Skip to main content

BRAF35 Antibody (PCRP-HMG20B-1B5) - Azide and BSA Free

Novus Biologicals, part of Bio-Techne | Catalog # NBP3-20903

Novus Biologicals, part of Bio-Techne

Key Product Details

Species Reactivity

Human

Applications

Immunohistochemistry-Paraffin, ELISA, Flow Cytometry, Immunoprecipitation

Label

Unconjugated

Antibody Source

Monoclonal Mouse IgG1 kappa Clone # PCRP-HMG20B-1B5

Format

Azide and BSA Free

Concentration

1 mg/ml

Product Specifications

Immunogen

Synthetic peptide (exact sequence is proprietary)

Localization

Nucleus. Chromosome. Localized to condensed chromosomes in mitosis in conjunction with BRCA2.

Clonality

Monoclonal

Host

Mouse

Isotype

IgG1 kappa

Description

Positive Controls: Jurkat, A431 or HeLa cells. Ubiquitous expression in adult tissues.

Antibody with azide - store at 2 to 8C. Antibody without azide - store at -20 to -80C. Non-hazardous. No MSDS required.

Scientific Data Images for BRAF35 Antibody (PCRP-HMG20B-1B5) - Azide and BSA Free

BRAF35 Antibody (PCRP-HMG20B-1B5) - Azide and BSA Free

BRAF35 Antibody (PCRP-HMG20B-1B5)

Analysis of Protein Array containing more than 19,000 full-length human proteins using BRAF35 Mouse Monoclonal Antibody (PCRP-HMG20B-1B5).
BRAF35 Antibody (PCRP-HMG20B-1B5) - Azide and BSA Free

BRAF35 Antibody (PCRP-HMG20B-1B5)

Flow cytometric analysis of PFA-fixed HeLa cells. BRAF35 Mouse Monoclonal Antibody (PCRP-HMG20B-1B5) followed by goat anti-mouse IgG-CF488 (blue); isotype control (red).
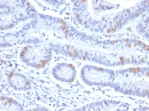
BRAF35 Antibody (PCRP-HMG20B-1B5) - Azide and BSA Free

BRAF35 Antibody (PCRP-HMG20B-1B5)

Formalin-fixed, paraffin-embedded human colon stained with BRAF35 antibody (PCRP-HMG20B-1B5). HIER: Tris/EDTA, pH9.0, 45min. Secondary: HRP-polymer, 30min. DAB, 5min.

Applications for BRAF35 Antibody (PCRP-HMG20B-1B5) - Azide and BSA Free

Application
Recommended Usage

Flow Cytometry

1-2 ug/million cells

Immunohistochemistry-Paraffin

1-2 ug/ml

Immunoprecipitation

1-2 ug per 100-500 ug of protein or 1ml of lysate
Application Notes
ELISA: For coating, order antibody without BSA

Immunohistochemistry (Formalin-fixed): 1-2ug/ml for 30 minutes. at RT. Staining of formalin-fixed tissues requires heating tissue sections in 10mM Tris with 1mM EDTA, pH 9.0, for 45 min at 95C followed by cooling at RT for 20 minutes.

Optimal dilution for a specific application should be determined.

Formulation, Preparation, and Storage

Purification

Protein A or G purified

Formulation

10mM PBS

Format

Azide and BSA Free

Preservative

No Preservative

Concentration

1 mg/ml

Shipping

The product is shipped with polar packs. Upon receipt, store it immediately at the temperature recommended below.

Stability & Storage

Store at -20 to -70C. Avoid freeze-thaw cycles.

Background: BRAF35

BRAF35 is required for correct progression through G2 phase of the cell cycle and entry into mitosis. Required for RCOR1/CoREST mediated repression of neuronal specific gene promoters

Alternate Names

BRAF35Sox-like transcriptional factor, high-mobility group 20B, HMG domain-containing protein 2, HMG domain-containing protein HMGX2, HMGX2FLJ26127, HMGXB2member 1-related, SMARCE1R, SMARCE1-related protein

Gene Symbol

HMG20B

Additional BRAF35 Products

Product Documents for BRAF35 Antibody (PCRP-HMG20B-1B5) - Azide and BSA Free

Certificate of Analysis

To download a Certificate of Analysis, please enter a lot number in the search box below.

Product Specific Notices for BRAF35 Antibody (PCRP-HMG20B-1B5) - Azide and BSA Free

This product is for research use only and is not approved for use in humans or in clinical diagnosis. Primary Antibodies are guaranteed for 1 year from date of receipt.

Loading...
Loading...
Loading...
Loading...
Loading...