Skip to main content

BCAS2 Antibody - BSA Free

Novus Biologicals, part of Bio-Techne | Catalog # NBP3-38090

Novus Biologicals, part of Bio-Techne
Catalog #
Availability
Size / Price
Qty
Loading...
NBP3-38090-20ul
NBP3-38090-100ul

Key Product Details

Species Reactivity

Human, Mouse, Rat

Applications

ELISA, Immunocytochemistry/ Immunofluorescence, Immunohistochemistry, Immunohistochemistry-Paraffin, Western Blot

Label

Unconjugated

Antibody Source

Polyclonal Rabbit IgG

Format

BSA Free

Concentration

Please see the vial label for concentration. If unlisted please contact technical services.

Product Specifications

Immunogen

Recombinant fusion protein containing a sequence corresponding to amino acids 1-225 of human BCAS2 (NP_005863.1).

Sequence:
MAGTGLVAGEVVVDALPYFDQGYEAPGVREAAAALVEEETRRYRPTKNYLSYLTAPDYSAFETDIMRNEFERLAARQPIELLSMKRYELPAPSSGQKNDITAWQECVNNSMAQLEHQAVRIENLELMSQHGCNAWKVYNENLVHMIEHAQKELQKLRKHIQDLNWQRKNMQLTAGSKLREMESNWVSLVSKNYEIERTIVQLENEIYQIKQQHGEANKENIRQDF

Clonality

Polyclonal

Host

Rabbit

Isotype

IgG

Theoretical MW

26 kDa.
Disclaimer note: The observed molecular weight of the protein may vary from the listed predicted molecular weight due to post translational modifications, post translation cleavages, relative charges, and other experimental factors.

Description

Novus Biologicals Rabbit BCAS2 Antibody - BSA Free (NBP3-38090) is a polyclonal antibody validated for use in IHC, WB, ELISA and ICC/IF. All Novus Biologicals antibodies are covered by our 100% guarantee.

Scientific Data Images for BCAS2 Antibody - BSA Free

BCAS2 Antibody

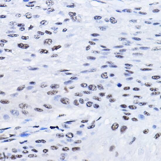
Immunohistochemistry: BCAS2 Antibody [NBP3-38090] -

Immunohistochemistry: BCAS2 Antibody [NBP3-38090] - Immunohistochemistry analysis of paraffin-embedded Rat kidney using BCAS2 Rabbit pAb at dilution of 1:100 (40x lens). High pressure antigen retrieval performed with 0.01M Citrate Bufferr (pH 6.0) prior to IHC staining.
BCAS2 Antibody

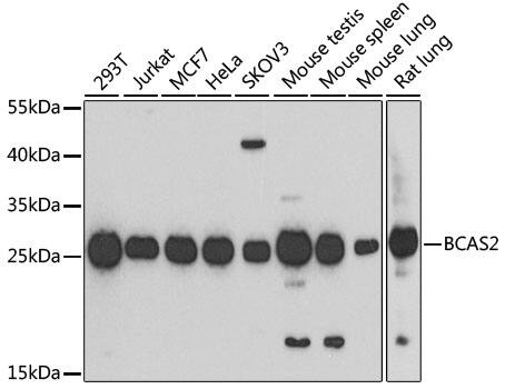
Western Blot: BCAS2 Antibody [NBP3-38090] -

Western Blot: BCAS2 Antibody [NBP3-38090] - Western blot analysis of various lysates using BCAS2 Rabbit pAb at 1:1000 dilution.
Secondary antibody: HRP-conjugated Goat anti-Rabbit IgG (H+L) at 1:10000 dilution.
Lysates/proteins: 25ug per lane.
Blocking buffer: 3% nonfat dry milk in TBST.
Detection: ECL Basic Kit.
Exposure time: 90s.
BCAS2 Antibody

Immunohistochemistry: BCAS2 Antibody [NBP3-38090] -

Immunohistochemistry: BCAS2 Antibody [NBP3-38090] - Immunohistochemistry analysis of paraffin-embedded Mouse brain using BCAS2 Rabbit pAb at dilution of 1:100 (40x lens). High pressure antigen retrieval performed with 0.01M Citrate Bufferr (pH 6.0) prior to IHC staining.

Applications for BCAS2 Antibody - BSA Free

Application
Recommended Usage

Immunocytochemistry/ Immunofluorescence

1:50 - 1:200

Immunohistochemistry-Paraffin

1:50 - 1:200

Western Blot

1:500 - 1:2000

Formulation, Preparation, and Storage

Purification

Affinity purified

Formulation

PBS (pH 7.3), 50% glycerol

Format

BSA Free

Preservative

0.02% Sodium Azide

Concentration

Please see the vial label for concentration. If unlisted please contact technical services.

Shipping

The product is shipped with polar packs. Upon receipt, store it immediately at the temperature recommended below.

Stability & Storage

Store at -20C. Avoid freeze-thaw cycles.

Background: BCAS2

BCAS2 is a Ubiquitously expressed nuclear protein associated with the splicesome. The deduced 225-amino acid protein contains a central potential N-glycosylation site and multiple N-terminal potential phosphorylation sites. Northern and Southern blot analyses demonstrates expression of a 1.5-kb transcript at various levels in multiple breast cancer cell lines, with greatest amplification in BT-20 and MCF-7 cells.

Alternate Names

breast carcinoma amplified sequence 2, Breast carcinoma-amplified sequence 2, DAM1DNA amplified in mammary carcinoma 1 protein, pre-mRNA-splicing factor SPF27, Snt309, SPF27, spliceosome associated protein, amplified in breast cancer, Spliceosome-associated protein SPF 27

Gene Symbol

BCAS2

Additional BCAS2 Products

Product Documents for BCAS2 Antibody - BSA Free

Certificate of Analysis

To download a Certificate of Analysis, please enter a lot number in the search box below.

Product Specific Notices for BCAS2 Antibody - BSA Free

This product is for research use only and is not approved for use in humans or in clinical diagnosis. Primary Antibodies are guaranteed for 1 year from date of receipt.

Loading...
Loading...
Loading...
Loading...