Skip to main content

ASC/TMS1 Antibody - BSA Free

Novus Biologicals, part of Bio-Techne | Catalog # NBP1-77297

Novus Biologicals, part of Bio-Techne
Catalog #
Availability
Size / Price
Qty
Loading...
NBP1-77297
NBP1-77297-0.025mg
Conjugate
Catalog #

Key Product Details

Validated by

Independent Antibodies

Species Reactivity

Human

Applications

Immunohistochemistry, Immunohistochemistry-Paraffin, Western Blot, ELISA, Immunocytochemistry/ Immunofluorescence

Label

Unconjugated

Antibody Source

Polyclonal Rabbit IgG

Format

BSA Free

Concentration

1 mg/ml

Product Specifications

Immunogen

This ASC/TMS1 Antibody was developed against a 14 amino acid peptide near the carboxy terminus of human ASC/TMS1 . The immunogen is located within the last 50 amino acids of ASC. Amino Acid Sequence: RESQSYLVEDLERS

Specificity

This ASC/TMS1 Antibody can detect all human isoforms - isoform 1 (195aa, 22kDa), isoform 2 (176aa, 20kDa), and isoform 3 (135aa, 15kDa),

Clonality

Polyclonal

Host

Rabbit

Isotype

IgG

Theoretical MW

22 kDa.
Disclaimer note: The observed molecular weight of the protein may vary from the listed predicted molecular weight due to post translational modifications, post translation cleavages, relative charges, and other experimental factors.

Scientific Data Images for ASC/TMS1 Antibody - BSA Free

ASC/TMS1 Antibody - BSA Free

Western Blot: ASC/TMS1 Antibody - BSA Free [NBP1-77297] -

Western Blot: ASC/TMS1 Antibody - BSA Free [NBP1-77297] - Western Blot Validation in Human THP-1 Cells. Loading: 15 ug of lysate per lane.Antibodies: ASC/TMS1 , (2 u/mL), 1h incubation at RT in 5% NFDM/TBST.Secondary: Goat anti-rabbit IgG HRP conjugate at 1:10000 dilution.
Western Blot: ASC/TMS1 AntibodyBSA Free [NBP1-77297]

Western Blot: ASC/TMS1 AntibodyBSA Free [NBP1-77297]

Western Blot: ASC/TMS1 Antibody [NBP1-77297] - Independent Antibody Validation (IAV) via Protein Expression Profile in Cell LinesLoading: 15 ug of lysates per lane.Antibodies: ASC/TMS1 (NBP1-77297), (2 ug/mL), ASC, (2 ug/mL), beta-actin (1 ug/mL) and GAPDH (0.02 ug/mL), 1h incubation at RT in 5% NFDM/TBST.Secondary: Goat anti-rabbit or goat anti-mouse IgG HRP conjugate.
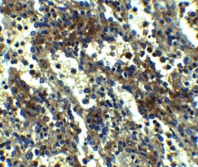
Immunohistochemistry: ASC/TMS1 Antibody - BSA Free [NBP1-77297]

Immunohistochemistry: ASC/TMS1 Antibody - BSA Free [NBP1-77297]

Immunohistochemistry: ASC/TMS1 Antibody [NBP1-77297] - Staining of human spleen tissue with antibody at 2.5 ug/ml.

Applications for ASC/TMS1 Antibody - BSA Free

Application
Recommended Usage

ELISA

1:100-1:2000

Immunocytochemistry/ Immunofluorescence

5 ug/mL

Immunohistochemistry-Paraffin

2.5 ug/mL

Western Blot

1-2 ug/mL

Formulation, Preparation, and Storage

Purification

Peptide affinity purified

Formulation

PBS

Format

BSA Free

Preservative

0.02% Sodium Azide

Concentration

1 mg/ml

Shipping

The product is shipped with polar packs. Upon receipt, store it immediately at the temperature recommended below.

