Skip to main content

BRE Antibody - BSA Free

Novus Biologicals, part of Bio-Techne | Catalog # NBP1-88359

Novus Biologicals, part of Bio-Techne
Catalog #
Availability
Size / Price
Qty
Loading...
NBP1-88359
NBP1-88359-25ul

Key Product Details

Species Reactivity

Validated:

Human

Predicted:

Mouse (99%), Rat (99%). Backed by our 100% Guarantee.

Applications

Immunohistochemistry, Immunohistochemistry-Paraffin, Western Blot, Immunocytochemistry/ Immunofluorescence

Label

Unconjugated

Antibody Source

Polyclonal Rabbit IgG

Format

BSA Free

Concentration

Concentrations vary lot to lot. See vial label for concentration. If unlisted please contact technical services.

Product Specifications

Immunogen

This antibody was developed against Recombinant Protein corresponding to amino acids: ALNRISPMLSPFISSVVRNGKVGLDATNCLRITDLKSGCTSLTPGPNCDRFKLHIPYAGETLKWDIIFNAQYPELPPDFIFGEDAEFLPDPSALQNLA

Clonality

Polyclonal

Host

Rabbit

Isotype

IgG

Description

Novus Biologicals Rabbit BRE Antibody - BSA Free (NBP1-88359) is a polyclonal antibody validated for use in IHC, WB and ICC/IF. All Novus Biologicals antibodies are covered by our 100% guarantee.

Scientific Data Images for BRE Antibody - BSA Free

Immunocytochemistry/ Immunofluorescence: BRE Antibody [NBP1-88359]

Immunocytochemistry/ Immunofluorescence: BRE Antibody [NBP1-88359]

Immunocytochemistry/Immunofluorescence: BRE Antibody [NBP1-88359] - Immunofluorescent staining of human cell line U-2 OS shows localization to cytosol.
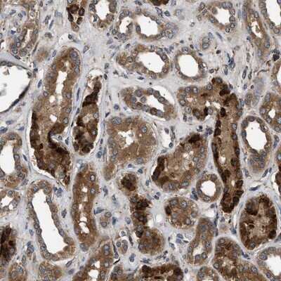
Immunohistochemistry-Paraffin: BRE Antibody [NBP1-88359]

Immunohistochemistry-Paraffin: BRE Antibody [NBP1-88359]

Immunohistochemistry-Paraffin: BRE Antibody [NBP1-88359] - Staining of human kidney shows strong positivity in tubules.
BRE Antibody - BSA Free Western Blot: BRE Antibody - BSA Free [NBP1-88359]

Western Blot: BRE Antibody - BSA Free [NBP1-88359]

Analysis in control (vector only transfected HEK293T lysate) and BRE over-expression lysate (Co-expressed with a C-terminal myc-DDK tag (~3.1 kDa) in mammalian HEK293T cells).

Applications for BRE Antibody - BSA Free

Application
Recommended Usage

Immunocytochemistry/ Immunofluorescence

0.25-2 ug/ml

Immunohistochemistry

1:20 - 1:50

Immunohistochemistry-Paraffin

1:20-1:50

Western Blot

0.04-0.4 ug/ml
Application Notes
For IHC-Paraffin, HIER pH 6 retrieval is recommended. Immunocytochemistry/Immunofluorescence Fixation Permeabilization: Use PFA/Triton X-100.

Formulation, Preparation, and Storage

Purification

Affinity purified

Formulation

PBS (pH 7.2) and 40% Glycerol

Format

BSA Free

Preservative

0.02% Sodium Azide

Concentration

Concentrations vary lot to lot. See vial label for concentration. If unlisted please contact technical services.

Shipping

The product is shipped with polar packs. Upon receipt, store it immediately at the temperature recommended below.

Stability & Storage

Store at 4C short term. Aliquot and store at -20C long term. Avoid freeze-thaw cycles.

Background: BRE

BRE is a component of the BRCA1-A complex, a complex that specifically recognizes 'Lys-63'-linked ubiquitinated histones H2A and H2AX at DNA lesions sites, leading to target the BRCA1-BARD1 heterodimer to sites of DNA damage at double-strand breaks (DSBs). The BRC

Alternate Names

brain and reproductive organ-expressed (TNFRSF1A modulator), BRCA1/BRCA2-containing complex subunit 45, subunit 4

Gene Symbol

BABAM2

Additional BRE Products

Product Documents for BRE Antibody - BSA Free

Certificate of Analysis

To download a Certificate of Analysis, please enter a lot number in the search box below.

Product Specific Notices for BRE Antibody - BSA Free

This product is for research use only and is not approved for use in humans or in clinical diagnosis. Primary Antibodies are guaranteed for 1 year from date of receipt.

Loading...
Loading...
Loading...
Loading...