Skip to main content

BRD3 Antibody (BLR069G)

Novus Biologicals, part of Bio-Techne | Catalog # NBP2-77359

Recombinant Monoclonal Antibody.
Novus Biologicals, part of Bio-Techne
Catalog #
Availability
Size / Price
Qty
Loading...
NBP2-77359

Key Product Details

Species Reactivity

Human

Applications

Immunocytochemistry/ Immunofluorescence, Immunohistochemistry, Immunohistochemistry-Paraffin, Immunoprecipitation, Western Blot

Label

Unconjugated

Antibody Source

Recombinant Monoclonal Rabbit IgG Clone # BLR069G

Concentration

Please see the vial label for concentration. If unlisted please contact technical services.

Product Specifications

Immunogen

Immunogen was a peptide representing a region between residue 676 and 726 of human Bromodomain-containing protein 3 using the numbering given in entry NP_031397.1 (Gene ID 8019).

Clonality

Monoclonal

Host

Rabbit

Isotype

IgG

Description

Novus Biologicals Rabbit BRD3 Antibody (BLR069G) (NBP2-77359) is a recombinant monoclonal antibody validated for use in IHC, WB, ICC/IF and IP. All Novus Biologicals antibodies are covered by our 100% guarantee.

Scientific Data Images for BRD3 Antibody (BLR069G)

Western Blot: BRD3 Antibody (BLR069G) [NBP2-77359]

Western Blot: BRD3 Antibody (BLR069G) [NBP2-77359]

Western Blot: BRD3 Antibody (BLR069G) [NBP2-77359] - Antibody: Rabbit anti-BRD3 recombinant monoclonal [BLR069G] (NBP2-77359). Secondary: HRP-conjugated goat anti-rabbit IgG. Lower Panel: Rabbit anti-GAPDH.
Immunocytochemistry: BRD3 Antibody (BLR069G) [NBP2-77359]

Immunocytochemistry: BRD3 Antibody (BLR069G) [NBP2-77359]

Immunocytochemistry: BRD3 Antibody (BLR069G) [NBP2-77359] - Antibody: Rabbit anti-BRD3 recombinant monoclonal [BLR069G] (NBP2-77359). Secondary: HRP-conjugated goat anti-rabbit IgG. Substrate: DAB.
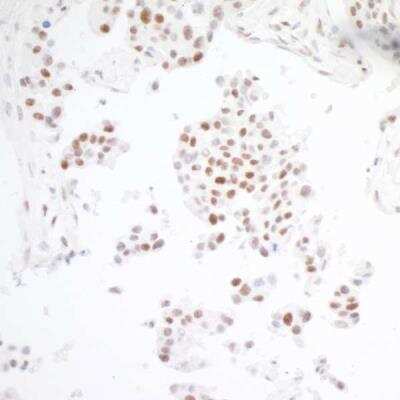
Immunohistochemistry: BRD3 Antibody (BLR069G) [NBP2-77359]

Immunohistochemistry: BRD3 Antibody (BLR069G) [NBP2-77359]

Immunohistochemistry: BRD3 Antibody (BLR069G) [NBP2-77359] - Detection of human BRD3 FFPE colon carcinoma by IHC. Antibody: Rabbit anti-BRD3 recombinant monoclonal [BLR069G] NBP2-77359. Secondary: DyLight® 594-conjugated goat anti-rabbit IgG. Counterstain: DAPI (blue).

Applications for BRD3 Antibody (BLR069G)

Application
Recommended Usage

Immunocytochemistry/ Immunofluorescence

1:100 - 1:500

Immunohistochemistry

1:100-1:500

Immunohistochemistry-Paraffin

1:100-1:500

Immunoprecipitation

20 ul/mg lysate

Western Blot

1:1000
Application Notes
Epitope retrieval with citrate buffer pH6.0 is recommended for FFPE cell sections.

Formulation, Preparation, and Storage

Purification

Affinity purified

Formulation

Borate Buffered Saline (BBS) pH 8.2 with 0.1% BSA

Preservative

0.09% Sodium Azide

Concentration

Please see the vial label for concentration. If unlisted please contact technical services.

Shipping

The product is shipped with polar packs. Upon receipt, store it immediately at the temperature recommended below.

Stability & Storage

Store at 2 - 8 C / 1 year from date of receipt

Background: BRD3

BRD3 was identified based on its homology to the gene encoding the RING3 protein, a serine/threonine kinase. The gene localizes to 9q34, a region which contains several major histocompatibility complex (MHC) genes. The function of the encoded protein is not known.

Long Name

Bromodomain Containing 3

Alternate Names

ORFX, RING3L

Gene Symbol

BRD3

Additional BRD3 Products

Product Documents for BRD3 Antibody (BLR069G)

Certificate of Analysis

To download a Certificate of Analysis, please enter a lot number in the search box below.

Product Specific Notices for BRD3 Antibody (BLR069G)

This Product sold under License from Bethyl Laboratories, Inc.

This product is for research use only and is not approved for use in humans or in clinical diagnosis. Primary Antibodies are guaranteed for 1 year from date of receipt.

Loading...
Loading...
Loading...
Loading...