Skip to main content

BMP-6 Antibody (D2) - BSA Free

Novus Biologicals, part of Bio-Techne | Catalog # NBP3-41154

Novus Biologicals, part of Bio-Techne
Catalog #
Availability
Size / Price
Qty
Loading...
NBP3-41154

Key Product Details

Species Reactivity

Human, Porcine

Applications

Immunohistochemistry, Immunohistochemistry-Paraffin, Western Blot

Label

Unconjugated

Antibody Source

Monoclonal Mouse IgG1 kappa Clone # D2

Format

BSA Free

Concentration

1 mg/ml

Product Specifications

Immunogen

Immunized with recombinant Human BMP-6 (Uniprot#: P22004; Ser375-His513 (Uniprot#: P22004)

Clonality

Monoclonal

Host

Mouse

Isotype

IgG1 kappa

Description

Novus Biologicals Mouse BMP-6 Antibody (D2) - BSA Free (NBP3-41154) is a monoclonal antibody validated for use in IHC and WB. All Novus Biologicals antibodies are covered by our 100% guarantee.

Scientific Data Images for BMP-6 Antibody (D2) - BSA Free

BMP-6 Antibody (D2)

Western Blot: BMP-6 Antibody (D2) [NBP3-41154] -

Western Blot: BMP-6 Antibody (D2) [NBP3-41154] - Sample: Lane1: 293T cell lysate; Lane2: MCF7 cell lysate Primary Ab: 2ug/ml NBP3-41154; Second Ab: 0.2ug/mL HRP-Linked Caprine Anti-Mouse IgG Polyclonal Antibody
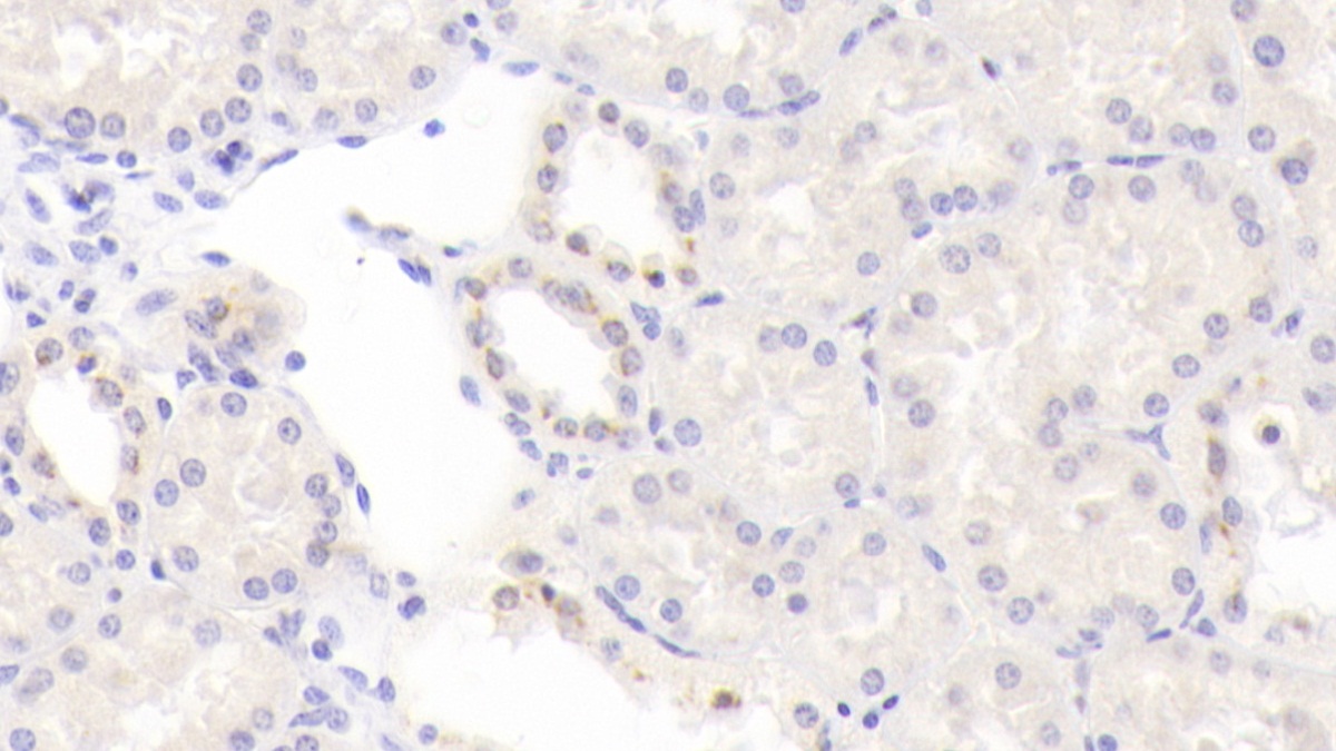
BMP-6 Antibody (D2)

Immunohistochemistry-Paraffin: BMP-6 Antibody (D2) [NBP3-41154] -

Immunohistochemistry-Paraffin: BMP-6 Antibody (D2) [NBP3-41154] - DAB staining on IHC-P; Samples: Human Kidney Tissue; Primary Ab: 20ug/ml NBP3-41154; Second Ab: 2ug/mL HRP-Linked Caprine Anti-Mouse IgG Polyclonal Antibody

Applications for BMP-6 Antibody (D2) - BSA Free

Application
Recommended Usage

Immunohistochemistry

5-20ug/mL

Immunohistochemistry-Paraffin

5-20ug/mL

Western Blot

0.5-2ug/mL

Formulation, Preparation, and Storage

Purification

Protein A or G purified

Formulation

0.01M PBS, pH7.4, 50% glycerol

Format

BSA Free

Preservative

0.05% Proclin 300

Concentration

1 mg/ml

Shipping

The product is shipped with polar packs. Upon receipt, store it immediately at the temperature recommended below.

Stability & Storage

Store at 4C short term. Aliquot and store at -20C long term. Avoid freeze-thaw cycles.

Background: BMP-6

The bone morphogenetic proteins (BMPs) are a family of secreted signaling molecules that can induce ectopic bone growth. Many BMPs are part of the transforming growth factor-beta (TGFB) superfamily. BMPs were originally identified by an ability of demineralized bone extract to induce endochondral osteogenesis in vivo in an extraskeletal site. Based on its expression early in embryogenesis, the BMP encoded by this gene has a proposed role in early development. In addition, the fact that this BMP is closely related to BMP5 and BMP7 has lead to speculation of possible bone inductive activity.

Long Name

Bone Morphogenetic Protein 6

Alternate Names

BMP6, Vgr-1

Gene Symbol

BMP6

Additional BMP-6 Products

Product Documents for BMP-6 Antibody (D2) - BSA Free

Certificate of Analysis

To download a Certificate of Analysis, please enter a lot number in the search box below.

Product Specific Notices for BMP-6 Antibody (D2) - BSA Free

This product is for research use only and is not approved for use in humans or in clinical diagnosis. Primary Antibodies are guaranteed for 1 year from date of receipt.

Loading...
Loading...
Loading...
Loading...