Skip to main content

B4GALT7 Antibody - BSA Free

Novus Biologicals, part of Bio-Techne | Catalog # NBP1-88652

Novus Biologicals, part of Bio-Techne
Catalog #
Availability
Size / Price
Qty
Loading...
NBP1-88652
NBP1-88652-25ul

Key Product Details

Species Reactivity

Validated:

Human, Chinese Hamster

Cited:

Hamster - Cricetulus (Chinese Hamster)

Predicted:

Mouse (97%), Rat (98%). Backed by our 100% Guarantee.

Applications

Validated:

Immunohistochemistry, Immunohistochemistry-Paraffin, Western Blot

Cited:

Western Blot

Label

Unconjugated

Antibody Source

Polyclonal Rabbit IgG

Format

BSA Free

Concentration

Concentrations vary lot to lot. See vial label for concentration. If unlisted please contact technical services.

Product Specifications

Immunogen

This antibody was developed against Recombinant Protein corresponding to amino acids: PEHWEEDASWGPHRLAVLVPFRERFEELLVFVPHMRRFLSRKKIRHHIYVLNQVDHFRFNRAALINVGFLESSNSTDYIAMHDVDLLPLNEELDYGFPEAGPFHVASPELHPLYHYKTYVG

Reactivity Notes

Chinese Hamster reactivity reported in scientific literature (PMID: 31278392).

Clonality

Polyclonal

Host

Rabbit

Isotype

IgG

Description

Novus Biologicals Rabbit B4GALT7 Antibody - BSA Free (NBP1-88652) is a polyclonal antibody validated for use in IHC and WB. Anti-B4GALT7 Antibody: Cited in 2 publications. All Novus Biologicals antibodies are covered by our 100% guarantee.

Scientific Data Images for B4GALT7 Antibody - BSA Free

Western Blot: B4GALT7 Antibody [NBP1-88652]

Western Blot: B4GALT7 Antibody [NBP1-88652]

Western Blot: B4GALT7 Antibody [NBP1-88652] - Analysis in human cell line HDLM-2.
B4GALT7 Antibody

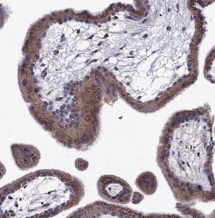
Immunohistochemistry-Paraffin: B4GALT7 Antibody [NBP1-88652] -

Immunohistochemistry-Paraffin: B4GALT7 Antibody [NBP1-88652] - Staining of human placenta shows moderate granular cytoplasmic positivity in trophoblastic cells.
B4GALT7 Antibody

Immunohistochemistry-Paraffin: B4GALT7 Antibody [NBP1-88652] -

Immunohistochemistry-Paraffin: B4GALT7 Antibody [NBP1-88652] - Staining of human heart muscle shows moderate granular cytoplasmic positivity in cardiomyocytes.

Applications for B4GALT7 Antibody - BSA Free

Application
Recommended Usage

Immunohistochemistry

1:50 -1:200

Immunohistochemistry-Paraffin

1:50 - 1:200

Western Blot

0.04-0.4 ug/ml
Application Notes
For IHC-Paraffin, HIER pH 6 retrieval is recommended.

Formulation, Preparation, and Storage

Purification

Immunogen affinity purified

Formulation

PBS (pH 7.2) and 40% Glycerol

Format

BSA Free

Preservative

0.02% Sodium Azide

Concentration

Concentrations vary lot to lot. See vial label for concentration. If unlisted please contact technical services.

Shipping

The product is shipped with polar packs. Upon receipt, store it immediately at the temperature recommended below.

Stability & Storage

Store at 4C short term. Aliquot and store at -20C long term. Avoid freeze-thaw cycles.

Background: B4GALT7

B4GALT7 - xylosylprotein beta 1,4-galactosyltransferase, polypeptide 7 (galactosyltransferase I)

Long Name

UDP-Gal:Beta-GlcNAc Beta-1,4-Galactosyltransferase 7

Alternate Names

b4Gal-T7, beta-1,4-galactosyltransferase 7, Beta-1,4-GalTase 7, beta4Gal-T7, beta4GalT-VII, EC 2.4.1.-, EDSP1, EDSSLA, EDSSPD1, proteoglycan UDP-galactose:beta-xylose beta1,4-galactosyltransferase I, UDP-Gal:beta-GlcNAc beta-1,4-galactosyltransferase 7, UDP-galactose:beta-N-acetylglucosamine beta-1,4-galactosyltransferase 7, XGALT1, XGALT-1, XGALT1beta-1,4-galactosyltransferase VII, XGPT, XGPT1, xylosylprotein beta 1,4-galactosyltransferase, polypeptide 7(galactosyltransferase I)

Gene Symbol

B4GALT7

Additional B4GALT7 Products

Product Documents for B4GALT7 Antibody - BSA Free

Certificate of Analysis

To download a Certificate of Analysis, please enter a lot number in the search box below.

Product Specific Notices for B4GALT7 Antibody - BSA Free

This product is for research use only and is not approved for use in humans or in clinical diagnosis. Primary Antibodies are guaranteed for 1 year from date of receipt.

Loading...
Loading...
Loading...
Loading...