ATP Citrate Lyase Antibody - BSA Free
Novus Biologicals, part of Bio-Techne | Catalog # NBP2-15510
Key Product Details
Species Reactivity
Human, Mouse, Rat
Applications
Immunohistochemistry, Immunohistochemistry-Paraffin, Western Blot, Immunocytochemistry/ Immunofluorescence
Label
Unconjugated
Antibody Source
Polyclonal Rabbit IgG
Format
BSA Free
Concentration
Concentrations vary lot to lot. See vial label for concentration. If unlisted please contact technical services.
Product Specifications
Immunogen
Recombinant protein encompassing a sequence within the N-terminus region of human ATP Citrate Lyase. The exact sequence is proprietary.
Localization
Cytoplasm;
Clonality
Polyclonal
Host
Rabbit
Isotype
IgG
Theoretical MW
121 kDa.
Disclaimer note: The observed molecular weight of the protein may vary from the listed predicted molecular weight due to post translational modifications, post translation cleavages, relative charges, and other experimental factors.
Disclaimer note: The observed molecular weight of the protein may vary from the listed predicted molecular weight due to post translational modifications, post translation cleavages, relative charges, and other experimental factors.
Description
Novus Biologicals Rabbit ATP Citrate Lyase Antibody - BSA Free (NBP2-15510) is a polyclonal antibody validated for use in IHC, WB and ICC/IF. All Novus Biologicals antibodies are covered by our 100% guarantee.
Scientific Data Images for ATP Citrate Lyase Antibody - BSA Free
Western Blot: ATP Citrate Lyase Antibody [NBP2-15510]
Western Blot: ATP Citrate Lyase Antibody [NBP2-15510] - Various tissue extracts (50 ug) were separated by 5% SDS-PAGE, and the membrane was blotted with ATP Citrate Lyase Antibody diluted at 1:5000. HRP-conjugated anti-rabbit IgG antibody was used to detect the primary antibody.Immunocytochemistry/ Immunofluorescence: ATP Citrate Lyase Antibody [NBP2-15510]
Immunocytochemistry/Immunofluorescence: ATP Citrate Lyase Antibody [NBP2-15510] - ATP Citrate Lyase Antibody detects ATP Citrate Lyase protein at cytoplasm by immunofluorescent analysis. Sample: HeLa cells were fixed in ice-cold MeOH for 5 min. Green: ATP Citrate Lyase protein stained by ATP Citrate Lyase Antibody diluted at 1:500. Blue: Hoechst 33342 staining.Immunohistochemistry-Paraffin: ATP Citrate Lyase Antibody [NBP2-15510]
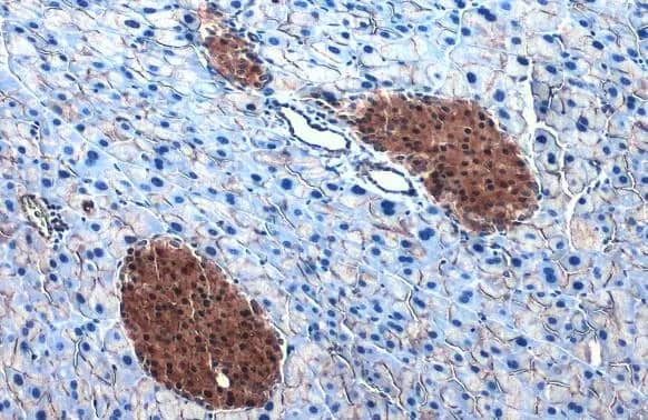
Immunohistochemistry-Paraffin: ATP Citrate Lyase Antibody [NBP2-15510] - Immunohistochemical analysis of paraffin-embedded Hepatoma, using antibody at 1:500 dilution.Applications for ATP Citrate Lyase Antibody - BSA Free
Application
Recommended Usage
Immunocytochemistry/ Immunofluorescence
1:100-1:1000
Immunohistochemistry
10 - 1:500
Immunohistochemistry-Paraffin
1:100-1:1000
Western Blot
1:1000-1:10000
Formulation, Preparation, and Storage
Purification
Antigen Affinity-purified
Formulation
PBS, 20% Glycerol
Format
BSA Free
Preservative
0.025% Proclin 300
Concentration
Concentrations vary lot to lot. See vial label for concentration. If unlisted please contact technical services.
Shipping
The product is shipped with polar packs. Upon receipt, store it immediately at the temperature recommended below.
Stability & Storage
Aliquot and store at -20C or -80C. Avoid freeze-thaw cycles.
Background: ATP Citrate Lyase
Long Name
ATP-citrate synthase
Alternate Names
ACLY, EC 2.3.3.8
Gene Symbol
ACLY
UniProt
Additional ATP Citrate Lyase Products
Product Documents for ATP Citrate Lyase Antibody - BSA Free
Product Specific Notices for ATP Citrate Lyase Antibody - BSA Free
This product is for research use only and is not approved for use in humans or in clinical diagnosis. Primary Antibodies are guaranteed for 1 year from date of receipt.
Loading...
Loading...
Loading...
Loading...
⚠ WARNING: This product can expose you to chemicals including mercury, which is known to the State of California to cause reproductive toxicity with developmental effects. For more information go to www.P65Warnings.ca.gov.