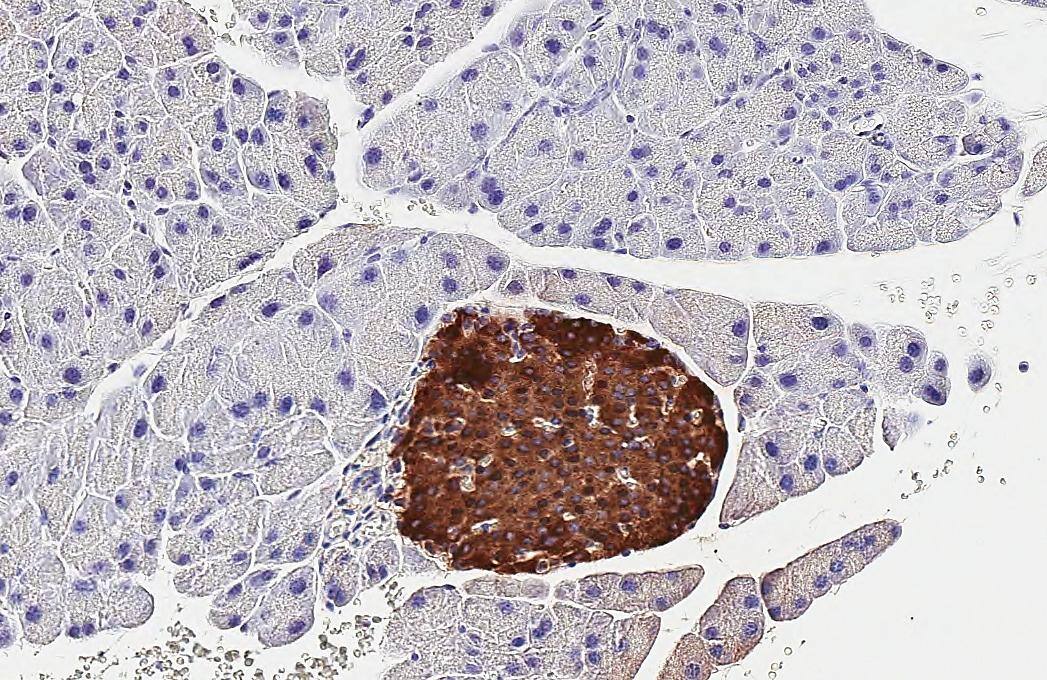
Immunohistochemistry-Paraffin: C-Peptide Antibody (HL1158) - Azide and BSA Free [NBP3-25420] -

Immunohistochemistry-Paraffin: C-Peptide Antibody (HL1158) - Azide and BSA Free [NBP3-25420] - C-Peptide antibody [HL1158] detects secreted C-Peptide protein by immunohistochemical analysis. Sample: Paraffin-embedded mouse pancreas. C-Peptide stained by C-Peptide antibody [HL1158] (NBP3-25420) diluted at 1:10000. Antigen Retrieval: Citrate buffer, pH 6.0, 15 min
C-Peptide Antibody (HL1158) - Azide and BSA Free

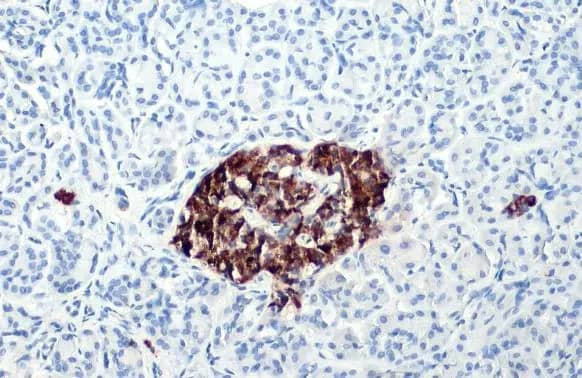
Immunohistochemistry-Paraffin: C-Peptide Antibody (HL1158) - Azide and BSA Free [NBP3-25420] -

Immunohistochemistry-Paraffin: C-Peptide Antibody (HL1158) - Azide and BSA Free [NBP3-25420] - C-Peptide antibody [HL1158] detects secreted C-Peptide protein by immunohistochemical analysis. Sample: Paraffin-embedded rat pancreas. C-Peptide stained by C-Peptide antibody [HL1158] (NBP3-25420) diluted at 1:10000. Antigen Retrieval: Citrate buffer, pH 6.0, 15 min
C-Peptide Antibody (HL1158) - Azide and BSA Free

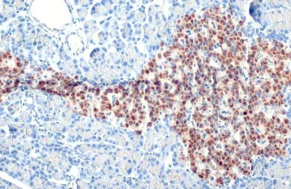
Immunohistochemistry-Paraffin: C-Peptide Antibody (HL1158) - Azide and BSA Free [NBP3-25420] -

Immunohistochemistry-Paraffin: C-Peptide Antibody (HL1158) - Azide and BSA Free [NBP3-25420] - C-Peptide antibody [HL1158] detects secreted C-Peptide protein by immunohistochemical analysis. Sample: Paraffin-embedded human pancreas. C-Peptide stained by C-Peptide antibody [HL1158] (NBP3-25420) diluted at 1:10000. Antigen Retrieval: Citrate buffer, pH 6.0, 15 min

Applications for C-Peptide Antibody (HL1158) - Azide and BSA Free

Application
Recommended Usage

Immunohistochemistry-Paraffin

1:100-1:10000

Formulation, Preparation, and Storage

Purification

Protein A purified

Formulation

PBS

Format

Azide and BSA Free

Preservative

No Preservative

Concentration

Concentrations vary lot to lot. See vial label for concentration. If unlisted please contact technical services.

Shipping

The product is shipped with polar packs. Upon receipt, store it immediately at the temperature recommended below.

Stability & Storage

Store at 4C short term. Aliquot and store at -20C long term. Avoid freeze-thaw cycles.

Background: C-Peptide

C Peptide is part of the molecule of Proinsulin, that consists of three parts: C Peptide and two long strands of amino acids (called the alpha and beta chains) that later become linked together to form the insulin molecule. From every molecule of proinsulin, one molecule of insulin plus one molecule of C Peptide are produced. C peptide is released into the blood stream in equal amounts to insulin. A test of C peptide levels will show how much insulin the body is making. Insulin decreases blood glucose concentration. It increases cell permeability to monosaccharides, amino acids and fatty acids. It accelerates glycolysis, the pentose phosphate cycle, and glycogen synthesis in liver.

Long Name

Proinsulin C-Peptide

Alternate Names

C-P, Insulin C-Peptide, Proinsulin C-Peptide

Gene Symbol

INS

Additional C-Peptide Products

Product Documents for C-Peptide Antibody (HL1158) - Azide and BSA Free

Certificate of Analysis

To download a Certificate of Analysis, please enter a lot number in the search box below.

Product Specific Notices for C-Peptide Antibody (HL1158) - Azide and BSA Free

This product is for research use only and is not approved for use in humans or in clinical diagnosis. Primary Antibodies are guaranteed for 1 year from date of receipt.

Loading...
Loading...
Loading...
Loading...