Skip to main content

Borealin Antibody - BSA Free

Novus Biologicals, part of Bio-Techne | Catalog # NBP1-89949

Novus Biologicals, part of Bio-Techne
Catalog #
Availability
Size / Price
Qty
Loading...
NBP1-89949
NBP1-89949-25ul

Key Product Details

Validated by

Orthogonal Validation

Species Reactivity

Human

Applications

Immunohistochemistry, Immunohistochemistry-Paraffin, Western Blot

Label

Unconjugated

Antibody Source

Polyclonal Rabbit IgG

Format

BSA Free

Concentration

Concentrations vary lot to lot. See vial label for concentration. If unlisted please contact technical services.

Product Specifications

Immunogen

This antibody was developed against Recombinant Protein corresponding to amino acids: LRTPAAGERIYNISGNGSPLADSKEIFLTVPVGGGESLRLLASDLQRHSIAQLDPEALGNIKKLSNRLAQICSSIRTHK

Reactivity Notes

Immunogen displays the following percentage of sequence identity for non-tested species: Mouse (81%), Rat (82%)

Clonality

Polyclonal

Host

Rabbit

Isotype

IgG

Description

Novus Biologicals Rabbit Borealin Antibody - BSA Free (NBP1-89949) is a polyclonal antibody validated for use in IHC and WB. All Novus Biologicals antibodies are covered by our 100% guarantee.

Scientific Data Images for Borealin Antibody - BSA Free

Borealin Antibody - BSA Free Immunohistochemistry-Paraffin: Borealin Antibody - BSA Free [NBP1-89949]

Immunohistochemistry-Paraffin: Borealin Antibody - BSA Free [NBP1-89949]

Analysis in human testis and prostate tissues using NBP1-89949 antibody. Corresponding CDCA8 RNA-seq data are presented for the same tissues.
Borealin Antibody - BSA Free Immunohistochemistry-Paraffin: Borealin Antibody - BSA Free [NBP1-89949]

Immunohistochemistry-Paraffin: Borealin Antibody - BSA Free [NBP1-89949]

Staining of human testis shows moderate nuclear positivity in cells in seminiferous ducts.
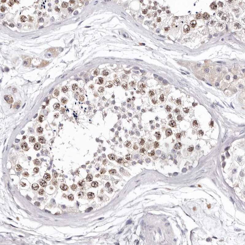
Borealin Antibody - BSA Free Immunohistochemistry-Paraffin: Borealin Antibody - BSA Free [NBP1-89949]

Immunohistochemistry-Paraffin: Borealin Antibody - BSA Free [NBP1-89949]

Staining of human prostate shows no positivity in glandular cells as expected.

Applications for Borealin Antibody - BSA Free

Application
Recommended Usage

Immunohistochemistry

1:50 - 1:200

Immunohistochemistry-Paraffin

1:50 - 1:200

Western Blot

0.04-0.4 ug/ml
Application Notes
For IHC-Paraffin, HIER pH 6 retrieval is recommended.

Formulation, Preparation, and Storage

Purification

Immunogen affinity purified

Formulation

PBS (pH 7.2) and 40% Glycerol

Format

BSA Free

Preservative

0.02% Sodium Azide

Concentration

Concentrations vary lot to lot. See vial label for concentration. If unlisted please contact technical services.

Shipping

The product is shipped with polar packs. Upon receipt, store it immediately at the temperature recommended below.

Stability & Storage

Store at 4C short term. Aliquot and store at -20C long term. Avoid freeze-thaw cycles.

Background: Borealin

Borealin (CDCA8) is a component of the chromosomal passenger complex (CPC), which is required for stability of the bipolar mitotic spindle and acts as a key regulator of mitosis. The CPC complex has essential functions at the centromere in ensuring correct chromosome alignment and segregation and is required for chromatin-induced microtubule stabilization and spindle assembly. In the complex, it may be required to direct the CPC to centromeric DNA.

Borealin has been shown to interact with Aurora B and survivin (BIRC5). Knockdown of Borealin by small interfering RNA resulted in severe chromosome misalignment at metaphase and accumulation of multiple interphase nuclei. Borealin is also related to the proliferation of human embryonic stem (hES) cells and is highly expressed in mouse undifferentiated ES cells.
Borealin antibodies are useful tools for stem cell studies and cell division research.

Alternate Names

BOR, BOREALIN, cell division cycle associated 8, Cell division cycle-associated protein 8, Dasra B, DasraB, dasra-B, FLJ10468, FLJ12042, hDasra-B, MESRGP, PESCRG3, Pluripotent embryonic stem cell-related gene 3 protein

Gene Symbol

CDCA8

Additional Borealin Products

Product Documents for Borealin Antibody - BSA Free

Certificate of Analysis

To download a Certificate of Analysis, please enter a lot number in the search box below.

Product Specific Notices for Borealin Antibody - BSA Free

This product is for research use only and is not approved for use in humans or in clinical diagnosis. Primary Antibodies are guaranteed for 1 year from date of receipt.

Loading...
Loading...
Loading...
Loading...