Skip to main content

Bax inhibitor 1 Antibody (20F565)

Novus Biologicals, part of Bio-Techne | Catalog # NBP2-24912

Novus Biologicals, part of Bio-Techne
Catalog #
Availability
Size / Price
Qty
Loading...
NBP2-24912SS
NBP2-24912

Key Product Details

Species Reactivity

Human, Mouse, Rat

Applications

Validated:

Immunohistochemistry, Immunohistochemistry-Paraffin, Western Blot

Cited:

Western Blot

Label

Unconjugated

Antibody Source

Monoclonal Mouse IgG2b Kappa Clone # 20F565

Concentration

0.5 mg/ml

Product Specifications

Immunogen

A synthetic peptide made to the N-terminal portion of the human Bax inhibitor 1 protein (between amino acids 1-40) UniProt P55061.

Clonality

Monoclonal

Host

Mouse

Isotype

IgG2b Kappa

Description

Novus Biologicals Mouse Bax inhibitor 1 Antibody (20F565) (NBP2-24912) is a monoclonal antibody validated for use in IHC and WB. Anti-Bax inhibitor 1 Antibody: Cited in 1 publication. All Novus Biologicals antibodies are covered by our 100% guarantee.

Scientific Data Images for Bax inhibitor 1 Antibody (20F565)

Western Blot: Bax inhibitor 1 Antibody (20F565) [NBP2-24912]

Western Blot: Bax inhibitor 1 Antibody (20F565) [NBP2-24912]

Western Blot: Bax inhibitor 1 Antibody (20F565) [NBP2-24912] - analysis of Bi-1 with this antibody. Lane 1: in vitro translated human Bi-1 protein. Lanes 2 and 3: IP/WB of Bi-1 protein enriched in the transgenic mouse brain (Lane 2) or wildtype brain (Lane 3). IP was done with a polyclonal Bi-1 antibody, followed by WB with this antibody.
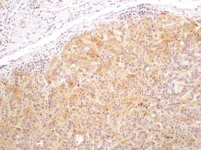
Immunohistochemistry-Paraffin: Bax inhibitor 1 Antibody (20F565) [NBP2-24912]

Immunohistochemistry-Paraffin: Bax inhibitor 1 Antibody (20F565) [NBP2-24912]

Immunohistochemistry-Paraffin: Bax inhibitor 1 Antibody (20F565) [NBP2-24912] - IHC analysis of formalin-fixed paraffin-embedded tissue section of human liver cancer using 5 ug/ml concentration of Bax inhibitor 1 antibody (clone 20F565). Cytoplasmic immuno-positivity of Bax inhibitor 1 (TMBIM6) was observed in the hepatis cancer cells whereas the cells of tumor stroma did not develop any staining [10X Magnification]
Immunohistochemistry-Paraffin: Bax inhibitor 1 Antibody (20F565) [NBP2-24912]

Immunohistochemistry-Paraffin: Bax inhibitor 1 Antibody (20F565) [NBP2-24912]

Immunohistochemistry-Paraffin: Bax inhibitor 1 Antibody (20F565) [NBP2-24912] - analysis of Bi-1 using Bi-1 antibody at 5 ug/ml: A) overview of stained human and mouse TMA, B-C) immunoreactivity in human archicortex (positive neurons of hippocampal gyrus) at 200X and 400X, D-E) strong immunoreactivity in neurons of human dorsal root ganglion.

Applications for Bax inhibitor 1 Antibody (20F565)

Application
Recommended Usage

Immunohistochemistry-Paraffin

0.5-5 ug/ml

Western Blot

1-5 ug/ml

Formulation, Preparation, and Storage

Purification

Protein G purified

Formulation

PBS and 0.05% BSA

Preservative

0.05% Sodium Azide

Concentration

0.5 mg/ml

Shipping

The product is shipped with polar packs. Upon receipt, store it immediately at the temperature recommended below.

Stability & Storage

Store at -20C. Avoid freeze-thaw cycles.

Background: Bax inhibitor 1

Alternate Names

BAXI1, BI1, BI-1Transmembrane BAX inhibitor motif-containing protein 6, TEGTbax inhibitor 1, testis enhanced gene transcript, Testis-enhanced gene transcript protein, transmembrane BAX inhibitor motif containing 6

Gene Symbol

TMBIM6

UniProt

Additional Bax inhibitor 1 Products

Product Documents for Bax inhibitor 1 Antibody (20F565)

Certificate of Analysis

To download a Certificate of Analysis, please enter a lot number in the search box below.

Product Specific Notices for Bax inhibitor 1 Antibody (20F565)

This product is for research use only and is not approved for use in humans or in clinical diagnosis. Primary Antibodies are guaranteed for 1 year from date of receipt.

Loading...
Loading...
Loading...
Loading...