Skip to main content

BCOR Antibody (CL13841) - BSA Free

Novus Biologicals, part of Bio-Techne | Catalog # NBP3-24581

Novus Biologicals, part of Bio-Techne
Catalog #
Availability
Size / Price
Qty
Loading...
NBP3-24581-100ul
NBP3-24581-25ul

Key Product Details

Validated by

Orthogonal Validation

Species Reactivity

Validated:

Human

Predicted:

Mouse (100%), Rat (100%). Backed by our 100% Guarantee.

Applications

Immunocytochemistry/ Immunofluorescence, Immunohistochemistry, Immunohistochemistry-Paraffin

Label

Unconjugated

Antibody Source

Monoclonal Mouse IgG2B Clone # CL13841

Format

BSA Free

Concentration

Concentrations vary lot to lot. See vial label for concentration. If unlisted please contact technical services.

Product Specifications

Immunogen

This antibody was developed using a synthetic peptide derived from Q6W2J9, with the exact immunogen sequence remaining proprietary.

Clonality

Monoclonal

Host

Mouse

Isotype

IgG2B

Description

Novus Biologicals Mouse BCOR Antibody (CL13841) - BSA Free (NBP3-24581) is a monoclonal antibody validated for use in IHC and ICC/IF. All Novus Biologicals antibodies are covered by our 100% guarantee.

Scientific Data Images for BCOR Antibody (CL13841) - BSA Free

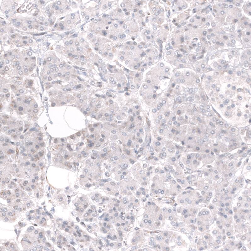
Immunohistochemistry-Paraffin: BCOR Antibody (CL13841) [NBP3-24581]

Analysis in human lymph node and pancreas tissues using NBP3-24581 antibody. Corresponding BCOR RNA-seq data are presented for the same tissues.

Immunohistochemistry-Paraffin: BCOR Antibody (CL13841) [NBP3-24581]

Staining of human placenta shows moderate to strong nuclear positivity in trophoblastic cells.

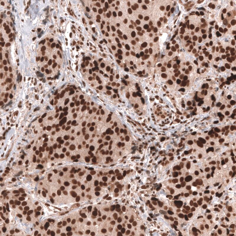
Immunohistochemistry-Paraffin: BCOR Antibody (CL13841) [NBP3-24581]

Staining of human ovarian cancer (papillary carcinoma) shows strong nuclear positivity in tumor cells.

Applications for BCOR Antibody (CL13841) - BSA Free

Application
Recommended Usage

Immunocytochemistry/ Immunofluorescence

2-10 ug/ml

Immunohistochemistry

1:500 - 1:1000

Immunohistochemistry-Paraffin

1:500 - 1:1000
Application Notes
For IHC-Paraffin, we recommend using Heat-Induced Epitope Retrieval (HIER) with a pH level of 6. This optimized retrieval method ensures the best results for your experiments, For ICC/IF, we recommend using a combination of PFA and Triton X-100. This will give you the optimal results for your experiments.

Formulation, Preparation, and Storage

Purification

Protein A purified

Formulation

PBS, pH 7.2, 40% glycerol

Format

BSA Free

Preservative

0.02% Sodium Azide

Concentration

Concentrations vary lot to lot. See vial label for concentration. If unlisted please contact technical services.

Shipping

The product is shipped with polar packs. Upon receipt, store it immediately at the temperature recommended below.

Stability & Storage

Store at 4C short term. Aliquot and store at -20C long term. Avoid freeze-thaw cycles.

Background: BCOR

BCOR is encoded by this gene was identified as an interacting corepressor of BCL6, a POZ/zinc finger transcription repressor that is required for germinal center formation and may influence apoptosis. This protein selectively interacts with the POZ domain of BCL6, but not with eight other POZ proteins. Specific class I and II histone deacetylases (HDACs) have been shown to interact with this protein, which suggests a possible link between the two classes of HDACs. Several transcript variants encoding different isoforms have been found for this gene. [provided by RefSeq]

Alternate Names

ANOP2, BCL6 corepressor, BCL-6 corepressor, BCL6 co-repressor, BCL-6 interacting corepressor, BCoR, FLJ20285, FLJ38041, KIAA1575MGC71031, MAA2, MCOPS2, MGC131961

Gene Symbol

BCOR

Additional BCOR Products

Product Documents for BCOR Antibody (CL13841) - BSA Free

Certificate of Analysis

To download a Certificate of Analysis, please enter a lot number in the search box below.

Product Specific Notices for BCOR Antibody (CL13841) - BSA Free

This product is for research use only and is not approved for use in humans or in clinical diagnosis. Primary Antibodies are guaranteed for 1 year from date of receipt.

Loading...
Loading...
Loading...
Loading...