Skip to main content

beta Casein Antibody (29D6) - BSA Free

Novus Biologicals, part of Bio-Techne | Catalog # NBP3-26642

Recombinant monoclonal antibody expressed in HEK293F cells
Novus Biologicals, part of Bio-Techne
Catalog #
Availability
Size / Price
Qty
Loading...
NBP3-26642-100ul
NBP3-26642-50ul

Key Product Details

Species Reactivity

Human

Applications

ELISA, Flow Cytometry, Immunohistochemistry

Label

Unconjugated

Antibody Source

Recombinant Monoclonal Rabbit IgG Clone # 29D6 expressed in HEK293

Format

BSA Free

Concentration

Please see the vial label for concentration. If unlisted please contact technical services.

Product Specifications

Immunogen

A synthesized peptide derived from Human beta Casein [UniProt P05814]

Clonality

Monoclonal

Host

Rabbit

Isotype

IgG

Description

Novus Biologicals Rabbit beta Casein Antibody (29D6) - BSA Free (NBP3-26642) is a recombinant monoclonal antibody validated for use in IHC, ELISA and Flow. All Novus Biologicals antibodies are covered by our 100% guarantee.

Scientific Data Images for beta Casein Antibody (29D6) - BSA Free

beta Casein Antibody (29D6)

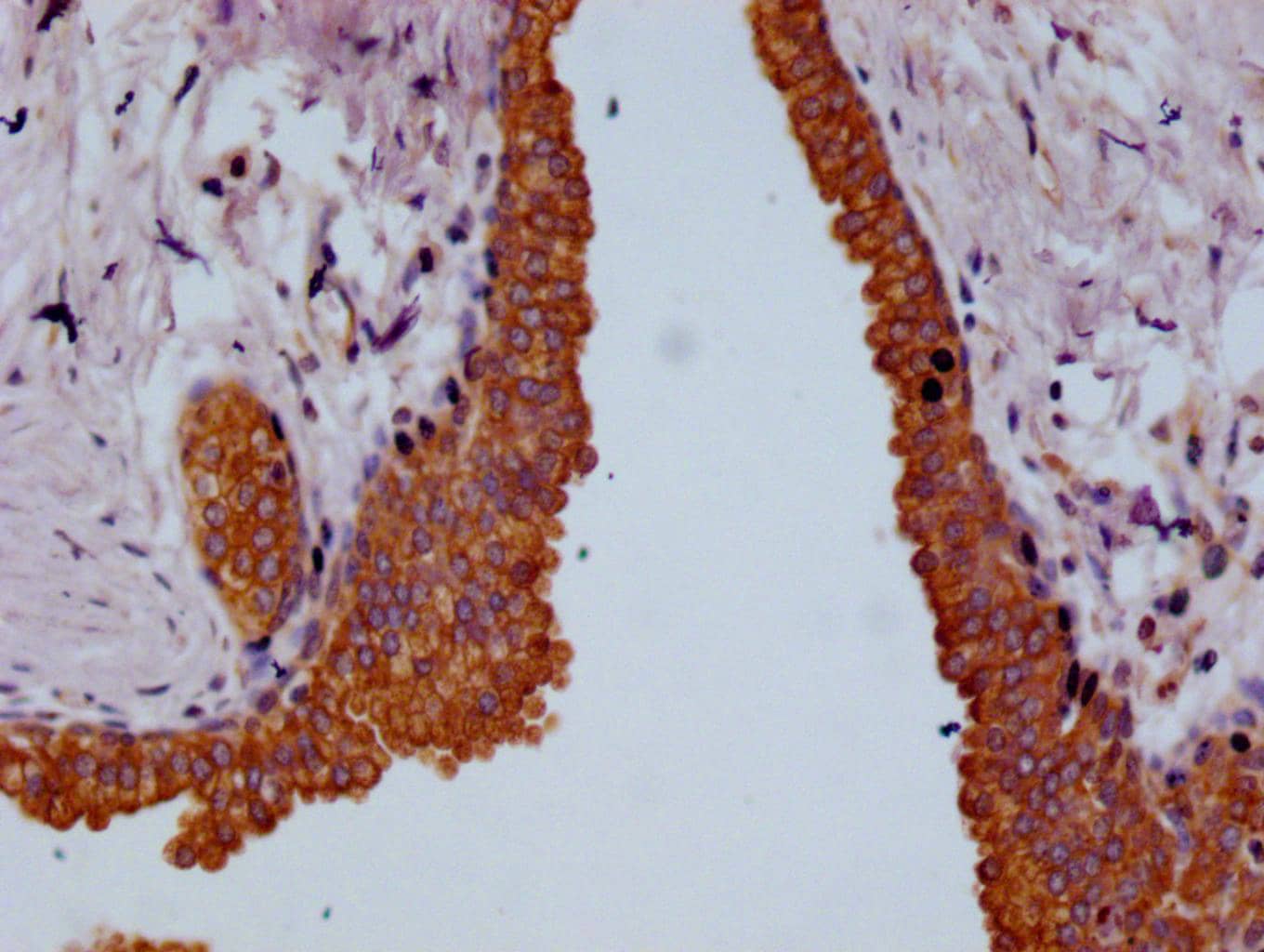
Immunohistochemistry: beta Casein Antibody (29D6) [NBP3-26642] -

