Skip to main content

beta Tubulin Antibody - BSA Free

Novus Biologicals, part of Bio-Techne | Catalog # NB100-56459

Novus Biologicals, part of Bio-Techne
Catalog #
Availability
Size / Price
Qty
Loading...
NB100-56459
NB100-56459SS

Key Product Details

Species Reactivity

Validated:

Human, Mouse, Rat, Bovine, Canine, Chicken, Feline, Monkey, Primate, Xenopus

Cited:

Mouse, Rat, Canine, Feline, Insect - Drosophila

Applications

Validated:

Immunohistochemistry, Immunohistochemistry-Paraffin, Western Blot, Simple Western

Cited:

Western Blot

Label

Unconjugated

Antibody Source

Polyclonal Rabbit IgG

Format

BSA Free

Concentration

1.0 mg/ml

Product Specifications

Immunogen

A synthetic peptide corresponding to a portion of amino acids 400-450 of human b-tubulin was used as immunogen for this antibody, GenBank no. gi|27227551|gb|AAN85571.1|.

Reactivity Notes

Feline reactivity reported in scientific literature (PMID: 25668772).

Specificity

The amino acid sequence used as immunogen has 100% identity in beta I and beta II tubulin.

Clonality

Polyclonal

Host

Rabbit

Isotype

IgG

Description

Novus Biologicals Rabbit beta Tubulin Antibody - BSA Free (NB100-56459) is a polyclonal antibody validated for use in IHC, WB and Simple Western. Anti-beta Tubulin Antibody: Cited in 11 publications. All Novus Biologicals antibodies are covered by our 100% guarantee.

Scientific Data Images for beta Tubulin Antibody - BSA Free

Western Blot: beta Tubulin Antibody [NB100-56459]

Western Blot: beta Tubulin Antibody [NB100-56459]

Western Blot: beta Tubulin Antibody [NB100-56459] - Analysis of beta-Tubulin in A: human brain, B: mouse brain and C: rat brain tissue lysates using the this antibody at 25 ug/mL.
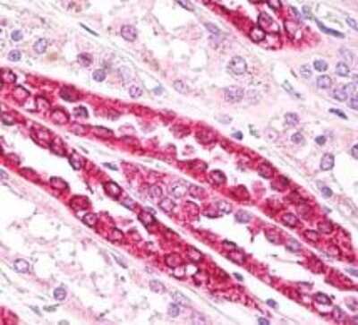
Immunohistochemistry-Paraffin: beta Tubulin Antibody [NB100-56459]

Immunohistochemistry-Paraffin: beta Tubulin Antibody [NB100-56459]

Immunohistochemistry-Paraffin: beta Tubulin Antibody [NB100-56459] - Human kidney tubules stained with beta-Tubulin antibody at 10 ug/mL. Staining of formalin-fixed tissues is enhanced by boiling tissue sections in 10 mM sodium citrate buffer, pH 6.0 for 10-20 min followed by cooling at RT for 20 min.
Simple Western: beta Tubulin Antibody [NB100-56459]

Simple Western: beta Tubulin Antibody [NB100-56459]

Simple Western: beta Tubulin Antibody [NB100-56459] - Image shows a specific band for beta Tubulin in 0.5 mg/mL of Human Brain lysate. This experiment was performed under reducing conditions using the 12-230 kDa separation system.

Applications for beta Tubulin Antibody - BSA Free

Application
Recommended Usage

Immunohistochemistry

1:100 - 1:1000

Immunohistochemistry-Paraffin

5 - 10 ug/mL

Simple Western

1:50

Western Blot

0.1 - 1 ug/mL
Application Notes
In Simple Western only 10 - 15 uL of the recommended dilution is used per data point.
See Simple Western Antibody Database for Simple Western validation: Tested in Human Brain lysate 0.5 mg/mL, separated by Size, antibody dilution of 1:50, apparent MW was 55 kDa.

Formulation, Preparation, and Storage

Purification

Protein G purified

Formulation

PBS

Format

BSA Free

Preservative

0.05% Sodium Azide

Concentration

1.0 mg/ml

Shipping

The product is shipped with polar packs. Upon receipt, store it immediately at the temperature recommended below.

Stability & Storage

Store at 4C short term. Aliquot and store at -20C long term. Avoid freeze-thaw cycles.

Background: beta Tubulin

Alpha and beta Tubulin are the most common members of the tubulin family of proteins. Dimers of alpha and beta tubulin assemble to form microtubules.

Long Name

Tubulin beta chain

Alternate Names

OK/SW-cl.56, TUBB, TUBB5

Entrez Gene IDs

7280 (Human); 22151 (Mouse); 498736 (Rat)

Gene Symbol

TUBB2A

UniProt

Additional beta Tubulin Products

Product Documents for beta Tubulin Antibody - BSA Free

Certificate of Analysis

To download a Certificate of Analysis, please enter a lot number in the search box below.

Product Specific Notices for beta Tubulin Antibody - BSA Free

This product is for research use only and is not approved for use in humans or in clinical diagnosis. Primary Antibodies are guaranteed for 1 year from date of receipt.

Loading...
Loading...
Loading...
Loading...
Loading...