Skip to main content

Beclin 1 Antibody - BSA Free

Novus Biologicals, part of Bio-Techne | Catalog # NBP2-38139

Novus Biologicals, part of Bio-Techne
Catalog #
Availability
Size / Price
Qty
Loading...
NBP2-38139
NBP2-38139-25ul

Key Product Details

Validated by

Orthogonal Validation

Species Reactivity

Validated:

Human

Predicted:

Mouse (99%), Rat (98%). Backed by our 100% Guarantee.

Applications

Immunohistochemistry, Immunohistochemistry-Paraffin, Western Blot

Label

Unconjugated

Antibody Source

Polyclonal Rabbit IgG

Format

BSA Free

Concentration

Concentrations vary lot to lot. See vial label for concentration. If unlisted please contact technical services.

Product Specifications

Immunogen

This antibody was developed against a recombinant protein corresponding to amino acids: CSQPLKLDTSFKILDRVTIQELTAPLLTTAQAKPGETQEEETNSGEEPFIETPRQDGVSRRFIPPARMMSTESANSFTLIGEASDGGTMENLSRRLKVTGDLFDIMSGQTDVDHPLCEECTDTLLDQLDTQLNVT

Clonality

Polyclonal

Host

Rabbit

Isotype

IgG

Description

Novus Biologicals Rabbit Beclin 1 Antibody - BSA Free (NBP2-38139) is a polyclonal antibody validated for use in IHC and WB. All Novus Biologicals antibodies are covered by our 100% guarantee.

Scientific Data Images for Beclin 1 Antibody - BSA Free

Western Blot: Beclin 1 Antibody [NBP2-38139]

Western Blot: Beclin 1 Antibody [NBP2-38139]

Western Blot: Beclin 1 Antibody [NBP2-38139] - Lane 1: Marker [kDa] 230, 130, 95, 72, 56, 36, 28, 17, 11. Lane 2: Human cell line RT-4. Lane 3: Human cell line U-251MG. Lane 4: Human Plasma. Lane 5: Human liver tissue. Lane 6: Human tonsil tissue
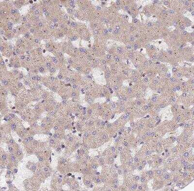
Immunohistochemistry-Paraffin: Beclin 1 Antibody [NBP2-38139]

Immunohistochemistry-Paraffin: Beclin 1 Antibody [NBP2-38139]

Immunohistochemistry-Paraffin: Beclin 1 Antibody [NBP2-38139] - Staining of human liver shows weak to moderate cytoplasmic positivity in hepatocytes.
Immunohistochemistry-Paraffin: Beclin 1 Antibody [NBP2-38139]

Immunohistochemistry-Paraffin: Beclin 1 Antibody [NBP2-38139]

Immunohistochemistry-Paraffin: Beclin 1 Antibody [NBP2-38139] - Staining of human colon shows moderate to strong cytoplasmic positivity in glandular cells.

Applications for Beclin 1 Antibody - BSA Free

Application
Recommended Usage

Immunohistochemistry

1:50 - 1:200

Immunohistochemistry-Paraffin

1:50 - 1:200

Western Blot

0.04-0.4 ug/ml
Application Notes
For IHC-Paraffin, HIER pH 6 retrieval is recommended.

Formulation, Preparation, and Storage

Purification

Immunogen affinity purified

Formulation

PBS (pH 7.2) and 40% Glycerol

Format

BSA Free

Preservative

0.02% Sodium Azide

Concentration

Concentrations vary lot to lot. See vial label for concentration. If unlisted please contact technical services.

Shipping

The product is shipped with polar packs. Upon receipt, store it immediately at the temperature recommended below.

Stability & Storage

Store at 4C short term. Aliquot and store at -20C long term. Avoid freeze-thaw cycles.

Background: Beclin 1

Beclin 1 was the first mammalian gene identified to mediate autophagy. Autophagy, a process of bulk protein degradation via an autophagosomic-lysosomal pathway, is critical for for proper differentiation, cell maintenence during nutrient deprivation, and normal growth control, but is often defective in tumor cells. Together with its binding partner, PI3K, Beclin-1 forms a clomplex that is required to initiate the formation of the autophagasome.

Beclin-1 encodes an evolutionarily conserved 60kDa coiled-coil protein that is expressed in human muscle, epithelial cells and neurons. In gene transfer studies, beclin 1 promotes nutrient deprivation-induced autophagy, inhibits mammary tumorigenesis, and inhibits viral replication.

Expression of the Beclin1 protein is frequently decreased in malignant breast epithelial cells. Based upon these observations, it is speculated that beclin-1 may work through induction of autophagy to negatively regulate tumorigenesis and to control viral infections. Beclin 1 may also play a role in other biological processes in which autophagy is important such as cell differentiation and nutritional stress responses.

Long Name

Beclin1, Autophagy-related

Alternate Names

ATG6, BECN1, GT197, VPS30

Gene Symbol

BECN1

UniProt

Additional Beclin 1 Products

Product Documents for Beclin 1 Antibody - BSA Free

Certificate of Analysis

To download a Certificate of Analysis, please enter a lot number in the search box below.

Product Specific Notices for Beclin 1 Antibody - BSA Free

This product is for research use only and is not approved for use in humans or in clinical diagnosis. Primary Antibodies are guaranteed for 1 year from date of receipt.

Loading...
Loading...
Loading...
Loading...