Skip to main content

Brachyury Antibody (TBXT/7853R)

Novus Biologicals, part of Bio-Techne | Catalog # NBP3-20546

Recombinant Monoclonal Antibody
Novus Biologicals, part of Bio-Techne
Catalog #
Availability
Size / Price
Qty
Loading...
NBP3-20546-100ug
NBP3-20546-20ug

Key Product Details

Species Reactivity

Human

Applications

Immunohistochemistry-Paraffin

Label

Unconjugated

Antibody Source

Recombinant Monoclonal Rabbit IgG Kappa Clone # TBXT/7853R

Concentration

0.2 mg/ml

Product Specifications

Immunogen

Recombinant fragment (around aa 235-435) of human Brachyury protein (exact sequence is proprietary)

Localization

Nucleus.

Clonality

Monoclonal

Host

Rabbit

Isotype

IgG Kappa

Description

Positive Controls: Human chordoma tissue.

Antibody with azide - store at 2 to 8C. Antibody without azide - store at -20 to -80C. Non-hazardous. No MSDS required.

Scientific Data Images for Brachyury Antibody (TBXT/7853R)

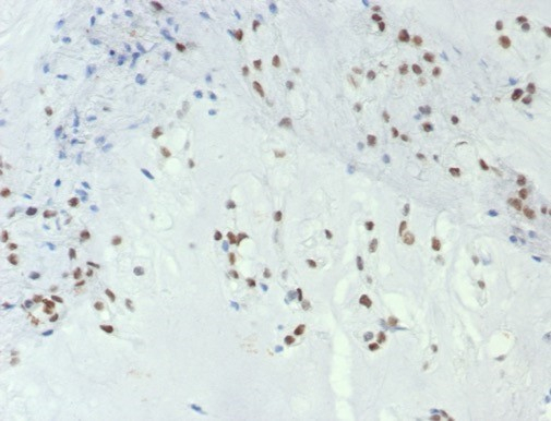
Brachyury Antibody (TBXT/7853R)

Brachyury Antibody (TBXT/7853R)

Formalin-fixed, paraffin-embedded human parathyroid stained with Brachyury antibody (TBXT/7853R). HIER: Tris/EDTA, pH9.0, 45min. Secondary: HRP-polymer, 30min. DAB, 5min.
Brachyury Antibody (TBXT/7853R)

Brachyury Antibody (TBXT/7853R)

Formalin-fixed, paraffin-embedded human chordoma stained with Brachyury antibody (TBXT/7853R). HIER: Tris/EDTA, pH9.0, 45min. Secondary: HRP-polymer, 30min. DAB, 5min.

Applications for Brachyury Antibody (TBXT/7853R)

Application
Recommended Usage

Immunohistochemistry-Paraffin

1-2 ug/ml
Application Notes
Immunohistochemistry (Formalin-fixed): 1-2ug/ml for 30 minutes. at RT. Staining of formalin-fixed tissues requires heating tissue sections in 10mM Tris with 1mM EDTA, pH 9.0, for 45 min at 95C followed by cooling at RT for 20 minutes.

Optimal dilution for a specific application should be determined.

Formulation, Preparation, and Storage

Purification

Protein A or G purified

Formulation

10mM PBS with 0.05% BSA

Preservative

0.05% Sodium Azide

Concentration

0.2 mg/ml

Shipping

The product is shipped with polar packs. Upon receipt, store it immediately at the temperature recommended below.

Stability & Storage

Store at 4C. Do not freeze.

Background: Brachyury

Brachyury / Bry is encoded by this gene is an embryonic nuclear transcription factor that binds to a specific DNA element, the palindromic T-site. It binds through a region in its N-terminus, called the T-box, and effects transcription of genes required for mesoderm formation and differentiation. The protein is localized to notochord-derived cells.

Alternate Names

brachyury protein, MGC104817, Protein T, SAVA, T brachyury (mouse) homolog, T brachyury homolog, T Brachyury Transcription Factor, T, brachyury homolog (mouse), T-Box Transcription Factor T, TBXT, TF, TFT

Gene Symbol

TBXT

Additional Brachyury Products

Product Documents for Brachyury Antibody (TBXT/7853R)

Certificate of Analysis

To download a Certificate of Analysis, please enter a lot number in the search box below.

Product Specific Notices for Brachyury Antibody (TBXT/7853R)

This product is for research use only and is not approved for use in humans or in clinical diagnosis. Primary Antibodies are guaranteed for 1 year from date of receipt.

Loading...
Loading...
Loading...
Loading...