Skip to main content

BXDC5 Antibody - BSA Free

Novus Biologicals, part of Bio-Techne | Catalog # NBP1-89915

Novus Biologicals, part of Bio-Techne
Catalog #
Availability
Size / Price
Qty
Loading...
NBP1-89915
NBP1-89915-25ul

Key Product Details

Species Reactivity

Human

Applications

Immunohistochemistry, Immunohistochemistry-Paraffin, Western Blot, Immunocytochemistry/ Immunofluorescence

Label

Unconjugated

Antibody Source

Polyclonal Rabbit IgG

Format

BSA Free

Concentration

Concentrations vary lot to lot. See vial label for concentration. If unlisted please contact technical services.

Product Specifications

Immunogen

This antibody was developed against Recombinant Protein corresponding to amino acids: SGKKSLKRKAAAEELQEAAGAGDGATENGVQPPKAAAFPPGFSISEIKNKQRRHLMFTRWKQQQRKEKLAAKKKLKKEREALGDKAPPKPVPKTID

Clonality

Polyclonal

Host

Rabbit

Isotype

IgG

Scientific Data Images for BXDC5 Antibody - BSA Free

Immunocytochemistry/ Immunofluorescence: BXDC5 Antibody [NBP1-89915]

Immunocytochemistry/ Immunofluorescence: BXDC5 Antibody [NBP1-89915]

Immunocytochemistry/Immunofluorescence: BXDC5 Antibody [NBP1-89915] - Staining of human cell line SK-MEL-30 shows localization to nucleoli. Antibody staining is shown in green.
BXDC5 Antibody - BSA Free Immunohistochemistry-Paraffin: BXDC5 Antibody - BSA Free [NBP1-89915]

Immunohistochemistry-Paraffin: BXDC5 Antibody - BSA Free [NBP1-89915]

Staining of human cerebral cortex shows strong positivity in nucleoli in neurons.
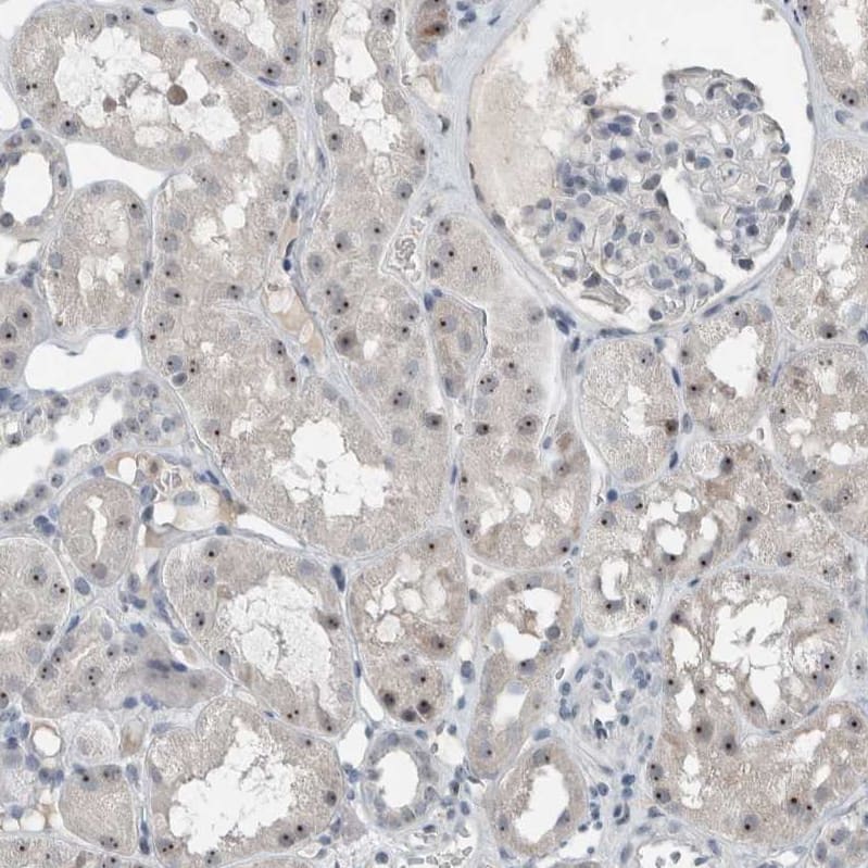
BXDC5 Antibody - BSA Free Immunohistochemistry-Paraffin: BXDC5 Antibody - BSA Free [NBP1-89915]

Immunohistochemistry-Paraffin: BXDC5 Antibody - BSA Free [NBP1-89915]

Staining of human kidney shows strong positivity in nucleoli in cells in tubules.

Applications for BXDC5 Antibody - BSA Free

Application
Recommended Usage

Immunocytochemistry/ Immunofluorescence

0.25-2 ug/ml

Immunohistochemistry

1:20 - 1:50

Immunohistochemistry-Paraffin

1:20 - 1:50

Western Blot

0.04-0.4 ug/ml
Application Notes
For IHC-Paraffin, HIER pH 6 retrieval is recommended. Immunocytochemistry/Immunofluorescence Fixation Permeabilization: Use PFA/Triton X-100.

Formulation, Preparation, and Storage

Purification

Affinity purified

Formulation

PBS (pH 7.2) and 40% Glycerol

Format

BSA Free

Preservative

0.02% Sodium Azide

Concentration

Concentrations vary lot to lot. See vial label for concentration. If unlisted please contact technical services.

Shipping

The product is shipped with polar packs. Upon receipt, store it immediately at the temperature recommended below.

Stability & Storage

Store at 4C short term. Aliquot and store at -20C long term. Avoid freeze-thaw cycles.

Background: BXDC5

Alternate Names

2310066N05Rik, BBR140, brix domain containing 5, Brix domain-containing protein 5, BXDC5, DKFZp761G0415, DKFZp761M0215, FLJ12475, Ribosome biogenesis protein RPF1, ribosome production factor 1, ribosome production factor 1 homolog (S. cerevisiae), RNA processing factor 1 (RPF1), RP11-118B23.1

Gene Symbol

RPF1

Additional BXDC5 Products

Product Documents for BXDC5 Antibody - BSA Free

Certificate of Analysis

To download a Certificate of Analysis, please enter a lot number in the search box below.

Product Specific Notices for BXDC5 Antibody - BSA Free

This product is for research use only and is not approved for use in humans or in clinical diagnosis. Primary Antibodies are guaranteed for 1 year from date of receipt.

Loading...
Loading...
Loading...
Loading...