Skip to main content

BCAP31 Antibody

Novus Biologicals, part of Bio-Techne | Catalog # NB100-1016

Novus Biologicals, part of Bio-Techne
Catalog #
Availability
Size / Price
Qty
Loading...
NB100-1016

Key Product Details

Species Reactivity

Validated:

Human

Predicted:

Bovine (100%), Canine (100%), Porcine (100%). Backed by our 100% Guarantee.

Applications

Immunohistochemistry, Immunohistochemistry-Paraffin, Western Blot, Peptide ELISA

Label

Unconjugated

Antibody Source

Polyclonal Goat IgG

Concentration

0.5 mg/ml

Product Specifications

Immunogen

Peptide with sequence C-QAAVDGPMDKKEE corresponding to C-Terminus according to NP_001132929.1, NP_005736.3.

Reactivity Notes

Predicted cross-reactivity based on sequence identity: Canine, Porcine, Bovine.

Localization

Endoplasmic reticulum and Golgi Apparatus

Specificity

This antibody is expected to recognise isoform a (NP_001132929.1) and isoform b (NP_005736.3; NP_001132913.1).

Clonality

Polyclonal

Host

Goat

Isotype

IgG

Scientific Data Images for BCAP31 Antibody

Western Blot: BCAP31 Antibody [NB100-1016]

Western Blot: BCAP31 Antibody [NB100-1016]

Western Blot: BCAP31 Antibody [NB100-1016] - Staining of Human Breast lysate (35 ug protein in RIPA buffer). Antibody at 0.1 ug/mL. Primary incubation was 1 hour. Detected by chemiluminescence.
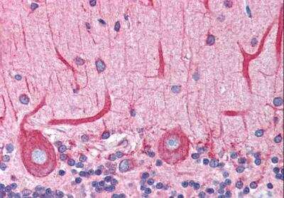
Immunohistochemistry-Paraffin: BCAP31 Antibody [NB100-1016]

Immunohistochemistry-Paraffin: BCAP31 Antibody [NB100-1016]

Immunohistochemistry-Paraffin: BCAP31 Antibody [NB100-1016] - Staining of paraffin embedded Human Cortex. Antibody at 3.75 ug/mL. Steamed antigen retrieval with citrate buffer pH 6, AP-staining.
Immunohistochemistry-Paraffin: BCAP31 Antibody [NB100-1016]

Immunohistochemistry-Paraffin: BCAP31 Antibody [NB100-1016]

Immunohistochemistry-Paraffin: BCAP31 Antibody [NB100-1016] - Staining of paraffin embedded Human Cerebellum. Antibody at 3.75 ug/mL. Steamed antigen retrieval with citrate buffer pH 6, AP-staining.

Applications for BCAP31 Antibody

Application
Recommended Usage

Immunohistochemistry

3.75 ug/mL

Immunohistochemistry-Paraffin

3.75 ug/mL

Peptide ELISA

Detection limit 1:32000

Western Blot

1 - 3 ug/mL

Formulation, Preparation, and Storage

Purification

Immunogen affinity purified

Formulation

Tris saline (20 mM Tris pH 7.3, 150 mM NaCl), 0.5% BSA

Preservative

0.02% Sodium Azide

Concentration

0.5 mg/ml

Shipping

The product is shipped with polar packs. Upon receipt, store it immediately at the temperature recommended below.

Stability & Storage

Store at -20C. Avoid freeze-thaw cycles.

Background: BAP31

BCAP31 may play a role in anterograde transport of membrane proteins from the endoplasmic reticulum to the Golgi. May be involved in CASP8-mediated apoptosis.

Long Name

B-cell Receptor-associated Protein 31

Alternate Names

6C6-Ag, BCAP31

Entrez Gene IDs

10134 (Human)

Gene Symbol

BCAP31

Additional BAP31 Products

Product Documents for BCAP31 Antibody

Certificate of Analysis

To download a Certificate of Analysis, please enter a lot number in the search box below.

Product Specific Notices for BCAP31 Antibody

This product is for research use only and is not approved for use in humans or in clinical diagnosis. Primary Antibodies are guaranteed for 1 year from date of receipt.

Loading...
Loading...
Loading...
Loading...