Skip to main content

beta-Catenin Antibody (CTNNB1/8280R)

Novus Biologicals, part of Bio-Techne | Catalog # NBP3-23721

Recombinant Monoclonal Antibody
Novus Biologicals, part of Bio-Techne
Catalog #
Availability
Size / Price
Qty
Loading...
NBP3-23721-20ug
NBP3-23721-100ug

Key Product Details

Species Reactivity

Human

Applications

Immunohistochemistry-Paraffin

Label

Unconjugated

Antibody Source

Recombinant Monoclonal Rabbit IgG Kappa Clone # CTNNB1/8280R

Concentration

0.2 mg/ml

Product Specifications

Immunogen

Recombinant fragment (around aa1-200) of human beta-Catenin protein (exact sequence is proprietary)

Localization

Cell surface. Cytoplasm.

Clonality

Monoclonal

Host

Rabbit

Isotype

IgG Kappa

Description

Store at 2 to 8C. Non-hazardous. No MSDS required.

Scientific Data Images for beta-Catenin Antibody (CTNNB1/8280R)

beta-Catenin Antibody (CTNNB1/8280R)

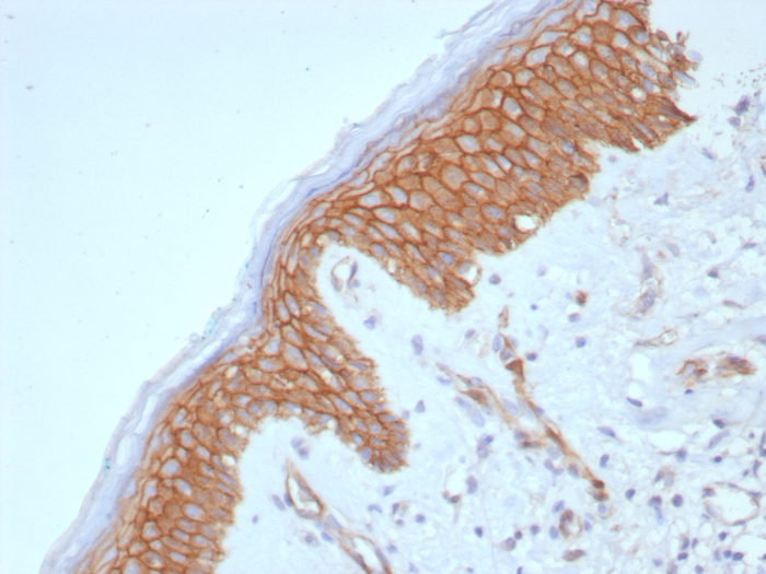
Immunohistochemistry-Paraffin: beta-Catenin Antibody (CTNNB1/8280R) [NBP3-23721] -

Formalin-fixed, paraffin-embedded human skin stained with beta-Catenin antibody (CTNNB1/8280R). HIER: Tris/EDTA, pH9.0, 45min. Secondary: HRP-polymer, 30min. DAB, 5min.
beta-Catenin Antibody (CTNNB1/8280R) Western Blot: beta-Catenin Antibody (CTNNB1/8280R) [NBP3-23721] -

Western Blot: beta-Catenin Antibody (CTNNB1/8280R) [NBP3-23721] -

Western Blot Analysis of human brain lysate using beta-Catenin Antibody (CTNNB1/8280R).

Applications for beta-Catenin Antibody (CTNNB1/8280R)

Application
Recommended Usage

Immunohistochemistry-Paraffin

1-2ug/ml
Application Notes
Immunohistochemistry-Paraffin: 1-2ug/ml for 30 minutes at RT. Staining of formalin-fixed tissues requires heating tissue sections in 10mM Tris with 1mM EDTA, pH 9.0, for 45 min at 95C followed by cooling at RT for 20 minutes. Optimal dilution for a specific application should be determined.

Formulation, Preparation, and Storage

Purification

Protein A purified

Formulation

10mM PBS with 0.05% BSA

Preservative

0.05% Sodium Azide

Concentration

0.2 mg/ml

Shipping

The product is shipped with polar packs. Upon receipt, store it immediately at the temperature recommended below.

Stability & Storage

Store at 4C.

Background: beta-Catenin

The protein encoded by the beta Catenin gene is part of a complex of proteins that constitute adherens junctions (AJs). AJs arenecessary for the creation and maintenance of epithelial cell layers by regulating cell growth and adhesion betweencells. The encoded protein also anchors the actin cytoskeleton and may be responsible for transmitting the contactinhibition signal that causes cells to stop dividing once the epithelial sheet is complete. Finally, this proteinbinds to the product of the APC gene, which is mutated in adenomatous polyposis of the colon. Mutations in this geneare a cause of colorectal cancer (CRC), pilomatrixoma (PTR), medulloblastoma (MDB), and ovarian cancer. Three transcript variants encoding the same protein have been found for this gene.

Alternate Names

bCatenin, CTNNB1

Gene Symbol

CTNNB1

Additional beta-Catenin Products

Product Documents for beta-Catenin Antibody (CTNNB1/8280R)

Certificate of Analysis

To download a Certificate of Analysis, please enter a lot number in the search box below.

Product Specific Notices for beta-Catenin Antibody (CTNNB1/8280R)

This product is for research use only and is not approved for use in humans or in clinical diagnosis. Primary Antibodies are guaranteed for 1 year from date of receipt.

Loading...
Loading...
Loading...
Loading...