Skip to main content

BPTF/FALZ Antibody

Novus Biologicals, part of Bio-Techne | Catalog # NB100-41418

Novus Biologicals, part of Bio-Techne
Catalog #
Availability
Size / Price
Qty
Loading...
NB100-41418

Key Product Details

Species Reactivity

Validated:

Human

Cited:

Human

Applications

Validated:

Immunohistochemistry, Immunohistochemistry-Paraffin, Western Blot, Immunoprecipitation

Cited:

Western Blot

Label

Unconjugated

Antibody Source

Polyclonal Rabbit IgG

Concentration

0.2 mg/ml

Product Specifications

Immunogen

The immunogen recognized by this antibody maps to a region between residue 1350 and 1400 of human Fetal Alzheimer Antigen (Bromodomain and PHD Domain Transcription Factor) using the numbering given in entry NP_872579.2 (GeneID 2186).

Clonality

Polyclonal

Host

Rabbit

Isotype

IgG

Scientific Data Images for BPTF/FALZ Antibody

Western Blot: BPTF/FALZ Antibody [NB100-41418]

Western Blot: BPTF/FALZ Antibody [NB100-41418]

BPTF-FALZ-Antibody-Western-Blot-NB100-41418-img0015.jpg
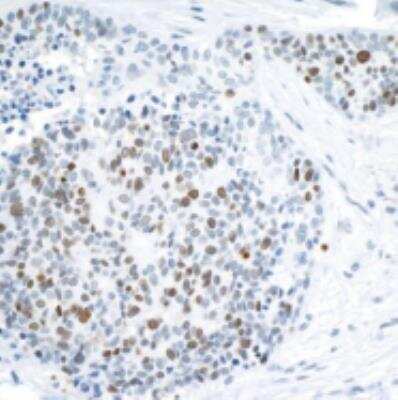
Immunohistochemistry-Paraffin: BPTF/FALZ Antibody [NB100-41418]

Immunohistochemistry-Paraffin: BPTF/FALZ Antibody [NB100-41418]

Immunohistochemistry-Paraffin: BPTF/FALZ Antibody [NB100-41418] - Section of human lung carcinoma. Antibody: Affinity purified rabbit antiFALZ/BPTF used at a dilution of 1:1,000 (0.2ug/ml). Detection: DAB
Western Blot: BPTF/FALZ Antibody [NB100-41418]

Western Blot: BPTF/FALZ Antibody [NB100-41418]

Western Blot: BPTF/FALZ Antibody [NB100-41418] - Whole cell lysate (5, 15 and 50 mcg for WB; 1 mg for IP, 20% of IP loaded) from HeLa cells. NB100-41418 used for WB at 0.04 mcg/ml (A) and 0.1 mcg/ml (B) and used for IP at 3 mcg/mg lysate (B).

Applications for BPTF/FALZ Antibody

Application
Recommended Usage

Immunohistochemistry

1:200- 1:1000

Immunohistochemistry-Paraffin

1:200- 1:1000

Immunoprecipitation

2-10 ug/mg lysate

Western Blot

1:2000-1:10000
Application Notes
Epitope retrieval with Tris-EDTA pH9.0 is recommended for FFPE tissue sections.

Formulation, Preparation, and Storage

Purification

Immunogen affinity purified

Formulation

TBS and 0.1% BSA

Preservative

0.09% Sodium Azide

Concentration

0.2 mg/ml

Shipping

The product is shipped with polar packs. Upon receipt, store it immediately at the temperature recommended below.

Stability & Storage

Store at 4C. Do not freeze.

Background: BPTF/FALZ

FALZ/BPTF is a histone-binding component of NURF (nucleosome remodeling factor), a complex that catalyzes ATP-dependent nucleosome sliding and facilitates transcription of chromatin. This gene was identified in brain homogenates from patients with Alzheimer's disease. Analysis of the original protein (fetal Alz-50 reactive clone 1, or FAC1), containing a DNA-binding domain, a zinc finger motif, and a C-terminal bromodomain, suggested it might play a role in the regulation of transcription during proliferation. High levels of FAC1 were detected in fetal brain and in patients with neurodegenerative diseases. This protein is highly similar to the largest subunit of the Drosophila NURF (nucleosome remodeling factor) complex.

Long Name

Nucleosome-remodeling factor subunit BPTF

Alternate Names

BPTF, FAC1, FALZ

Entrez Gene IDs

2186 (Human)

Gene Symbol

BPTF

UniProt

Additional BPTF/FALZ Products

Product Documents for BPTF/FALZ Antibody

Certificate of Analysis

To download a Certificate of Analysis, please enter a lot number in the search box below.

Product Specific Notices for BPTF/FALZ Antibody

This product is for research use only and is not approved for use in humans or in clinical diagnosis. Primary Antibodies are guaranteed for 1 year from date of receipt.

Loading...
Loading...
Loading...
Loading...
Loading...