Skip to main content

beta Tubulin Antibody (1-B11-R)

Novus Biologicals, part of Bio-Techne | Catalog # NBP3-32080

Recombinant Monoclonal Antibody
Novus Biologicals, part of Bio-Techne
Catalog #
Availability
Size / Price
Qty
Loading...
NBP3-32080

Key Product Details

Species Reactivity

Human, Mouse, Rat

Applications

Immunohistochemistry, Immunohistochemistry-Paraffin, Western Blot, Immunocytochemistry/ Immunofluorescence

Label

Unconjugated

Antibody Source

Recombinant Monoclonal Mouse IgG1 Clone # 1-B11-R expressed in HEK293

Concentration

1 mg/ml

Product Specifications

Immunogen

Synthetic peptide within human beta Tubulin aa 51-100. (Uniprot: P07437)

Localization

Cytoplasm ,cytoskeleton

Clonality

Monoclonal

Host

Mouse

Isotype

IgG1

Theoretical MW

50 kDa.
Disclaimer note: The observed molecular weight of the protein may vary from the listed predicted molecular weight due to post translational modifications, post translation cleavages, relative charges, and other experimental factors.

Description

Novus Biologicals Mouse beta Tubulin Antibody (1-B11-R) (NBP3-32080) is a recombinant monoclonal antibody validated for use in IHC, WB and ICC/IF. All Novus Biologicals antibodies are covered by our 100% guarantee.

Scientific Data Images for beta Tubulin Antibody (1-B11-R)

beta Tubulin Antibody (1-B11-R)

Western Blot: beta Tubulin Antibody (1-B11-R) [NBP3-32080]

Western Blot: beta Tubulin Antibody (1-B11-R) [NBP3-32080] - Western blot analysis of beta Tubulin on different lysates with Mouse anti-beta Tubulin antibody (NBP3-32080) at 1/5,000 dilution.

Lane 1: HeLa cell lysate
Lane 2: MCF7 cell lysate
Lane 3: NCCIT cell lysate
Lane 4: PC-12 cell lysate
Lane 5: F9 cell lysate
Lane 6: NIH/3T3 cell lysate

Lysates/proteins at 20 ug/Lane.

Predicted band size: 50 kDa
Observed band size: 50 kDa

Exposure time: 2 minutes;

10% SDS-PAGE gel.

Proteins were transferred to a PVDF membrane and blocked with 5% NFDM/TBST for 1 hour at room temperature. The primary antibody (NBP3-32080) at 1/5,000 dilution was used in 5% NFDM/TBST at room temperature for 2 hours. Goat Anti-Mouse IgG - HRP Secondary Antibody at 1:150,000 dilution was used for 1 hour at room temperature.
beta Tubulin Antibody (1-B11-R)

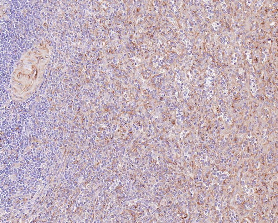
Immunohistochemistry: beta Tubulin Antibody (1-B11-R) [NBP3-32080]

Immunohistochemistry: beta Tubulin Antibody (1-B11-R) [NBP3-32080] - Immunohistochemical analysis of paraffin-embedded human spleen tissue with Mouse anti-beta Tubulin antibody (NBP3-32080) at 1/200 dilution.

The section was pre-treated using heat mediated antigen retrieval with Tris-EDTA buffer (pH 9.0) for 20 minutes. The tissues were blocked in 1% BSA for 20 minutes at room temperature, washed with ddH2O and PBS, and then probed with the primary antibody (NBP3-32080) at 1/200 dilution for 1 hour at room temperature. The detection was performed using an HRP conjugated compact polymer system. DAB was used as the chromogen. Tissues were counterstained with hematoxylin and mounted with DPX.
beta Tubulin Antibody (1-B11-R)

Immunocytochemistry/ Immunofluorescence: beta Tubulin Antibody (1-B11-R) [NBP3-32080]

Immunocytochemistry/ Immunofluorescence: beta Tubulin Antibody (1-B11-R) [NBP3-32080] - Immunocytochemistry analysis of HeLa cells labeling beta Tubulin with Mouse anti-beta Tubulin antibody (NBP3-32080) at 1/100 dilution.

Cells were fixed in 4% paraformaldehyde for 30 minutes, permeabilized with 0.05% Triton X-100 in PBS for 20 minutes, and then blocked with 2% negative goat serum for 30 minutes at room temperature. Cells were then incubated with Mouse anti-beta Tubulin antibody (NBP3-32080) at 1/100 dilution in 2% negative goat serum overnight at 4 ℃. Goat Anti-Mouse IgG H&L (iFluor™ 488) was used as the secondary antibody at 1/1,000 dilution. Nuclear DNA was labelled in blue with DAPI.

beta Tubulin (red) was stained at 1/100 dilution overnight at +4℃. Goat Anti-Rabbit IgG H&L (iFluor™ 594) were used as the secondary antibody at 1/1,000 dilution.

Applications for beta Tubulin Antibody (1-B11-R)

Application
Recommended Usage

Immunocytochemistry/ Immunofluorescence

1:100

Immunohistochemistry-Paraffin

1:20

Western Blot

1:5000

Formulation, Preparation, and Storage

Purification

Protein A purified

Formulation

1*TBS (pH7.4), 0.1% BSA and 40% Glycerol

Preservative

0.05% Sodium Azide

Concentration

1 mg/ml

Shipping

The product is shipped with polar packs. Upon receipt, store it immediately at the temperature recommended below.

Stability & Storage

Store at 4C short term. Aliquot and store at -20C long term. Avoid freeze-thaw cycles.

Background: beta Tubulin

Beta Tubulin antibodies are useful as loading controls for Western Blotting and ELISA, as well as in studies invlolving cell structure and division. Tubulin is the major building block of microtubules. This intracellular cylindrical filamentous structure is present in almost all eukaryotic cells. Microtubules function as structural and mobile elements in mitosis, intracellular transport, flagellar movement, and in the cytoskeleton.

Long Name

Tubulin beta chain

Alternate Names

OK/SW-cl.56, TUBB, TUBB5

Gene Symbol

TUBB

Additional beta Tubulin Products

Product Documents for beta Tubulin Antibody (1-B11-R)

Certificate of Analysis

To download a Certificate of Analysis, please enter a lot number in the search box below.

Product Specific Notices for beta Tubulin Antibody (1-B11-R)

This product is for research use only and is not approved for use in humans or in clinical diagnosis. Primary Antibodies are guaranteed for 1 year from date of receipt.

Loading...
Loading...
Loading...
Loading...