BNIP1 Antibody (OTI2B3)
Novus Biologicals, part of Bio-Techne | Catalog # NBP2-46580
Conjugate
Catalog #
Forumulation
Catalog #
Key Product Details
Species Reactivity
Human, Mouse, Rat
Applications
Immunohistochemistry, Immunohistochemistry-Paraffin, Western Blot
Label
Unconjugated
Antibody Source
Monoclonal Mouse IgG1 Clone # OTI2B3
Concentration
1 mg/ml
Product Specifications
Immunogen
Human recombinant protein fragment corresponding to amino acids 1-199 of human BNIP1 (NP_001196) produced in E.coli.
Reactivity Notes
Please note that this antibody is reactive to Mouse and derived from the same host, Mouse. Mouse-On-Mouse blocking reagent may be needed for IHC and ICC experiments to reduce high background signal. You can find these reagents under catalog numbers PK-2200-NB and MP-2400-NB. Please contact Technical Support if you have any questions.
Clonality
Monoclonal
Host
Mouse
Isotype
IgG1
Theoretical MW
26 kDa.
Disclaimer note: The observed molecular weight of the protein may vary from the listed predicted molecular weight due to post translational modifications, post translation cleavages, relative charges, and other experimental factors.
Disclaimer note: The observed molecular weight of the protein may vary from the listed predicted molecular weight due to post translational modifications, post translation cleavages, relative charges, and other experimental factors.
Description
Novus Biologicals Mouse BNIP1 Antibody (OTI2B3) (NBP2-46580) is a monoclonal antibody validated for use in IHC and WB. All Novus Biologicals antibodies are covered by our 100% guarantee.
Scientific Data Images for BNIP1 Antibody (OTI2B3)
Western Blot: BNIP1 Antibody (OTI2B3) [NBP2-46580]
Western Blot: BNIP1 Antibody (2B3) [NBP2-46580] - Analysis of HEK293T cells were transfected with the pCMV6-ENTRY control (Left lane) or pCMV6-ENTRY BNIP1.Immunohistochemistry: BNIP1 Antibody (OTI2B3) [NBP2-46580]
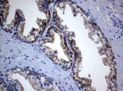
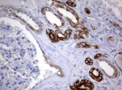
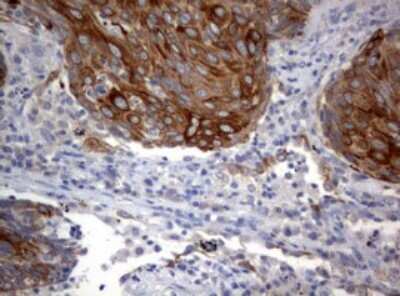
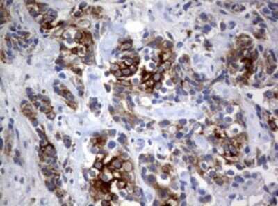
Immunohistochemistry: BNIP1 Antibody (2B3) [NBP2-46580] - Analysis of Human prostate tissue. (Heat-induced epitope retrieval by 10mM citric buffer, pH6.0, 120C for 3min)Immunohistochemistry: BNIP1 Antibody (OTI2B3) [NBP2-46580]
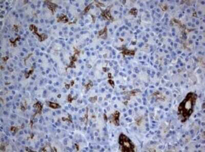
Immunohistochemistry: BNIP1 Antibody (2B3) [NBP2-46580] - Analysis of Human pancreas tissue. (Heat-induced epitope retrieval by 10mM citric buffer, pH6.0, 120C for 3min)Applications for BNIP1 Antibody (OTI2B3)
Application
Recommended Usage
Immunohistochemistry
1:150
Western Blot
1:2000
Formulation, Preparation, and Storage
Purification
Immunogen affinity purified
Formulation
PBS (pH 7.3), 1.0% BSA and 50% Glycerol
Preservative
0.02% Sodium Azide
Concentration
1 mg/ml
Shipping
The product is shipped with polar packs. Upon receipt, store it immediately at the temperature recommended below.
Stability & Storage
Store at -20C. Avoid freeze-thaw cycles.
Background: BNIP1
Alternate Names
BCL2/adenovirus E1B 19 kDa protein-interacting protein 1, BCL2/adenovirus E1B 19kDa interacting protein 1, BCL2/adenovirus E1B 19kD-interacting protein 1, NIP1, SEC20, SEC20L, Transformation-related gene 8 protein, TRG-8, vesicle transport protein SEC20
Gene Symbol
BNIP1
Additional BNIP1 Products
Product Documents for BNIP1 Antibody (OTI2B3)
Product Specific Notices for BNIP1 Antibody (OTI2B3)
This product is for research use only and is not approved for use in humans or in clinical diagnosis. Primary Antibodies are guaranteed for 1 year from date of receipt.
Loading...
Loading...
Loading...
Loading...