Bcl-2 Antibody - BSA Free
Novus Biologicals, part of Bio-Techne | Catalog # NB100-56098
Key Product Details
Validated by
Knockout/Knockdown, Biological Validation
Species Reactivity
Validated:
Human, Mouse, Rat, Canine
Cited:
Human, Mouse, Rat, Canine
Predicted:
Bovine (93%), Feline (100%), Porcine (100%). Backed by our 100% Guarantee.
Applications
Validated:
Immunohistochemistry, Immunohistochemistry-Paraffin, Western Blot, Immunoprecipitation
Cited:
Immunohistochemistry, Immunohistochemistry-Paraffin, Western Blot, IF/IHC
Label
Unconjugated
Antibody Source
Polyclonal Rabbit IgG
Format
BSA Free
Concentration
This product is unpurified. The exact concentration of antibody is not quantifiable.
Product Specifications
Immunogen
A synthetic peptide corresponding to amino acids 41-54 (GAAPAPGIFSSQPG) of human Bcl-2 was used as immunogen; GenBank no. NP_000648.2. This sequence is 100% conserved in human Bcl-2 alpha (239 aa) and beta (205 aa) isoforms.
Reactivity Notes
Use in Rat reported in scientific literature (PMID:34575863). Mouse, Canine, Rat reactivity reported in scientific literature (PMID: 15380478).
Clonality
Polyclonal
Host
Rabbit
Isotype
IgG
Description
Novus Biologicals Rabbit Bcl-2 Antibody - BSA Free (NB100-56098) is a polyclonal antibody validated for use in IHC, WB and IP. Anti-Bcl-2 Antibody: Cited in 27 publications. All Novus Biologicals antibodies are covered by our 100% guarantee.
Scientific Data Images for Bcl-2 Antibody - BSA Free
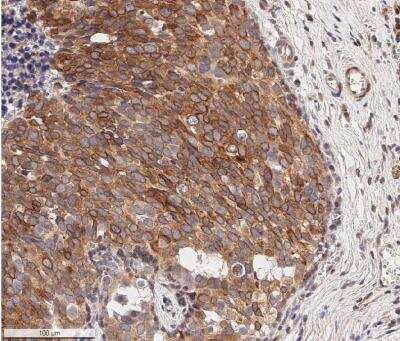
Immunohistochemistry-Paraffin: Bcl-2 Antibody [NB100-56098]
Immunohistochemistry-Paraffin: Bcl-2 Antibody [NB100-56098] - Analysis of a FFPE human breast carcinoma tissue section using 1:1000 dilution of Bcl-2 antibody (NB100-56098) on a Bond Rx autostainer (Leica Biosystems). The assay involved 20 minutes of heat induced antigen retrieval (HIER) with 10mM sodium citrate buffer (pH 6.0) and endogenous peroxidase quenching using peroxide block. The sections were incubated with primary antibody for 30 minutes. Bond Polymer Refine Detection (Leica Biosystems) and DAB were used for signal detection which followed counterstaining with hematoxylin. Whole slide scanning and capturing of representative images (20X) were performed using Aperio AT2 (Leica Biosystems). This antibody generated a diffused cytoplasmic staining of BCL2 in the cancer cells with relatively intense signal in their nuclear membranes. Staining was performed by Histowiz.Applications for Bcl-2 Antibody - BSA Free
Application
Recommended Usage
Immunohistochemistry-Paraffin
1:1000-1:5000
Immunoprecipitation
1:50-1:200
Western Blot
1:1000-1:2000
Reviewed Applications
Read 3 reviews rated 5 using NB100-56098 in the following applications:
Formulation, Preparation, and Storage
Purification
Unpurified
Formulation
Whole antisera
Format
BSA Free
Preservative
0.05% Sodium Azide
Concentration
This product is unpurified. The exact concentration of antibody is not quantifiable.
Shipping
The product is shipped with polar packs. Upon receipt, store it immediately at the temperature recommended below.
Stability & Storage
Store at -20C. Avoid freeze-thaw cycles.
Background: Bcl-2
Long Name
B Cell Lymphoma/Leukemia 2
Alternate Names
Bcl2
Entrez Gene IDs
596 (Human)
Gene Symbol
BCL2
Additional Bcl-2 Products
Product Documents for Bcl-2 Antibody - BSA Free
Product Specific Notices for Bcl-2 Antibody - BSA Free
This product is for research use only and is not approved for use in humans or in clinical diagnosis. Primary Antibodies are guaranteed for 1 year from date of receipt.
Loading...
Loading...
Loading...
Loading...