Skip to main content

Bcl3 Antibody - BSA Free

Novus Biologicals, part of Bio-Techne | Catalog # NBP3-47870

Novus Biologicals, part of Bio-Techne
Catalog #
Availability
Size / Price
Qty
Loading...
NBP3-47870

Key Product Details

Species Reactivity

Human

Applications

ELISA, Immunocytochemistry/ Immunofluorescence, Immunohistochemistry, Western Blot

Label

Unconjugated

Antibody Source

Polyclonal Rabbit IgG

Format

BSA Free

Concentration

Please see the vial label for concentration. If unlisted please contact technical services.

Product Specifications

Immunogen

B-cell CLL/lymphoma 3. (Uniprot# P20749)

Clonality

Polyclonal

Host

Rabbit

Isotype

IgG

Description

Novus Biologicals Rabbit Bcl3 Antibody - BSA Free (NBP3-47870) is a polyclonal antibody validated for use in IHC, WB, ELISA and ICC/IF. All Novus Biologicals antibodies are covered by our 100% guarantee.

Scientific Data Images for Bcl3 Antibody - BSA Free

Bcl3 Antibody - BSA Free

Western Blot: Bcl3 Antibody - BSA Free [NBP3-47870] -

Western Blot: Bcl3 Antibody - BSA Free [NBP3-47870] - HEK-293 cells were subjected to SDS PAGE followed by western blot with (Bcl3 Antibody) at dilution of 1:600
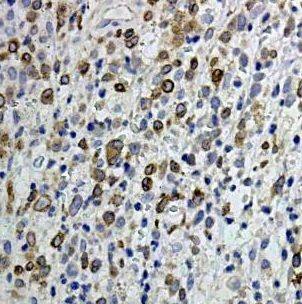
Bcl3 Antibody - BSA Free

Immunohistochemistry: Bcl3 Antibody - BSA Free [NBP3-47870] -

Immunohistochemistry: Bcl3 Antibody - BSA Free [NBP3-47870] - Immunohistochemistry of paraffin-embedded human lymphoma tissue slide using (Bcl3 Antibody) at dilution of 1:50

Applications for Bcl3 Antibody - BSA Free

Application
Recommended Usage

Immunocytochemistry/ Immunofluorescence

1:20-1:200

Immunohistochemistry

1:20-1:200

Western Blot

1:500-1:2000
Application Notes
Theoretical Molecular Weight is 48-60 kDa

Formulation, Preparation, and Storage

Purification

Immunogen affinity purified

Formulation

PBS, 50% Glycerol, pH (7.3)

Format

BSA Free

Preservative

0.02% Sodium Azide

Concentration

Please see the vial label for concentration. If unlisted please contact technical services.

Shipping

The product is shipped with polar packs. Upon receipt, store it immediately at the temperature recommended below.

Stability & Storage

Store at -20C. Avoid freeze-thaw cycles.

Background: Bcl3

The transcriptional coactivator, B-cell lymphoma 3-encoded protein (Bcl3) is a member of the inhibitor of nuclear factor kappaB (NF-kappaB) family. Also a known regulator of NF-kappaB, Bcl-3 plays a critical role in the development of normal immune responses. Specifically, Bcl 3 regulates transcriptional activation of NF-kappa-B target genes, by inhibiting the nuclear translocation of the NF-kappa-B p50 subunit in the cytoplasm and acting as transcriptional activator that promotes transcription of NF-kappa-B target genes in the nucleus.

Bcl-3 also contributes to the regulation of cell proliferation, and influences the survival of T cells when they are activated as a result of an immune response. It also contributes to chronic inflammatory disease states such as osteoarthritis and rheumatoid arthritis, and defects in Bcl3 may lead to B-cell chronic lymphocytic leukemia. Therefore, Bcl3 antibodies can be useful tools for studying autoimmune disease and cancer development.

Alternate Names

B-cell CLL/lymphoma 3, B-cell leukemia/lymphoma 3, B-cell lymphoma 3 protein, B-cell lymphoma 3-encoded protein, BCL-3, BCL4, chronic lymphatic leukemia protein, D19S37, Proto-oncogene BCL3

Gene Symbol

BCL3

Additional Bcl3 Products

Product Documents for Bcl3 Antibody - BSA Free

Certificate of Analysis

To download a Certificate of Analysis, please enter a lot number in the search box below.

Product Specific Notices for Bcl3 Antibody - BSA Free

This product is for research use only and is not approved for use in humans or in clinical diagnosis. Primary Antibodies are guaranteed for 1 year from date of receipt.

Loading...
Loading...
Loading...
Loading...