ATG101 Antibody - BSA Free
Novus Biologicals, part of Bio-Techne | Catalog # NBP1-88877
Key Product Details
Species Reactivity
Validated:
Human
Cited:
Human
Predicted:
Mouse (97%), Rat (96%). Backed by our 100% Guarantee.
Applications
Validated:
Immunohistochemistry, Immunohistochemistry-Paraffin, Western Blot
Cited:
Western Blot
Label
Unconjugated
Antibody Source
Polyclonal Rabbit IgG
Format
BSA Free
Concentration
Concentrations vary lot to lot. See vial label for concentration. If unlisted please contact technical services.
Product Specifications
Immunogen
This antibody was developed against Recombinant Protein corresponding to amino acids: VGEKLCEKIINIVEVMNRHEYLPKMPTQSEVDNVFDTGLRDVQPYLYKISFQITDALGTSVTTTMRRLIKDTLAL
Clonality
Polyclonal
Host
Rabbit
Isotype
IgG
Description
Novus Biologicals Rabbit ATG101 Antibody - BSA Free (NBP1-88877) is a polyclonal antibody validated for use in IHC and WB. Anti-ATG101 Antibody: Cited in 1 publication. All Novus Biologicals antibodies are covered by our 100% guarantee.
Scientific Data Images for ATG101 Antibody - BSA Free
Western Blot: ATG101 Antibody [NBP1-88877]
Western Blot: ATG101 Antibody [NBP1-88877] - Lane 1: Marker [kDa] 250, 130, 95, 72, 55, 36, 28, 17, 10. Lane 2: Human cell line RT-4. Lane 3: Human cell line U-251MG spImmunohistochemistry-Paraffin: ATG101 Antibody [NBP1-88877]
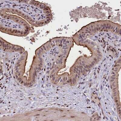
Immunohistochemistry-Paraffin: ATG101 Antibody [NBP1-88877] - Staining of human gallbladder shows cytoplasmic and luminal positivity in glandular cells.Applications for ATG101 Antibody - BSA Free
Application
Recommended Usage
Immunohistochemistry
1:50 - 1:200
Immunohistochemistry-Paraffin
1:50 - 1:200
Western Blot
0.04-0.4 ug/ml
Application Notes
For IHC-Paraffin, HIER pH 6 retrieval is recommended.
Formulation, Preparation, and Storage
Purification
Immunogen affinity purified
Formulation
PBS (pH 7.2) and 40% Glycerol
Format
BSA Free
Preservative
0.02% Sodium Azide
Concentration
Concentrations vary lot to lot. See vial label for concentration. If unlisted please contact technical services.
Shipping
The product is shipped with polar packs. Upon receipt, store it immediately at the temperature recommended below.
Stability & Storage
Store at 4C short term. Aliquot and store at -20C long term. Avoid freeze-thaw cycles.
Background: ATG101
Alternate Names
ATG101, Atg13-interacting protein, autophagy-related protein 101, C12orf44, chromosome 12 open reading frame 44, FLJ11773
Gene Symbol
ATG101
Additional ATG101 Products
Product Documents for ATG101 Antibody - BSA Free
Product Specific Notices for ATG101 Antibody - BSA Free
This product is for research use only and is not approved for use in humans or in clinical diagnosis. Primary Antibodies are guaranteed for 1 year from date of receipt.
Loading...
Loading...
Loading...
Loading...