Skip to main content

ATE1 Antibody - BSA Free

Novus Biologicals, part of Bio-Techne | Catalog # NBP2-15495

Novus Biologicals, part of Bio-Techne
Catalog #
Availability
Size / Price
Qty
Loading...
NBP2-15495

Key Product Details

Species Reactivity

Human

Applications

Immunohistochemistry, Immunohistochemistry-Paraffin, Western Blot

Label

Unconjugated

Antibody Source

Polyclonal Rabbit IgG

Format

BSA Free

Concentration

Concentrations vary lot to lot. See vial label for concentration. If unlisted please contact technical services.

Product Specifications

Immunogen

Recombinant protein encompassing a sequence within the center region of human ATE1. The exact sequence is proprietary.

Localization

Isoform ATE1-1: Nucleus; Cytoplasm; Isoform ATE1-2: Cytoplasm

Clonality

Polyclonal

Host

Rabbit

Isotype

IgG

Theoretical MW

59 kDa.
Disclaimer note: The observed molecular weight of the protein may vary from the listed predicted molecular weight due to post translational modifications, post translation cleavages, relative charges, and other experimental factors.

Description

Novus Biologicals Rabbit ATE1 Antibody - BSA Free (NBP2-15495) is a polyclonal antibody validated for use in IHC and WB. All Novus Biologicals antibodies are covered by our 100% guarantee.

Scientific Data Images for ATE1 Antibody - BSA Free

Western Blot: ATE1 Antibody [NBP2-15495]

Western Blot: ATE1 Antibody [NBP2-15495]

Western Blot: ATE1 Antibody [NBP2-15495] - Sample (30 ug of whole cell lysate) A: Jurkat 7. 5% SDS PAGE gel, diluted at 1:3000.
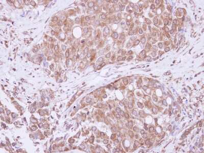
Immunohistochemistry-Paraffin: ATE1 Antibody [NBP2-15495]

Immunohistochemistry-Paraffin: ATE1 Antibody [NBP2-15495]

Immunohistochemistry-Paraffin: ATE1 Antibody [NBP2-15495] - Immunohistochemical analysis of paraffin-embedded Breast ca, using antibody at 1:250 dilution.

Applications for ATE1 Antibody - BSA Free

Application
Recommended Usage

Immunohistochemistry

1:100-1:1000

Immunohistochemistry-Paraffin

1:100-1:1000

Western Blot

1:500-1:3000

Formulation, Preparation, and Storage

Purification

Antigen Affinity-purified

Formulation

0.1M Tris, 0.1M Glycine, 20% Glycerol

Format

BSA Free

Preservative

0.01% Thimerosal

Concentration

Concentrations vary lot to lot. See vial label for concentration. If unlisted please contact technical services.

Shipping

The product is shipped with polar packs. Upon receipt, store it immediately at the temperature recommended below.

Stability & Storage

Aliquot and store at -20C or -80C. Avoid freeze-thaw cycles.

Background: ATE1

This gene encodes an arginyltransferase, an enzyme that is involved in posttranslational conjugation of arginine to N-terminal aspartate or glutamate residues. Conjugation of arginine to the N-terminal aspartate or glutamate targets proteins for ubiquitin-dependent degradation. Alternative splicing results in two transcript variants encoding distinct isoforms. [provided by RefSeq]

Alternate Names

Arginine-tRNA--protein transferase 1, arginyltransferase 1MGC26724, arginyl-tRNA-protein transferase, arginyl-tRNA--protein transferase 1, EC 2.3.2.8, R-transferase 1

Gene Symbol

ATE1

UniProt

Additional ATE1 Products

Product Documents for ATE1 Antibody - BSA Free

Certificate of Analysis

To download a Certificate of Analysis, please enter a lot number in the search box below.

Product Specific Notices for ATE1 Antibody - BSA Free

This product is for research use only and is not approved for use in humans or in clinical diagnosis. Primary Antibodies are guaranteed for 1 year from date of receipt.

Loading...
Loading...
Loading...
Loading...

⚠ WARNING: This product can expose you to chemicals including mercury, which is known to the State of California to cause reproductive toxicity with developmental effects.  For more information go to www.P65Warnings.ca.gov.