Skip to main content

beta Casein Antibody - BSA Free

Novus Biologicals, part of Bio-Techne | Catalog # NBP1-88188

Novus Biologicals, part of Bio-Techne
Catalog #
Availability
Size / Price
Qty
Loading...
NBP1-88188
NBP1-88188-25ul

Key Product Details

Species Reactivity

Human

Applications

Immunohistochemistry, Immunohistochemistry-Paraffin

Label

Unconjugated

Antibody Source

Polyclonal Rabbit IgG

Format

BSA Free

Concentration

Concentrations vary lot to lot. See vial label for concentration. If unlisted please contact technical services.

Product Specifications

Immunogen

This antibody was developed against Recombinant Protein corresponding to amino acids: VPQPIPQTLALPPQPLWSVPQPKVLPIPQQVVPYPQRAVPVQALLLNQELLLNPTHQIYPVTQPLAPVH

Clonality

Polyclonal

Host

Rabbit

Isotype

IgG

Scientific Data Images for beta Casein Antibody - BSA Free

Immunohistochemistry-Paraffin: beta Casein Antibody [NBP1-88188]

Immunohistochemistry-Paraffin: beta Casein Antibody [NBP1-88188]

Immunohistochemistry-Paraffin: beta Casein Antibody [NBP1-88188] - Staining of human skeletal muscle shows no positivity in myocytes as expected.
Immunohistochemistry-Paraffin: beta Casein Antibody [NBP1-88188]

Immunohistochemistry-Paraffin: beta Casein Antibody [NBP1-88188]

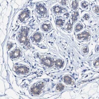
Immunohistochemistry-Paraffin: beta Casein Antibody [NBP1-88188] - Staining of human lactating breast shows strong cytoplasmic positivity in glandular cells.
Immunohistochemistry-Paraffin: beta Casein Antibody [NBP1-88188]

Immunohistochemistry-Paraffin: beta Casein Antibody [NBP1-88188]

Immunohistochemistry-Paraffin: beta Casein Antibody [NBP1-88188] - Staining of human breast shows weak cytoplasmic positivity in glandular cells.

Applications for beta Casein Antibody - BSA Free

Application
Recommended Usage

Immunohistochemistry

1:500 - 1:1000

Immunohistochemistry-Paraffin

1:500 - 1:1000
Application Notes
For IHC-Paraffin, HIER pH 6 retrieval is recommended.

Formulation, Preparation, and Storage

Purification

Affinity purified

Formulation

PBS (pH 7.2) and 40% Glycerol

Format

BSA Free

Preservative

0.02% Sodium Azide

Concentration

Concentrations vary lot to lot. See vial label for concentration. If unlisted please contact technical services.

Shipping

The product is shipped with polar packs. Upon receipt, store it immediately at the temperature recommended below.

Stability & Storage

Store at 4C short term. Aliquot and store at -20C long term. Avoid freeze-thaw cycles.

Background: beta Casein

Useful marker for the investigation of malignancy in breast epithelial cells.

Alternate Names

beta-casein, CASB, casein beta

Gene Symbol

CSN2

Additional beta Casein Products

Product Documents for beta Casein Antibody - BSA Free

Certificate of Analysis

To download a Certificate of Analysis, please enter a lot number in the search box below.

Product Specific Notices for beta Casein Antibody - BSA Free

This product is for research use only and is not approved for use in humans or in clinical diagnosis. Primary Antibodies are guaranteed for 1 year from date of receipt.

Loading...
Loading...
Loading...
Loading...