Skip to main content

ASPDH Antibody - BSA Free

Novus Biologicals, part of Bio-Techne | Catalog # NBP1-85832

Novus Biologicals, part of Bio-Techne
Catalog #
Availability
Size / Price
Qty
Loading...
NBP1-85832
NBP1-85832-25ul

Key Product Details

Species Reactivity

Validated:

Human

Predicted:

Mouse (93%). Backed by our 100% Guarantee.

Applications

Immunohistochemistry, Immunohistochemistry-Paraffin, Western Blot

Label

Unconjugated

Antibody Source

Polyclonal Rabbit IgG

Format

BSA Free

Concentration

Concentrations vary lot to lot. See vial label for concentration. If unlisted please contact technical services.

Product Specifications

Immunogen

This antibody was developed against Recombinant Protein corresponding to amino acids: GVVGYGRLGQSLVSRLLAQGPELGLELVFVWNRDPGRMAGSVPPSLQLQNLAALGERRPDLVVEVAHPKIIHESGAQILRHANLLVGSPSALSDQ

Reactivity Notes

Immunogen displays the following percentage of sequence identity for non-tested species: Rat (89%)

Clonality

Polyclonal

Host

Rabbit

Isotype

IgG

Description

Novus Biologicals Rabbit ASPDH Antibody - BSA Free (NBP1-85832) is a polyclonal antibody validated for use in IHC and WB. All Novus Biologicals antibodies are covered by our 100% guarantee.

Scientific Data Images for ASPDH Antibody - BSA Free

Immunohistochemistry-Paraffin: ASPDH Antibody [NBP1-85832]

Immunohistochemistry-Paraffin: ASPDH Antibody [NBP1-85832]

Immunohistochemistry-Paraffin: ASPDH Antibody [NBP1-85832] - Staining of human prostate shows strong cytoplasmic and nuclear positivity in glandular cells.
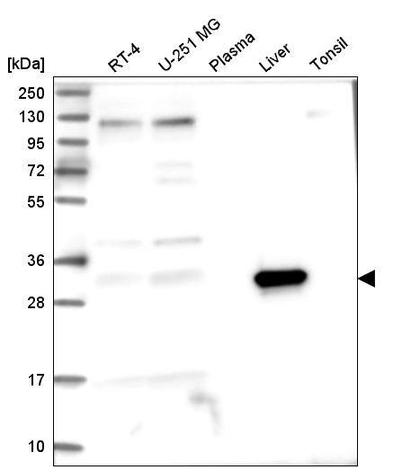
ASPDH Antibody - BSA Free Western Blot: ASPDH Antibody - BSA Free [NBP1-85832]

Western Blot: ASPDH Antibody - BSA Free [NBP1-85832]

Analysis in human cell line RT-4, human cell line U-251 MG, human plasma, human liver tissue and human tonsil tissue.

Applications for ASPDH Antibody - BSA Free

Application
Recommended Usage

Immunohistochemistry

1:200 - 1:500

Immunohistochemistry-Paraffin

1:200 - 1:500

Western Blot

0.04-0.4 ug/ml
Application Notes
For IHC-Paraffin, HIER pH 6 retrieval is recommended.

Formulation, Preparation, and Storage

Purification

Immunogen affinity purified

Formulation

PBS (pH 7.2) and 40% Glycerol

Format

BSA Free

Preservative

0.02% Sodium Azide

Concentration

Concentrations vary lot to lot. See vial label for concentration. If unlisted please contact technical services.

Shipping

The product is shipped with polar packs. Upon receipt, store it immediately at the temperature recommended below.

Stability & Storage

Store at 4C short term. Aliquot and store at -20C long term. Avoid freeze-thaw cycles.

Background: ASPDH

Specifically catalyzes the NAD or NADP-dependent dehydrogenation of L-aspartate to iminoaspartate (Bysimilarity)

Alternate Names

aspartate dehydrogenase domain containing, Aspartate dehydrogenase domain-containing protein, EC 1.4.1.21, putative L-aspartate dehydrogenase

Gene Symbol

ASPDH

Additional ASPDH Products

Product Documents for ASPDH Antibody - BSA Free

Certificate of Analysis

To download a Certificate of Analysis, please enter a lot number in the search box below.

Product Specific Notices for ASPDH Antibody - BSA Free

This product is for research use only and is not approved for use in humans or in clinical diagnosis. Primary Antibodies are guaranteed for 1 year from date of receipt.

Loading...
Loading...
Loading...
Loading...