Stability & Storage

Store at 4C short term. Aliquot and store at -20C long term. Avoid freeze-thaw cycles.

Background: ASC

ASC (apoptosis-associated speck-like protein containing a CARD), also known as TMS1 (target of methylation-induced silencing), was first identified in 1999 as a protein that forms aggregates, or specks, during retinoic acid-induced apoptosis in a human leukemia cell line (1). Furthermore, it was discovered to have a role as a tumor suppressor as methylation silences ASC/TMS1 expression in many tumors (2-5). ASC/TMS1 is synthesized as a 195-amino acid (aa) protein with a theoretical weight of 22 kDa. Structurally the protein contains a N-terminal PYD (pyrin domain) and C-terminal CARD (caspase-recruitment domain) (1-4). Historically, CARD and PYD-containing proteins are known to have crucial functions in regulating apoptosis and immune response pathways (2-5). Furthermore, mutations in many CARD and PYD-containing proteins have been linked to various cancers and inflammatory diseases (2-5). Given its immune response role, it is not surprising that ASC/TMS1 is typically highly expressed in immune cells, specifically in neutrophils and cells of the macrophage/monocyte lineage (5). Additionally, it is expressed in many normal epithelial cell types (4,5).

In regard to immune and inflammatory response, ASC/TMS1 is involved in inflammasome function (3-4). The inflammasome is a multiprotein complex that responds to cellular stress or pathogens and activates inflammatory responses. Specifically, ASC/TMS1 helps assemble the NLRP3 inflammasome complex which then activates caspase-1, followed by stimulation of proinflammatory cytokines including IL-1b and IL-18 (3-4). In terms of the role in regulating apoptosis, multiple studies have revealed that the ASC/TMS1 gene is hypermethylated in many cancers including breast, lung, glioblastomas, and melanomas (2-5). The increased methylation results in decreased gene expression, or silencing, allowing those cancer cells to escape apoptosis (2-5).

References

1. Masumoto, J., Taniguchi, S., Ayukawa, K., Sarvotham, H., Kishino, T., Niikawa, N., Hidaka, E., Katsuyama, T., Higuchi, T., & Sagara, J. (1999). ASC, a novel 22-kDa protein, aggregates during apoptosis of human promyelocytic leukemia HL-60 cells. The Journal of biological chemistry, 274(48), 33835-33838. https://doi.org/10.1074/jbc.274.48.33835

2. McConnell, B. B., & Vertino, P. M. (2004). TMS1/ASC: the cancer connection. Apoptosis: an international journal on programmed cell death. https://doi.org/10.1023/B:APPT.0000012117.32430.0c

3. Salminen, A., Kauppinen, A., Hiltunen, M., & Kaarniranta, K. (2014). Epigenetic regulation of ASC/TMS1 expression: potential role in apoptosis and inflammasome function. Cellular and molecular life sciences : CMLS. https://doi.org/10.1007/s00018-013-1524-9

4. Protti, M. P., & De Monte, L. (2020). Dual Role of Inflammasome Adaptor ASC in Cancer. Frontiers in cell and developmental biology. https://doi.org/10.3389/fcell.2020.00040

5. Parsons, M. J., & Vertino, P. M. (2006). Dual role of TMS1/ASC in death receptor signaling. Oncogene. https://doi.org/10.1038/sj.onc.1209684

Long Name

Apoptosis-Associated Speck-Like Protein Containing A CARD

Alternate Names

CARD5, PYCARD, TMS1

Gene Symbol

PYCARD

Additional ASC Products

Product Documents for ASC/TMS1 Antibody - BSA Free

Certificate of Analysis

To download a Certificate of Analysis, please enter a lot number in the search box below.

Product Specific Notices for ASC/TMS1 Antibody - BSA Free

This product is for research use only and is not approved for use in humans or in clinical diagnosis. Primary Antibodies are guaranteed for 1 year from date of receipt.

Loading...
Loading...
Loading...
Loading...