Skip to main content

BIN1 Antibody (3B6F10) - BSA Free

Novus Biologicals, part of Bio-Techne | Catalog # NBP2-61714

Novus Biologicals, part of Bio-Techne
Catalog #
Availability
Size / Price
Qty
Loading...
NBP2-61714
NBP2-61714-0.025ml

Key Product Details

Species Reactivity

Human, Mouse

Applications

Immunohistochemistry, Immunohistochemistry-Paraffin, Western Blot, ELISA, Flow Cytometry

Label

Unconjugated

Antibody Source

Monoclonal Mouse IgG2B Clone # 3B6F10

Format

BSA Free

Concentration

1 mg/ml

Product Specifications

Immunogen

Purified recombinant fragment of human BIN1 (AA: 189-398) expressed in E. Coli.

Clonality

Monoclonal

Host

Mouse

Isotype

IgG2B

Theoretical MW

64.7 kDa.
Disclaimer note: The observed molecular weight of the protein may vary from the listed predicted molecular weight due to post translational modifications, post translation cleavages, relative charges, and other experimental factors.

Description

Novus Biologicals Mouse BIN1 Antibody (3B6F10) - BSA Free (NBP2-61714) is a monoclonal antibody validated for use in IHC, WB, ELISA and Flow. All Novus Biologicals antibodies are covered by our 100% guarantee.

Scientific Data Images for BIN1 Antibody (3B6F10) - BSA Free

Western Blot: BIN1 Antibody (3B6F10)BSA Free [NBP2-61714]

Western Blot: BIN1 Antibody (3B6F10)BSA Free [NBP2-61714]

Western Blot: BIN1 Antibody (3B6F10) [NBP2-61714] - Analysis using BIN1 mAb against HEK293 (1) and BIN1 (AA: 189-398)-hIgGFc transfected HEK293 (2) cell lysate.
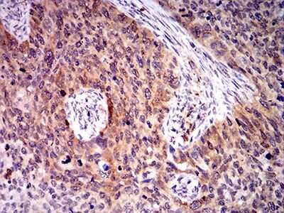
Immunohistochemistry: BIN1 Antibody (3B6F10) - BSA Free [NBP2-61714]

Immunohistochemistry: BIN1 Antibody (3B6F10) - BSA Free [NBP2-61714]

Immunohistochemistry: BIN1 Antibody (3B6F10) [NBP2-61714] - Analysis of paraffin-embedded cervical cancer tissues using BIN1 mouse mAb with DAB staining.
Flow Cytometry: BIN1 Antibody (3B6F10) - BSA Free [NBP2-61714]

Flow Cytometry: BIN1 Antibody (3B6F10) - BSA Free [NBP2-61714]

Flow Cytometry: BIN1 Antibody (3B6F10) [NBP2-61714] - Analysis of Hela cells using BIN1 mouse mAb (green) and negative control (red).

Applications for BIN1 Antibody (3B6F10) - BSA Free

Application
Recommended Usage

ELISA

1:100-1:2000

Flow Cytometry

1:10-1:1000

Immunohistochemistry

1:10-1:500

Immunohistochemistry-Paraffin

1:200 - 1:1000

Western Blot

1:100-1:2000

Formulation, Preparation, and Storage

Purification

Protein G purified

Formulation

PBS

Format

BSA Free

Preservative

0.05% Sodium Azide

Concentration

1 mg/ml

Shipping

The product is shipped with polar packs. Upon receipt, store it immediately at the temperature recommended below.

Stability & Storage

Store at 4C short term. Aliquot and store at -20C long term. Avoid freeze-thaw cycles.

Background: BIN1

This gene encodes several isoforms of a nucleocytoplasmic adaptor protein, one of which was initially identified as a MYC-interacting protein with features of a tumor suppressor. Isoforms that are expressed in the central nervous system may be involved in synaptic vesicle endocytosis and may interact with dynamin, synaptojanin, endophilin, and clathrin. Isoforms that are expressed in muscle and ubiquitously expressed isoforms localize to the cytoplasm and nucleus and activate a caspase-independent apoptotic process. Studies in mouse suggest that this gene plays an important role in cardiac muscle development. Alternate splicing of the gene results in several transcript variants encoding different isoforms. Aberrant splice variants expressed in tumor cell lines have also been described.;

Alternate Names

AMPH2, Amphiphysin II, Amphiphysin-like protein, AMPHLDKFZp547F068, box dependant MYC interacting protein 1, bridging integrator 1Box-dependent myc-interacting protein 1, MGC10367, myc box-dependent-interacting protein 1, SH3P9

Gene Symbol

BIN1

Additional BIN1 Products

Product Documents for BIN1 Antibody (3B6F10) - BSA Free

Certificate of Analysis

To download a Certificate of Analysis, please enter a lot number in the search box below.

Product Specific Notices for BIN1 Antibody (3B6F10) - BSA Free

This product is for research use only and is not approved for use in humans or in clinical diagnosis. Primary Antibodies are guaranteed for 1 year from date of receipt.

Loading...
Loading...
Loading...
Loading...
Loading...