Skip to main content

BSDC1 Antibody - BSA Free

Novus Biologicals, part of Bio-Techne | Catalog # NBP1-70421

Novus Biologicals, part of Bio-Techne
Catalog #
Availability
Size / Price
Qty
Loading...
NBP1-70421

Key Product Details

Species Reactivity

Human

Applications

Immunohistochemistry, Immunohistochemistry-Paraffin, Western Blot

Label

Unconjugated

Antibody Source

Polyclonal Rabbit IgG

Format

BSA Free

Concentration

1 mg/ml

Product Specifications

Immunogen

Synthetic peptides corresponding to BSDC1(BSD domain containing 1) The peptide sequence was selected from the N terminal of BSDC1. Peptide sequence VISDTFAPSPDKTIDCDVITLMGTPSGTAEPYDGTKARLYSLQSDPATYC. The peptide sequence for this immunogen was taken from within the described region.

Clonality

Polyclonal

Host

Rabbit

Isotype

IgG

Theoretical MW

17 kDa.
Disclaimer note: The observed molecular weight of the protein may vary from the listed predicted molecular weight due to post translational modifications, post translation cleavages, relative charges, and other experimental factors.

Description

The addition of 50% glycerol is optional for those storing this antibody at -20C and not aliquoting smaller units. However, please note that glycerol may interrupt some downstream antibody applications and should be added with caution.

Scientific Data Images for BSDC1 Antibody - BSA Free

Western Blot: BSDC1 Antibody [NBP1-70421]

Western Blot: BSDC1 Antibody [NBP1-70421]

Western Blot: BSDC1 Antibody [NBP1-70421] - Jurkat cell lysate, Antibody Titration: 2.5ug/ml
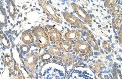
Immunohistochemistry-Paraffin: BSDC1 Antibody [NBP1-70421]

Immunohistochemistry-Paraffin: BSDC1 Antibody [NBP1-70421]

Immunohistochemistry-Paraffin: BSDC1 Antibody [NBP1-70421] - Human kidney Tissue, antibody concentration 4-8ug/ml. Cells with positive label: renal corpuscle cells (indicated with arrows) 400X magnification.

Applications for BSDC1 Antibody - BSA Free

Application
Recommended Usage

Immunohistochemistry

1:10-1:500

Immunohistochemistry-Paraffin

1:10-1:500

Western Blot

1.0 ug/ml

Formulation, Preparation, and Storage

Purification

Protein A purified

Formulation

PBS, 2% Sucrose

Format

BSA Free

Preservative

0.09% Sodium Azide

Concentration

1 mg/ml

Shipping

The product is shipped with polar packs. Upon receipt, store it immediately at the temperature recommended below.

Stability & Storage

Store at 4C short term. Aliquot and store at -20C long term. Avoid freeze-thaw cycles.

Background: BSDC1

The function remains unknown.The modification of proteins with ubiquitin is an important cellular mechanism for targeting abnormal or short-lived proteins for degradation. Ubiquitination involves at least three classes of enzymes: ubiquitin-activating enzymes (E1s), ubiquitin-conjugating enzymes (E2s) and ubiquitin-protein ligases (E3s). This gene encodes a member of the E2 ubiquitin-conjugating enzyme family. This enzyme is demonstrated to participate in the ubiquitination of p53, c-Fos, and the NF-kB precursor p105 in vitro. Two alternatively spliced transcript variants encoding distinct isoforms have been found for this gene.

Alternate Names

BSD domain containing 1, UNQ2494/PRO5781

Gene Symbol

BSDC1

Additional BSDC1 Products

Product Documents for BSDC1 Antibody - BSA Free

Certificate of Analysis

To download a Certificate of Analysis, please enter a lot number in the search box below.

Product Specific Notices for BSDC1 Antibody - BSA Free

This product is for research use only and is not approved for use in humans or in clinical diagnosis. Primary Antibodies are guaranteed for 1 year from date of receipt.

Loading...
Loading...
Loading...
Loading...