Immunohistochemistry: beta Casein Antibody (29D6) [NBP3-26642] - Image of beta Casein Antibody (29D6) diluted at 1:100 and staining in paraffin-embedded human colon cancer performed. After dewaxing and hydration, antigen retrieval was mediated by high pressure in a citrate buffer (pH 6.0). Section was blocked with 10% normal goat serum 30min at RT. Then primary antibody (1% BSA) was incubated at 4°C overnight. The primary is detected by a Goat anti-rabbit polymer IgG labeled by HRP and visualized using 0.05% DAB.
beta Casein Antibody (29D6)

Immunohistochemistry: beta Casein Antibody (29D6) [NBP3-26642] -

Immunohistochemistry: beta Casein Antibody (29D6) [NBP3-26642] - Image of beta Casein Antibody (29D6) diluted at 1:100 and staining in paraffin-embedded human colon cancer performed. After dewaxing and hydration, antigen retrieval was mediated by high pressure in a citrate buffer (pH 6.0). Section was blocked with 10% normal goat serum 30min at RT. Then primary antibody (1% BSA) was incubated at 4°C overnight. The primary is detected by a Goat anti-rabbit polymer IgG labeled by HRP and visualized using 0.05% DAB.
beta Casein Antibody (29D6)

Flow Cytometry: beta Casein Antibody (29D6) [NBP3-26642] -

Flow Cytometry: beta Casein Antibody (29D6) [NBP3-26642] - Overlay Peak curve showing HepG2 cells stained with beta Casein Antibody (29D6) (red line) at 1:100. The cells were incubated in 10% normal goat serum to block non-specific protein-protein interactions followed by the antibody (1ug/1*10^6 cells) for 45min at 4C. The secondary antibody used was FITC-conjugated Goat Anti-rabbit IgG (H+L) at 1:200 dilution for 35min at 4C. Control antibody (green line) was rabbit IgG (1ug/1*10^6 cells) used under the same conditions. Acquisition of >10,000 events was performed.

Applications for beta Casein Antibody (29D6) - BSA Free

Application
Recommended Usage

Flow Cytometry

1:50-1:200

Immunohistochemistry

1:50-1:200

Formulation, Preparation, and Storage

Purification

Affinity purified

Formulation

PBS, pH 7.4, 150mM NaCl, and 50% glycerol

Format

BSA Free

Preservative

0.02% Sodium Azide

Concentration

Please see the vial label for concentration. If unlisted please contact technical services.

Shipping

The product is shipped with polar packs. Upon receipt, store it immediately at the temperature recommended below.

Stability & Storage

Store at -20 to -70C. Avoid freeze-thaw cycles.

Background: beta Casein

Useful marker for the investigation of malignancy in breast epithelial cells.

Alternate Names

beta-casein, CASB, casein beta

Gene Symbol

CSN2

Additional beta Casein Products

Product Documents for beta Casein Antibody (29D6) - BSA Free

Certificate of Analysis

To download a Certificate of Analysis, please enter a lot number in the search box below.

Product Specific Notices for beta Casein Antibody (29D6) - BSA Free

This product is for research use only and is not approved for use in humans or in clinical diagnosis. Primary Antibodies are guaranteed for 1 year from date of receipt.

Loading...
Loading...
Loading...
Loading...
Loading...