Skip to main content

BRMS1 Antibody (5Y8J3)

Novus Biologicals, part of Bio-Techne | Catalog # NBP3-33186

Novus Biologicals, part of Bio-Techne
Catalog #
Availability
Size / Price
Qty
Loading...
NBP3-33186-20ul
NBP3-33186-100ul

Key Product Details

Species Reactivity

Human, Mouse, Rat

Applications

Immunohistochemistry, Immunohistochemistry-Paraffin, Western Blot, ELISA

Label

Unconjugated

Antibody Source

Monoclonal Rabbit IgG Clone # 5Y8J3

Concentration

Please see the vial label for concentration. If unlisted please contact technical services.

Product Specifications

Immunogen

A synthetic peptide corresponding to a sequence within amino acids 1-100 of human BRMS1 (Q9HCU9).

Sequence:
MPVQPPSKDTEEMEAEGDSAAEMNGEEEESEEERSGSQTESEEESSEMDDEDYERRRSECVSEMLDLEKQFSELKEKLFRERLSQLRLRLEEVGAERAPE

Clonality

Monoclonal

Host

Rabbit

Isotype

IgG

Theoretical MW

28 kDa.
Disclaimer note: The observed molecular weight of the protein may vary from the listed predicted molecular weight due to post translational modifications, post translation cleavages, relative charges, and other experimental factors.

Description

Novus Biologicals Rabbit BRMS1 Antibody (5Y8J3) (NBP3-33186) is a monoclonal antibody validated for use in IHC, WB and ELISA. All Novus Biologicals antibodies are covered by our 100% guarantee.

Scientific Data Images for BRMS1 Antibody (5Y8J3)

BRMS1 Antibody (5Y8J3)

Immunohistochemistry: BRMS1 Antibody (5Y8J3) [NBP3-33186] -

Immunohistochemistry: BRMS1 Antibody (5Y8J3) [NBP3-33186] - Immunohistochemistry analysis of paraffin-embedded Mouse brain using BRMS1 Rabbit mAb at dilution of 1:100 (40x lens). High pressure antigen retrieval performed with 0.01M Citrate Bufferr (pH 6.0) prior to IHC staining.
BRMS1 Antibody (5Y8J3)

Immunohistochemistry: BRMS1 Antibody (5Y8J3) [NBP3-33186] -

Immunohistochemistry: BRMS1 Antibody (5Y8J3) [NBP3-33186] - Immunohistochemistry analysis of paraffin-embedded Human esophageal using BRMS1 Rabbit mAb at dilution of 1:100 (40x lens). High pressure antigen retrieval performed with 0.01M Citrate Bufferr (pH 6.0) prior to IHC staining.
BRMS1 Antibody (5Y8J3)

Immunohistochemistry: BRMS1 Antibody (5Y8J3) [NBP3-33186] -

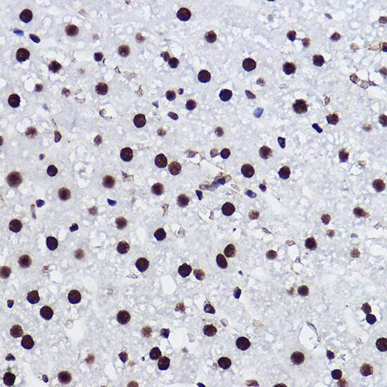
Immunohistochemistry: BRMS1 Antibody (5Y8J3) [NBP3-33186] - Immunohistochemistry analysis of paraffin-embedded Rat liver using BRMS1 Rabbit mAb at dilution of 1:100 (40x lens). High pressure antigen retrieval performed with 0.01M Citrate Bufferr (pH 6.0) prior to IHC staining.

Applications for BRMS1 Antibody (5Y8J3)

Application
Recommended Usage

ELISA

Recommended starting concentration is 1 ug/mL

Immunohistochemistry-Paraffin

1:50 - 1:200

Western Blot

1:500 - 1:1000

Formulation, Preparation, and Storage

Purification

Affinity purified

Formulation

PBS (pH 7.3), 50% glycerol, 0.05% BSA

Preservative

0.02% Sodium Azide

Concentration

Please see the vial label for concentration. If unlisted please contact technical services.

Shipping

The product is shipped with polar packs. Upon receipt, store it immediately at the temperature recommended below.

Stability & Storage

Store at -20C. Avoid freeze-thaw cycles.

Background: BRMS1

BRMS1 reduces the metastatic potential, but not the tumorogenicity, of human breast cancer and melanoma cell lines. The protein encoded by this gene localizes primarily to the nucleus and is a component of the mSin3a family of histone deacetylase complexes (HDAC). The protein contains two coiled-coil motifs and several imperfect leucine zipper motifs. Alternative splicing results in two transcript variants encoding different isoforms.

Alternate Names

breast cancer metastasis suppressor 1, breast cancer metastasis-suppressor 1, DKFZP564A063

Gene Symbol

BRMS1

Additional BRMS1 Products

Product Documents for BRMS1 Antibody (5Y8J3)

Certificate of Analysis

To download a Certificate of Analysis, please enter a lot number in the search box below.

Product Specific Notices for BRMS1 Antibody (5Y8J3)

This product is for research use only and is not approved for use in humans or in clinical diagnosis. Primary Antibodies are guaranteed for 1 year from date of receipt.

Loading...
Loading...
Loading...
Loading...