Skip to main content

BSND Antibody - BSA Free

Novus Biologicals, part of Bio-Techne | Catalog # NBP2-62634

Novus Biologicals, part of Bio-Techne
Catalog #
Availability
Size / Price
Qty
Loading...
NBP2-62634
NBP2-62634-25ul

Key Product Details

Validated by

Orthogonal Validation, Independent Antibodies

Species Reactivity

Human

Applications

Immunohistochemistry, Immunohistochemistry-Paraffin

Label

Unconjugated

Antibody Source

Polyclonal Rabbit IgG

Format

BSA Free

Concentration

Concentrations vary lot to lot. See vial label for concentration. If unlisted please contact technical services.

Product Specifications

Immunogen

This antibody was developed against a recombinant protein corresponding to amino acids: QPKLGTSDGGEGGPGDVQAWMEAAVVIHKGSDESEGERRLTQSWPGPLACPQGPAPLASFQDDLDMDSSEGSSPNASPHDREEACS

Clonality

Polyclonal

Host

Rabbit

Isotype

IgG

Description

Novus Biologicals Rabbit BSND Antibody - BSA Free (NBP2-62634) is a polyclonal antibody validated for use in IHC. All Novus Biologicals antibodies are covered by our 100% guarantee.

Scientific Data Images for BSND Antibody - BSA Free

Immunohistochemistry-Paraffin: BSND Antibody [NBP2-62634]

Immunohistochemistry-Paraffin: BSND Antibody [NBP2-62634]

Immunohistochemistry-Paraffin: BSND Antibody [NBP2-62634] - Staining in human kidney and liver tissues using NBP2-62634 antibody. Corresponding BSND RNA-seq data are presented for the same tissues.
Immunohistochemistry-Paraffin: BSND Antibody [NBP2-62634]

Immunohistochemistry-Paraffin: BSND Antibody [NBP2-62634]

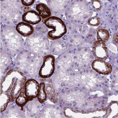
Immunohistochemistry-Paraffin: BSND Antibody [NBP2-62634] - Staining of human kidney shows moderate to strong membranous positivity in cells in distal tubules.
Immunohistochemistry-Paraffin: BSND Antibody [NBP2-62634]

Immunohistochemistry-Paraffin: BSND Antibody [NBP2-62634]

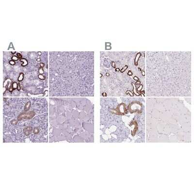
Immunohistochemistry-Paraffin: BSND Antibody [NBP2-62634] - Staining of human kidney, liver, salivary gland and skeletal muscle using Anti-BSND antibody NBP2-62634 (A) shows similar protein distribution across tissues to independent antibody NBP2-49101 (B).

Applications for BSND Antibody - BSA Free

Application
Recommended Usage

Immunohistochemistry

1:50 - 1:200

Immunohistochemistry-Paraffin

1:50 - 1:200
Application Notes
For IHC-Paraffin, HIER pH 6 retrieval is recommended.

Formulation, Preparation, and Storage

Purification

Protein A purified

Formulation

PBS (pH 7.2) and 40% Glycerol

Format

BSA Free

Preservative

0.02% Sodium Azide

Concentration

Concentrations vary lot to lot. See vial label for concentration. If unlisted please contact technical services.

Shipping

The product is shipped with polar packs. Upon receipt, store it immediately at the temperature recommended below.

Stability & Storage

Store at 4C short term. Aliquot and store at -20C long term. Avoid freeze-thaw cycles.

Background: BSND

BSND encodes an essential beta subunit for CLC chloride channels. These heteromeric channels localize to basolateral membranes of renal tubules and of potassium-secreting epithelia of the inner ear. Mutations in this gene have been associated with Bartter syndrome with sensorineural deafness.

Alternate Names

BARTMGC119284, Bartter syndrome, infantile, with sensorineural deafness (Barttin), barttin, deafness, autosomal recessive 73, DFNB73, MGC119283, MGC119285

Gene Symbol

BSND

Additional BSND Products

Product Documents for BSND Antibody - BSA Free

Certificate of Analysis

To download a Certificate of Analysis, please enter a lot number in the search box below.

Product Specific Notices for BSND Antibody - BSA Free

This product is for research use only and is not approved for use in humans or in clinical diagnosis. Primary Antibodies are guaranteed for 1 year from date of receipt.

Loading...
Loading...
Loading...
Loading...