Skip to main content

ATF4 Antibody (SD20-92)

Novus Biologicals, part of Bio-Techne | Catalog # NBP2-67766

Recombinant Monoclonal Antibody.
Novus Biologicals, part of Bio-Techne
Catalog #
Availability
Size / Price
Qty
Loading...
NBP2-67766

Key Product Details

Validated by

Biological Validation

Species Reactivity

Validated:

Human, Mouse, Rat

Cited:

Mouse

Applications

Validated:

Immunohistochemistry, Immunohistochemistry-Paraffin, Western Blot, Flow Cytometry, Immunocytochemistry/ Immunofluorescence, Immunoprecipitation

Cited:

Immunohistochemistry-Frozen, IF/IHC

Label

Unconjugated

Antibody Source

Recombinant Monoclonal Rabbit IgG Clone # SD20-92 expressed in HEK293

Concentration

1 mg/ml

Product Specifications

Immunogen

Recombinant protein within Human ATF4 aa 1-220 / 351. (SwissProt: P18848 Human; SwissProt: Q06507 Mouse; SwissProt: Q9ES19 Rat)

Localization

Nucleus, Nucleus speckle, Cell membrane, Cytoplasm, Centrosome.

Clonality

Monoclonal

Host

Rabbit

Isotype

IgG

Description

Novus Biologicals Rabbit ATF4 Antibody (SD20-92) (NBP2-67766) is a recombinant monoclonal antibody validated for use in IHC, WB, Flow, ICC/IF and IP. Anti-ATF4 Antibody: Cited in 2 publications. All Novus Biologicals antibodies are covered by our 100% guarantee.

Scientific Data Images for ATF4 Antibody (SD20-92)

Western Blot: ATF4 Antibody (SD20-92) [NBP2-67766]

Western Blot: ATF4 Antibody (SD20-92) [NBP2-67766]

Western Blot: ATF4 Antibody (SD20-92) [NBP2-67766] - Analysis of ATF4 on different lysates. Proteins were transferred to a PVDF membrane and blocked with 5% BSA in PBS for 1 hour at room temperature. The primary antibody (1:500) was used in 5% BSA at room temperature for 2 hours. Goat Anti-Rabbit IgG - HRP Secondary Antibody at 1:5,000 dilution was used for 1 hour at room temperature. Positive control: Lane 1: HeLa cell lysateLane 2: PC-12 cell lysate Lane 3: HL-60 cell lysate Lane 4: K562 cell lysateLane 5: human lung carcinoma tissue lysate.
Immunocytochemistry/ Immunofluorescence: ATF4 Antibody (SD20-92) [NBP2-67766]

Immunocytochemistry/ Immunofluorescence: ATF4 Antibody (SD20-92) [NBP2-67766]

Immunocytochemistry/Immunofluorescence: ATF4 Antibody (SD20-92) [NBP2-67766] - Staining ATF4 in N2A cells (green). The nuclear counter stain is DAPI (blue). Cells were fixed in paraformaldehyde, permeabilised with 0.25% Triton X-100/PBS.
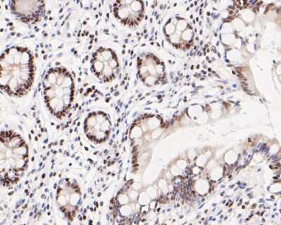
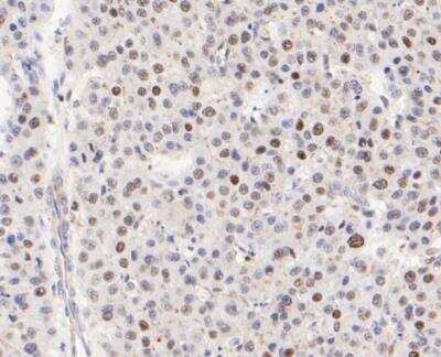
Immunohistochemistry-Paraffin: ATF4 Antibody (SD20-92) [NBP2-67766]

Immunohistochemistry-Paraffin: ATF4 Antibody (SD20-92) [NBP2-67766]

Immunohistochemistry-Paraffin: ATF4 Antibody (SD20-92) [NBP2-67766] - Analysis of paraffin-embedded mouse colon tissue using anti-ATF4 antibody. The section was pre-treated using heat mediated antigen retrieval with sodium citrate buffer (pH 6.0) for 20 minutes. The tissues were blocked in 5% BSA for 30 minutes at room temperature, washed with ddH2O and PBS, and then probed with the primary antibody (1/50) for 30 minutes at room temperature. The detection was performed using an HRP conjugated compact polymer system. DAB was used as the chromogen. Tissues were counterstained with hematoxylin and mounted with DPX.

Applications for ATF4 Antibody (SD20-92)

Application
Recommended Usage

Flow Cytometry

1:50-1:100

Immunocytochemistry/ Immunofluorescence

1:50-1:200

Immunohistochemistry-Paraffin

1:50-1:200

Western Blot

1:500-1:2000

Reviewed Applications

Read 1 review rated 1 using NBP2-67766 in the following applications:

Formulation, Preparation, and Storage

Purification

Protein A purified

Formulation

TBS (pH7.4), 0.05% BSA, 40% Glycerol

Preservative

0.05% Sodium Azide

Concentration

1 mg/ml

Shipping

The product is shipped with polar packs. Upon receipt, store it immediately at the temperature recommended below.

Stability & Storage

Store at 4C short term. Aliquot and store at -20C long term. Avoid freeze-thaw cycles.

Background: ATF4

ATF4 encodes a transcription factor that was originally identified as a widely expressed mammalian DNA binding protein that could bind a tax-responsive enhancer element in the LTR of HTLV-1. The encoded protein was also isolated and characterized as the cAMP-response element binding protein 2 (CREB-2). The protein encoded by this gene belongs to a family of DNA-binding proteins that includes the AP-1 family of transcription factors, cAMP-response element binding proteins (CREBs) and CREB-like proteins. These transcription factors share a leucine zipper region that is involved in protein-protein interactions, located C-terminal to a stretch of basic amino acids that functions as a DNA binding domain. Two alternative transcripts encoding the same protein have been described. Two pseudogenes are located on the X chromsome at q28 in a region containing a large inverted duplication.

Long Name

Activating Transcription Factor 4

Alternate Names

TAXREB67, TXREB

Gene Symbol

ATF4

Additional ATF4 Products

Product Documents for ATF4 Antibody (SD20-92)

Certificate of Analysis

To download a Certificate of Analysis, please enter a lot number in the search box below.

Product Specific Notices for ATF4 Antibody (SD20-92)

This product is for research use only and is not approved for use in humans or in clinical diagnosis. Primary Antibodies are guaranteed for 1 year from date of receipt.

Loading...
Loading...
Loading...
Loading...
Loading...