Skip to main content

beta-III Tubulin Antibody (rTUBB3/7406) - Azide and BSA Free

Novus Biologicals, part of Bio-Techne | Catalog # NBP3-20907

Recombinant Monoclonal Antibody
Novus Biologicals, part of Bio-Techne
Catalog #
Availability
Size / Price
Qty
Loading...
NBP3-20907
Conjugate
Catalog #

Key Product Details

Species Reactivity

Human

Applications

Immunohistochemistry-Paraffin, Western Blot

Label

Unconjugated

Antibody Source

Recombinant Monoclonal Mouse IgG1 kappa Clone # rTUBB3/7406

Format

Azide and BSA Free

Concentration

1 mg/ml

Product Specifications

Immunogen

Recombinant fragment (around aa250-450) of human beta-III Tubulin (exact sequence is proprietary)

Localization

Cytoplasm.

Clonality

Monoclonal

Host

Mouse

Isotype

IgG1 kappa

Description

Positive Controls: Human brain or testis. PC3 cells.

Antibody with azide - store at 2 to 8C. Antibody without azide - store at -20 to -80C. Non-hazardous. No MSDS required.

Scientific Data Images for beta-III Tubulin Antibody (rTUBB3/7406) - Azide and BSA Free

beta-III Tubulin Antibody (rTUBB3/7406) - Azide and BSA Free

beta-III Tubulin Antibody (rTUBB3/7406)

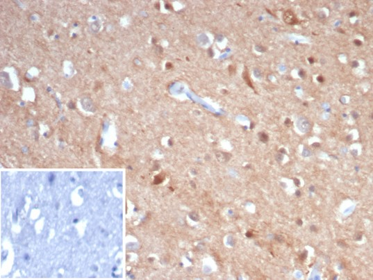
Formalin-fixed, paraffin-embedded human brain stained with beta-III Tubulin antibody (rTUBB3/7406). Inset: PBS instead of primary antibody; secondary only negative control.

Applications for beta-III Tubulin Antibody (rTUBB3/7406) - Azide and BSA Free

Application
Recommended Usage

Immunohistochemistry-Paraffin

1-2 ug/ml

Western Blot

1-2 ug/ml
Application Notes
Immunohistochemistry (Formalin-fixed): 1-2ug/ml for 30 minutes. at RT. Staining of formalin-fixed tissues requires heating tissue sections in 10mM Tris with 1mM EDTA, pH 9.0, for 45 min at 95C followed by cooling at RT for 20 minutes.

Optimal dilution for a specific application should be determined.

Formulation, Preparation, and Storage

Purification

Protein A or G purified

Formulation

10mM PBS

Format

Azide and BSA Free

Preservative

No Preservative

Concentration

1 mg/ml

Shipping

The product is shipped with polar packs. Upon receipt, store it immediately at the temperature recommended below.

Stability & Storage

Store at -20 to -70C. Avoid freeze-thaw cycles.

Background: beta-III Tubulin

Beta-III Tubulin is abundant in the central and peripheral nervous systems where it is prominently expressed during fetal and postnatal development. Beta III Tubulin is often referred to as TUJ1 because Tuj-1 is the clone name of the original monoclonal antibody. The Tuj1 clone is such a popular neuronal marker that Tuj-1 is now used as a synonym for beta III tubulin. The distribution of Tubulin Beta 3 is neuron-associated, exhibiting distinct temporospatial gradients according to the regional neuroepithelia of origin. However, transient expression of the Tubulin Beta 3 protein is also present in the subventricular zones of the CNS comprising putative neuronal- and/or glial precursor cells, as well as in Kulchitsky neuroendocrine cells of the fetal respiratory epithelium. This temporally restricted, potentially non-neuronal expression may have implications in the identification of presumptive neurons derived from embryonic stem cells. Mutation on beta-tubulin has been linked to anti-cancer drug resistance in lung cancers.

Alternate Names

beta-Tubulin III, Beta3-tubulin, betaIII Tubulin, Class III beta-tubulin, TUBB3, Tubulin Beta 3, Tubulin beta-4, Tubulin beta-III

Gene Symbol

TUBB3

Additional beta-III Tubulin Products

Product Documents for beta-III Tubulin Antibody (rTUBB3/7406) - Azide and BSA Free

Certificate of Analysis

To download a Certificate of Analysis, please enter a lot number in the search box below.

Product Specific Notices for beta-III Tubulin Antibody (rTUBB3/7406) - Azide and BSA Free

This product is for research use only and is not approved for use in humans or in clinical diagnosis. Primary Antibodies are guaranteed for 1 year from date of receipt.

Loading...
Loading...
Loading...
Loading...